
针对Ⅲ期非小细胞肺癌(NSCLC)患者,治疗上首先需要多学科MDT会诊,评估可否根治性手术切除,针对可手术患者首先考虑外科手术切除。研究显示,针对不可手术的Ⅲ期NSCLC,同步放化疗是标准治疗方案。

放射治疗
Ⅲ期NSCLC和IV期NSCLC不同,具备临床治愈的希望,并且近10来临床疗效不断提高。经适型调强放射治疗,五年生存率可达20%。今年ASCO年会上,PACIFIC研究更新了3年随访结果,Durvalumab组的3年OS率达到57%,研究组的生存曲线提示3年是个关键拐点,Ⅲ期NSCLC患者的生存期是平缓的,后续将进入免疫治疗长期生存的“长尾效应”中,可能约一半的患者将得到无病生存,是可治愈的。

免疫治疗
但是临床上仍有相当部分晚期患者,经放化疗后仍出现进展,或者没有机会接受靶向治疗或免疫治疗的,却面临较大治疗困境,此时采用介入微创治疗,对患者的生存时间和生活质量均有一定的帮助。

局部晚期肺癌介入微创治疗
在DSA影像导引下,行支气管动脉化疗灌注/栓塞肺部肿瘤滋养动脉,从而控制、杀灭肿瘤。通俗点就是将高浓度的抗癌药物和(或)栓塞剂经导管系统直接注射到肿瘤病灶内,改变病灶血供,使其失去供给养分的来源,从而“饿死、毒死”肿瘤,改善患者相关临床症状,延长生命。介入微创治疗其突出特点为疗效显著、微创、毒副作用较小,且术后恢复快!

适合患者人群:对局部晚期肺癌患者来说,需要根据其具体病情制定个体化介入治疗方案。一般情况下,失去外科手术根治性切除的中晚期肺癌患者、无法耐受外科手术的患者、肺癌合并大咯血者、不能耐受静脉化疗或静脉化疗耐药的患者均适用介入微创疗法。

经典病例
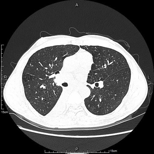
中年男性患者,诊断为右肺低分化鳞癌,经静脉化疗8周期静脉化疗,期间配合右肺门肿瘤放射性粒子植入,肿瘤仍未控进展。相关基因检测靶点无突变,无适合靶向药物治疗。胸部CT提示右下肺肿瘤进展并右下肺不张。

术前肺部CT(肺窗)

术前肺部CT(纵膈窗)
行DSA下支气管动脉化疗灌注治疗,术后1月复查肺部病灶明显缩小,右下肺大部分复张,相关临床症状亦明显改善。

DSA下支气管动脉化疗灌注治疗

术后1月肺部CT(肺窗)

术后1月肺部CT(纵膈窗)
介入微创可为无靶向、免疫治疗适应证患者提供相对经济、高效的治疗方案,有效控制病情,改善生活质量,从而有效延长患者生命。
