钱江晚报·小时新闻 通讯员 王佳 记者 何丽娜
全国爱牙日即将到来,钱江晚报小时健康小站、杭州市上城区紫阳街道社区卫生服务中心儿保科的医护人员们整理出了一份数据。8月底,该中心完成了辖区内13家托幼机构的新生入园体检工作,发现小朋友们的口腔健康问题十分严峻,尤其是龋齿的发生率高达32.35%。

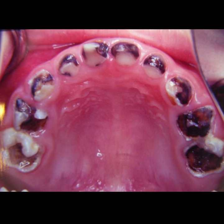
全科医生刘琳雅告诉钱江晚报·小时新闻记者,在检查时,她发现一个3岁的小姑娘有14颗蛀牙,龋齿发病率超50%。当即她就告知家长得带小朋友去口腔科就诊,谁料家长却不以为然,说:“没事的,以后会换牙的。”殊不知,这样的想法是非常错误的。
乳牙龋齿是会影响恒牙的,特别是乳牙存在大面积深龋时,髓室底薄、侧支根管多,细菌感染能够通过根分歧,到达周围牙槽骨产生慢性炎症,影响恒牙胚发育,造成牙齿畸形,干扰正常萌出,出现错颌畸形等。最终,他们花了好长时间跟小姑娘家长详细讲了儿童口腔健康知识,家长才恍然大悟。
还有一个同岁的小男孩,龋齿11颗,一部分龋齿已经做好治疗,其他的还要继续分批治疗,严重的龋齿甚至要全麻下手术。家长十分懊悔,他们从小没有注重口腔护理,平时睡前要喝奶并且是含奶嘴睡觉,爱吃甜食,特别是糖和巧克力,乳牙刚发生龋病的时候没有重视,直到小孩牙痛得打滚才带去口腔医院治疗,龋齿都烂到牙根,需要做根管治疗,每次去小孩不配合,需要四个大人帮忙按住,甚至要绑起来,小孩子痛苦恐惧,家人也揪心。他们已经深刻认识到口腔护理的重要性,正努力引导小朋友养成良好口腔护理习惯。

从宝宝出生开始就养成好的口腔护理习惯,省钱又省心。那么家长如何帮宝宝养成良好口腔护理习惯呢?刘琳雅医生给出了专业的建议。
针对新生宝宝,应该每次给宝宝喂完奶后喂食少量温开水,清洁口腔,防止病菌繁殖,预防鹅口疮。当宝宝的小萌牙长出后,就要清洁小萌牙了。可以用指套牙刷或纱布蘸温开水,轻轻擦拭乳牙和牙床,每天早晚各一次,晚上放在睡前喂完最后一次奶后,以免奶液残留在口腔中导致龋齿。
8个月以后的宝宝要停夜奶,改掉含奶嘴入睡的习惯,限制含糖食物及碳酸饮料的摄入,降低龋齿发生率。要选择婴幼儿专用牙刷和牙膏,每天早晚各刷一次牙。
另外,宝宝的口腔和牙齿发育较快,龋齿发生进展速度也很快,家长需要每半年带宝宝去专业口腔医疗机构进行口腔检查,一旦发现龋齿尽早治疗。
本文为钱江晚报原创作品,未经许可,禁止转载、复制、摘编、改写及进行网络传播等一切作品版权使用行为,否则本报将循司法途径追究侵权人的法律责任。
来源:钱江晚报·小时新闻