原创:唐宏宇 博士
审核:广州中医药大学第一附属医院 王海彬教授
文章所属:王海彬教授团队,转发请标明出处。
医生,我最近膝盖下蹲困难,或蹲下后站不起来
医生,我最近上楼梯膝盖疼,使不上力
医生,我膝盖肿,还有积水
··· ···
门诊经常会有这样一些上了年龄的患者来就诊,他们都患上了同一个疾病,叫做膝骨关节炎。
膝骨关节炎 ,也叫膝关节退行性变,是伴随年龄增长出现的关节“老化”。根据报道,60岁以上人群膝骨关节炎的发病率达50%,而70岁以上人群中有约80%患有膝骨关节炎,其中尤其“偏爱”女性。

图1 膝骨关节炎x片表现:a早期

图1 膝骨关节炎x片表现:b中期

图1 膝骨关节炎x片表现:c晚期
膝骨关节炎的早期表现为膝关节疼痛,随着病情进展,会出现疼痛加重并活动受限,关节畸形。患了膝骨关节炎该如何治疗?首先需明确, 治疗的目的主要是2个,即解决疼痛,改善关节功能。 解决了这两个问题,最终就会实现生活质量的提高。那么如何缓解疼痛?怎样改善功能?这是每个膝骨关节炎患者最关心的问题,这需要根据病情的严重程度,采取个体化的治疗手段。患者希望以最小的代价获得最满意的疗效,这也是医生不竭的医术追求。
针对不同疾病阶段,中华医学会2018年版《骨关节炎诊疗指南》提出了膝骨关节炎阶梯治疗策略,具体来讲就是第一级的基础治疗,第二级的药物治疗,第三级的修复性治疗和第四级的重建治疗。那么什么病情选择第几级治疗方案,哪一款方案适合你,以及怎样操作呢?请看下面的分解。

图2 膝骨关节炎的阶梯治疗
图2 膝骨关节炎的阶梯治疗(摘自:膝骨关节炎阶梯治疗专家共识( 2018 年版)[J/CD].中华关节外科杂志( 电子版),2019,13(1):124-130.)
基础治疗
包括预防保健和治疗康复两个方面,是对健康人或轻症患者采取的干预手段。如果你的膝盖刚出现疼痛症状不长,仅仅在上下楼梯或天气变化时不舒服,这很可能是膝骨关节炎的初期阶段。此时你需要对日常生活做出一些些改变,建立合理的日常活动方式。比如避免穿高跟鞋,选择合适硬度的鞋垫,或者选用楔形鞋垫;佩戴护膝,避免膝关节受凉加重病情;肥胖者控制体重,最好能够减肥;避免长时间奔走、上下高层楼梯、爬山,以及跪位和蹲位不良体位姿势。
作为基础治疗的运动锻炼,哪些运动是有帮助的呢?一般来说,适宜选择一些能够增强肌肉力量,促进身体平衡的运动,避免做一些加重关节磨损的运动。平路步行、游泳、骑自行车等是不错的选择,太极拳、八段锦是更高级的方案。如果处于急性期,即疼痛突然发作或加重,可以寻求中医理疗或物理治疗的干预。 如果经过专业的骨科医生诊断,你的膝骨关节炎处在第一阶段,你需听从建议,将基础治疗贯穿于你的日常并坚持下去,你的膝盖可能重返年轻。

图3 八段锦
2016年,习总书记指出“没有全民健康,就没有全面小康”。*党**的*八大十**以来,全民健康理念发生了重大转变,从以治病为中心到以人民健康为中心,我国大健康的格局正在形成。祖国医学千年以前就提出“上工治未病,不治已病”;当下全社会倡导“每个人是自己健康第一责任人”。随着健康理念的转变深入人心,疾病科普、防病保健也是新时代医生的重大使命。
药物治疗
膝骨关节炎的早期,即病变的第二阶段,根据膝骨关节炎病变的部位和程度,需要在基础治疗的基础上加用外敷药物、口服药物,或关节腔局部注射的药物,从全身或局部发挥治疗作用。药物的作用机制和效果有差异,需要根据专业的医生开出针对性治疗处方,切忌自己盲目服保健药(门诊常常有患者拿出某某国买的保健药品给医生看,殊不知吃时“一时爽”,久吃使病情复杂,“助纣为虐”)或止痛药。 如果经过基础治疗和常规的药物治疗,仍然需要长期使用消炎止痛类药物控制症状,或者就诊时已经是骨关节炎的中期,那么你需要进入到第三阶段了。
修复性治疗
到了第三阶段,膝骨关节炎的中期,保守治疗方式难以凑效,也就是需要手术干预了。这一级的手术可称为保膝手术,即通过一些较小的手术方式,对自我关节进行修复,改善疼痛症状的同时保留自身关节。 主要包括关节镜清理术(通过对关节内增生的滑膜、增生的骨刺进行清理、打磨)、关节软骨修复术(促进磨损软骨的再生或使局部纤维化)、膝关节周围截骨术(通过胫骨或股骨截骨,对下肢的力线进行调整,改变膝关节的承重) 。通过这一系列的手术方式,促进膝关节局部的生物修复,改善疼痛症状。

图4 关节镜下见内侧软骨磨损剥脱,行关节镜下“滑膜清理+局部微骨折”术a

图4 关节镜下见内侧软骨磨损剥脱,行关节镜下“滑膜清理+局部微骨折”术b

图5 胫骨高位截骨手术前x片

图5 胫骨高位截骨手术后x片。
图5 :术前x片显示左膝关节内侧狭窄,膝关节(胫骨)内翻;术后下肢力线向膝关节外侧转移,膝关节内翻得到纠正,改善了膝关节内侧受力,缓解内侧疼痛
重建治疗
重建治疗亦即关节置换治疗,这一阶段所采取的手术方式相对来说是较大的手术了,退变磨损的关节面难以通过自身的修复或局部处理使病情逆转,只能接受表面置换。膝关节表面置换包括部分表面置换术(单髁置换)和全膝关节表面置换术(全膝置换)。通俗来讲,单髁置换主要是解决膝关节内侧或外侧磨损(疼痛)问题,而全膝关节置换是解决全膝关节磨损(疼痛)问题。 重建治疗的手术,是针对骨关节炎的晚期阶段,是终极治疗方式。当然,如果不得不选择这一治疗方式,也大可不必害怕,人工关节置换已经是非常成熟的手术,关节置换术可以有效缓解疼痛、改善功能,使你的膝关节焕发新生,重启人生精彩。

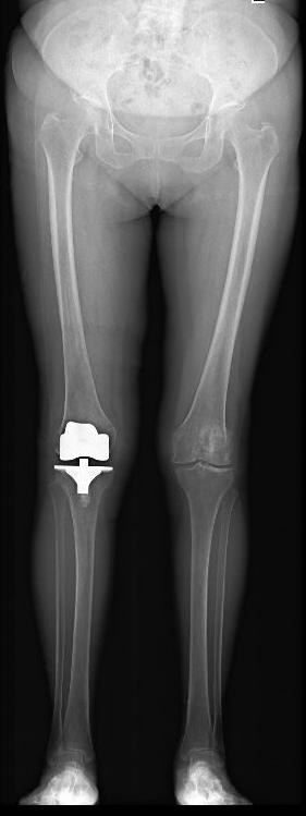
图6 膝骨关节炎内侧单髁置换术:a术前

图6 膝骨关节炎内侧单髁置换术:b术后
图6 :a图显示右侧膝关节内侧间室退变磨损严重(亦即疼痛所在部位),b图显示内侧单髁置换术后

图7 膝骨关节炎全膝关节表面置换术a术前

图7 膝骨关节炎全膝关节表面置换术b术后
图7 :a图示双膝骨关节炎严重、外翻畸形。b图示右侧全膝关节表面置换术后
小结:总的来说,膝骨关节炎是退变性疾病,从1期到4期病情逐步严重,对应的干预治疗手段逐级深化。如果你的膝关节有疼痛症状,并且疼痛症状和步行、活动明显相关,你需要尽早找专业的骨科医师,尽早给你的关节进行评估分期,科学地制定分级治疗方案,能保膝争取不置换,需置换也不拖延,让你的关节得到最合适的治疗。