某次急诊,一位老先生在家里突发肚子痛,痛的满头大汗,而且伴有呕吐,一开始以为是晚饭吃的不好,是不是食物中毒?可在家里待着越来越严重,家人赶紧带来医院看急诊。
急诊医生一检查,急腹症,先拍片子吧。拍了腹平片,典型的肠梗阻的表现。

红箭所示为肠梗阻导致的气液平面
所谓肠梗阻是指因各种原因导致的肠内容物通过障碍,比如肠子长肿瘤,或者吃了枣、山楂等堵住了肠子,还有术后黏连,肠扭转等等非常多的原因。
在X线片上,一般让病人站着拍腹部,如果有明显的梗阻会看到肠道扩张,并出现气液平面,正常的成人小肠内是没有气体的,也不会有气液平面,大肠内可以有少许气体,但肠道不会扩张。
肠梗阻约占所有需要外科手术的急性腹痛患者的20%。其中小肠梗阻约75%,大肠梗阻占25%。小产梗阻的原因包括肠粘连,肿瘤,内疝,扭转、克隆病等等;大肠梗阻原因包括肿瘤、扭转、憩室炎等等。
这个病案的主人公,平片检出了肠梗阻,下一步怎么办呢?假如几十年前,没有CT的时候,就得剖腹探查了,外科医生在一个很小的视野内,满肚子的找肠梗阻的部位、原因、以及肠子有无缺血,并要根据探查中发现的情况及时处理,其实这是非常困难的。就像一位带兵打仗的将军,接到命令,要打败敌人。可是,敌人在哪里?有多少人?有什么*器武**?对不起,我们一概不知道,这仗能打赢?
针对肠梗阻而言,在外科大夫开刀前,必须明确几件事情:1、梗阻的 部位;2、梗阻的原因; 3、肠子有无缺血、坏死。而这些,仅仅靠X线片是不够的,还好,我们生活在一个科技已已大有进步的年代。
我们可以做CT扫描。经过简单的沟通,病人家属同意做增强CT扫描。为何一定要做增强扫描呢,因为增强扫描针对肠梗阻的部位、病因显示更明确,而且更重要的一点,可以判断肠子是否缺血坏死。因此,这种情况,除了特殊的例外,都应该做增强扫描。

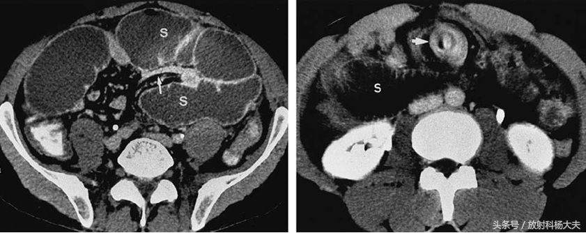
S代表扩张的肠管,左图白箭为鸟嘴征,右图为旋涡征
做完了后,我们在CT上看到了两个征象,鸟嘴征和旋涡征。所谓鸟嘴征就是扩张的肠管和萎陷的肠管的部位就像长长的鸟嘴;而旋涡征是肠系膜的血管在扭转后形成的,因此根据CT诊断为肠扭转。

所谓肠扭转是一段肠袢沿肠系膜长轴旋转或两段肠袢扭缠成结而造成闭袢性肠梗阻,前者常见。常常是因为肠袢及其系膜过长,肠扭转后肠腔受压而变窄,引起梗阻、扭转与压迫影响肠管的血液供应,因此,肠扭转所引起的肠梗阻多为绞窄性,而要判断肠管的血液情况,是否有肠缺血坏死,必须进行增强扫描。
外科医生根据CT上肠梗阻的部位、肠缺血的情况来进行手术,幸运的是,经过手术,病人恢复良好。