抗核日记:一个肺结核患者的治疗过程㈠

一般人一听肺结核,可能都觉得这种病不是已经彻底消失了吗?怎么还会有人得?然而实际上我国最近的结核患者数量并不少,由于是慢性传染病,由于患者带着病自己都不知道,小编从发现有结核病到现在快一个月了,想和大家分享一下治疗的经历和结核病的一些基本知识。

今年10月10号晚上大概6点,吃过晚饭刚抽完一支烟,感觉喉咙有一股液体涌出来,说是痰吧感觉和水一样稀,吐出来一看是一小口鲜血,当时我就懵了几秒,以为我这是得了什么绝症吗?活了30几年从没吐过血啊,就这十来分吧,吐了一共其实没多少,不过心里静不下来,家附近有医院,穿上外套出门我就去了。

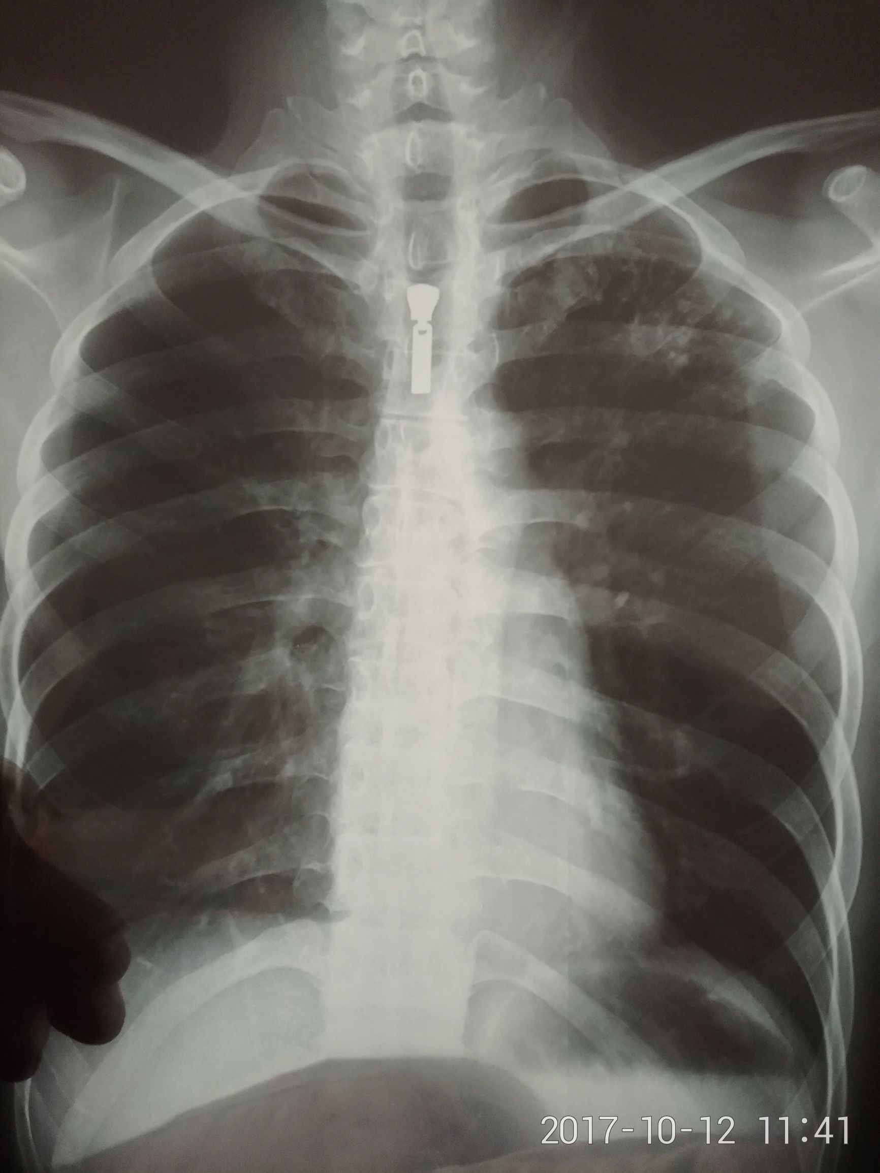
挂了号,大夫稍微一问,咯血了?去拍胸片吧,拍完等了一会,放射科大夫说有一块阴影,看起来可能是炎症或者结核,之前没了解过结核这种病,以为这肯定是老年人得的,自以为可能是个炎症吧,拿去给大夫一看,说很可能是肺结核,让我明天去市里传染病医院继续诊断,给我写了张介绍信一样的东西,然后回到家,马上躺床上不敢乱动,8点多就准备睡觉,怕咯血,平时夜里一两点前基本上没睡过觉,就这晚上还是有一次吧,咯了一点点血,第二天早上醒来也有一点点,下面放上胸片。

抗核日记:一个肺结核患者的治疗过程㈠ ​左边是右肺,右边是左肺,可以看出左肺上面有一块白色的阴影,这个叫病灶,就是说肺上有问题了,有的严重的空洞型肺结核胸片上就能看出明显空洞,我这个算轻的了,胸片只能看到这种地步,想再看清楚点就得做ct了。

本来心里还存一点侥幸,觉得不会是结核不用再去医院了,因为平时身体还可以,我也并没有别的什么症状,不发烧,不咳嗽,除了这一点血,早上又咳了一点血让我改变了主意,心里还是有点怕,就去专治结核的传染病医院了,从我家到这个医院需要倒一班公交车,路程大概需要两小时。。。真心够远的。。。

(大家关注,每个地方针对结核病的处理都是一模一样的,我的经历完全可供疑似病人参考)

到了医院挂了号,医生大概问了下情况,让我做几个检查,pdd也就是结核菌素试验,还有痰检,然而这些都不好确诊我是否确实得了结核,也没有什么痰可以验的,还是等看ct结果。

抗核日记:一个肺结核患者的治疗过程㈠ ​ct可以看到图上也是右边是左肺,清楚的看到右肺没问题,左肺一块病灶,并且中间有一个小洞,说明我这个已经有段时间了,可自己一点感觉都没有。。。可想这个病藏的多深。。。

抗核日记:一个肺结核患者的治疗过程㈠ ​部分病灶钙化,说明我之前就得过一次,可是自己好了,也是一点都不知道。。。

有了ct结果已经基本可以判断我确实是肺结核了,大夫马上给我开了四种一线结核药和保肝药,交待了用量和可能出现的副作用,让我回去就开始服用。。。

抗核日记:一个肺结核患者的治疗过程㈠ ​(抗结核药物一吃就是差不多一年,第一次就领了这么多,这是一个月的量,以后要当个药罐子了。。当然两个月以后会减药的)

回去就开始吃药了,抗结核药每天早上空腹一次,保肝药每天3次,不能间断。。。

抗核日记:一个肺结核患者的治疗过程㈠ ​这是17号早上我开始第一次吃药。。。一次吃这么多。。。可为了健康。。必须吃啊。。。吃了快半个月,一切正常,食欲很好,因为这个病我的坏毛病全改了,戒了烟戒了酒,每天吃早饭,多喝水。。然而还是出情况了。。。。

出了什么情况下次再更。。。 会看此文的想必也会是结核患者或者疑似患者或者病人家属,有病情或者问题需要讨论的可以留言,患病不到一个月,自己已经快变成个伪专家了,当然只能讨论,具体的治疗方案还是必须必须听医生的,祝大家抗核成功,早日恢复健康!

抗核日记:一个肺结核患者的治疗过程㈠