胎儿胸腔积液
一、胎儿也会出现积液?怎么回事啊?
胎儿胸腔积液(Fetalhydrothorax,FHT)是指胸膜腔(为脏层与壁层胸膜间的潜在腔隙)内液体积聚过多。
原因:胎儿胸腔积液发病机制与成人不同,对胎儿的损害程度也视病因、发生积液时所处孕周的早晚、积液容积及进展速度等而不同。虽然详细的超声检查及染色体核型分析可明确继发性胎儿胸腔积液的部分原因,但大部分病因仍不清楚,甚至连尸检都无法明确。
——简单的说,胎儿也会出现胸腔积液,但什么原因造成的,确实比较复杂!
二、胎儿胸腔积液怎么区分啊?
胎儿胸腔积液可发生在胸腔单侧或双侧,分为乳糜性的原发性胸腔积液及全身液体潴留所致的继发性胸腔积液(常与免疫性或非免疫性水肿相关),而胎儿胸腔积液继发性因素远比新生儿比例高。
1.原发性胸腔积液 原发性胎儿胸腔积液在活产儿中的发病率大概在1/10000。最常见原因为先天性乳糜胸,发生率l/10 000~1/15 000;多为单侧,双侧少见。是由于淋巴管形成障碍或其完整性受损而引起,但其确切原因尚不完全清楚。解剖上的原因仅在少数胎儿中得到证实:主要有胸导管发育异常如闭锁、瘘管、缺如等;其他如先天性淋巴管扩张或发育不良,先天性淋巴管瘘等。
2. 继发性胸腔积液 继发性胎儿胸腔积液在活产儿中的发病率大概在1/1500。多为免疫性或一些非免疫性疾病所导致的胎儿水肿的症状之一。
(1)免疫性的疾病主要为Rh、ABO母儿血型不和、地中海贫血等。母亲血清中的抗体与胎儿红细胞发生抗原抗体免疫反应,导致胎儿溶血、贫血,心功能衰竭,进而出现胎儿水肿综合征,表现出胎儿胸腔积液。
(2)非免疫性疾病发生的病因较多,包括:①先天性肺囊性腺样畸形、肺隔离症等可引起胎儿期胸腔积液,但临床上此类胸腔积液并不严重;②合并其他畸形的胎儿染色体异常:包括21-三体综合征、Turner’s综合征、Noonan综合征、Down综合征、10-三体、18-三体及13-三体等。③甲状腺因素:胎儿先天性甲状腺功能低下时,由于甲状腺素缺乏,对淋巴系统肾上腺素能受体的刺激减少,淋巴液回流缓慢并淤积、渗漏在胸腔及组织间质间隙,形成胸腔积液。④心脏畸形:胎儿有先天性心脏病或心律失常致心功能衰竭、体循环淤血甚至胎儿全身性水肿时,可表现出胸腔积液;⑤胎儿宫内感染:风疹病毒、巨细胞病毒、单纯疱疹病毒、人细小病毒B19、弓形体、衣原体宫内感染可造成胎儿胸腔积液。其中人细小病毒B19可特异地与红系造血细胞结合,抑制胎儿红细胞生成,造成胎儿严重贫血、出现胸腔积液、腹水等症状;⑥其他如血液疾病、胃肠道疾病、代谢疾病、双胎输血综合征、胎盘及脐带的异常等也可成为非免疫性胎儿胸腔积液的原因。⑦胎儿心功能异常,如室上性心动过速、完全性传导阻滞等。
三、在妈妈肚子里,怎么来诊断这个胎儿胸腔积液呀?
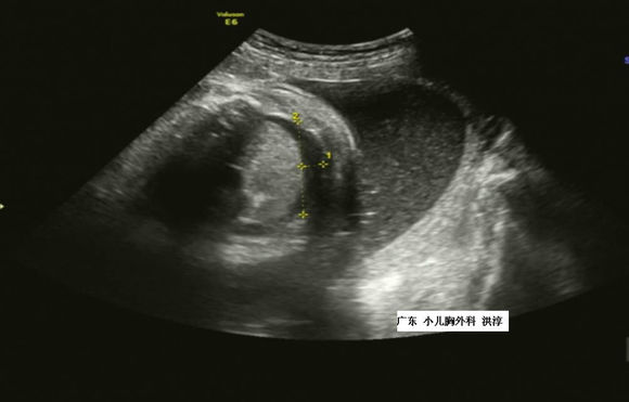
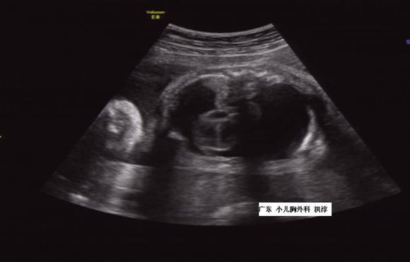
1.产前超声:产前诊断FHT主要依靠超声检查,超声表现为胎儿胸腔内心肺之间片状无回声区。单侧大量胸腔积液可有占位效应,出现心脏及纵膈移位,肺脏常被压缩变小。继发于胎儿水肿的胸腔积液,多为双侧性,双侧胸腔积液时表现为“蝙蝠翅膀”声像图。


2.产前MR:MR可清楚显示肺的容积、肺发育不良的程度及胸腔积液时肺与胸腔的比率,有利于临床医生对胎儿的预后作出判断评估。对FHT在MR检查的T1相,显示为低信号,而在T2相显示为高信号,可根据所在部位与周围邻近的器官相关性作出诊断和分析。

四、除了这个胸腔积液,胎儿还可能有什么问题吗?
合并症
1. 胸腔先天性结构异常。20-25%胎儿胸腔积液合并有其他结构畸形,继发性胸腔积液的比例可高达40%。比如先天性膈疝并发胎儿胸腔积液概率为20%,所以需要同其进行鉴别。其他胸腔的疾病如肺囊腺瘤、肺隔离症等在出现压迫症状时可出现胎儿水肿,表现为FHT或腹水等,但比例较小。
2. 先天性心脏病。产前诊断胎儿胸腔积液中,约有5%的患有先天性心脏病。需要鉴别。但胎儿胸腔积液由于积液造成纵隔移位、心脏受压,使得胎儿的心脏超声检查显得比较困难,所以,需要谨慎对待。
3. 羊水过多。胎儿胸腔积液中约60%会合并羊水过多。同胸腔积液时纵隔移位影响胎儿吞咽有关,也同胎儿肺受压导致羊水分泌异常有关。
4. 染色体异常。6-17%的胎儿胸腔积液合并有21-三体综合征、Turner综合征等染色体异常,需要进行胎儿染色体的核型分析。
五、这个胎儿有这个积液,有风险吗?
风险肯定是有的呀,其中包括
1. 持续性胎儿胸腔积液会使正在发育的肺受到压迫,肺内液体减少,使肺泡细胞数量及小支气管减少,严重者可导致肺发育不良。
2. 大量胸腔积液可使纵膈移位,压迫下腔静脉和心脏,引起胎儿心功能衰竭。诸多问题都需要有效的产前进行干预。胸腔积液合并羊水过多可能是由于大量胸腔积液压迫食道,影响胎儿吞咽羊水。因此对胎儿大量胸腔积液应进行干预措施,通过非侵入性或侵入性治疗来缓解胎儿症状、促进胎肺发育。
3. 合并症带来的各种相关风险。
六、听着好像挺可怕的,那在妈妈肚子时,我们可以怎么帮助小孩呢?
其实,发现胎儿胸腔积液,更重要的是及时找出其原因去对症处理。
针对单纯有胸腔积液,因为有自然消退的可能,常规都进行一段时间的视察随访。针对积液量少、没有张力性胸腔积液征象的单侧胸腔积液,只需要视察随访。
而针对未满24周早期胸腔积液的胎儿,以及有危及生命的并发症的,染色体异常等风险较大时可能选择终止妊娠。
针对胎龄大于32周的胎儿胸腔积液,出生后在建立静脉通路,保证体循环血容量的情况下给予胸腔穿刺并密切视察可能是最好的选择。
若诊断明确的胎儿先天性乳糜胸,母亲配方饮食,口服含低脂和无长链甘油三酯食物,阻止乳糜的产生与回流,可限制胎儿胸腔积液继续发展。出生后,新生儿也应给予相同配方奶粉。
针对胎儿室上性心动过速所致胸腔积液,母亲口服地高辛、氟卡尼等药物可缓解胎儿症状。而胎儿完全性传导阻滞,母亲口服地塞米松或泼尼松可达到治疗的目的。
由于细小病毒B19感染、母儿血型不合所致的胎儿中重度贫血及胎儿胸腔积液,宫内脐血管内输血可达治疗目的。选用巨细胞病毒阴性的O型浓缩红细胞,输入血量取决于胎儿HCT及胎儿体重,可根据病情多次输注,缓解症状。
另外,还有考虑对胎儿进行产前手术治疗:
对小于32周的FHT胎儿,有3种方式提供选择:胸腔穿刺术、胸腔羊膜腔分流,以及胸腔-母体皮下引流。但应该关注的是,这些操作均有可能出现感染、出血、胎膜早破、早产及损伤胎儿的风险。
七、那是不是一定要进行剖腹产呀?
胎儿胸腔积液不是剖宫产的手术指征,病情稳定的胎儿均可等待至足月经阴道分娩。在妊娠36 周前曾接受宫内治疗且病情缓解的胎儿,妊娠至37 ~ 38 周可考虑终止,但必须在能迅速施行新生儿窒息复苏的医疗机构进行,如产前接受
胸腔-羊膜腔分流术的胎儿在娩出后需夹闭或拔除引流管避免新生儿气胸的发生。如接受宫内治疗的胎儿胸腔积液仍进行性增多,可考虑在妊娠35 ~ 36 周时终止妊娠,并且在产后进行新生儿胸腔穿刺术提高新生儿的存活率。
八、这个胎儿胸腔积液,小孩生出来到底怎么样啊?
总体而言,胎儿胸腔积液的预后要比婴幼儿的胸腔积液要差一些。
自愈可能:综合文献报道,5-22%的胎儿胸腔积液可自行吸收。
原发性胎儿胸腔积液在不伴有纵隔移位/膈肌外翻等高张力表现情况下,成活率要大于90%。而双侧的胸腔积液文献报告为52%。
如果胎儿存在下列因素则提示预后不良,围产儿死亡率升高:①单纯胸腔积液进一步发展为水肿胎儿,死亡率超过50%;②肺发育不良;③早产;④存在心脏结构上的畸形;⑤胸腔穿刺后复查超声胎肺未膨胀或膨胀小于相应孕周正常范围,说明胎肺存在不可逆的损伤或存在肺发育不良。
大量的积液(积液面积占胸腔面积1/2以上)、双侧积液、积液反复、孕早期即出现、胎儿水肿等都是预后不良的主要因素。发病年龄越早,积液量越大,越容易发展为张力性胸腔积液、水肿以及继发于肺发育不全的新生儿死亡。
但随着产前诊断技术发展、新生儿衔接处理的及时性-新生儿抢救技术以及小儿胸外科技术的发展,存活率是不在断提高的。
