近日,潍坊市中医院东院区脊柱骨科在骨伤科学科带头人谭磊副院长带领下成功完成一例胸椎侵袭性血管瘤根治手术,这是该院在潍坊地区率先开展的高难度、高风险胸椎肿瘤手术,在国内也属于领先水平。
2019年10月18日,谭磊副院长门诊上来了一位54岁的蒋阿姨,蒋阿姨2个月前感冒后出现背部疼痛不适,静养后疼痛未缓解,10天前自己感觉背部疼痛加重,并且出现双足底麻木不适,在深圳北大医院查胸椎CT、MRI结果显示“胸11椎体异常信号”。

术前MRI检查

术前CT检查
蒋阿姨辗转去了好几家大医院看病,也做过保守治疗,但效果一直都不理想。
蒋阿姨的女儿说,这段时间,蒋阿姨活得就像机器人一样,肢体僵硬,活动受限,身体难受,情绪也差,仿佛整个人都被低气压环绕着。
在女儿的陪同下,来到潍坊市中医院东院区脊柱骨科谭磊副院长的门诊就诊,经谭磊副院长仔细阅片、查体后考虑“胸椎良性占位”,建议患者入院进一步排查。
谭磊副院长仔细阅读患者所有影像学资料后,认为患者胸11椎体侵袭性血管瘤可能性大,胸11椎体被肿瘤破坏近2/3,如果不及时治疗,不恰当的活动可能导致椎体骨折,造成严重脊髓功能障碍而致瘫痪。当机立断,经穿刺活检病理回报考虑为血管瘤,ECT检查未发现其他部位有肿瘤的存在。

患者的Ect检查
谭磊副院长为患者家属详细分析了病情,考虑到椎体侵袭性血管瘤出血量大及患者的家庭经济情况,并制定了“胸椎后路椎体内肿物切除、植骨融合内固定术+右侧髂骨取骨术”的手术治疗方案。
在麻醉科、重症医学、心内科、输血科的支持下,手术在2019年10月30日8时进行。 术中,谭磊副院长带领团队与麻醉医师、输血科、手术护理团队默契配合,历时三小时,高效、快速的完成了手术。
术后患者背部疼痛消失,双侧足底麻木感逐渐缓解,没有出现任何并发症,术后第二天拔除引流管,在支具保护下行走,术后第七天出院。

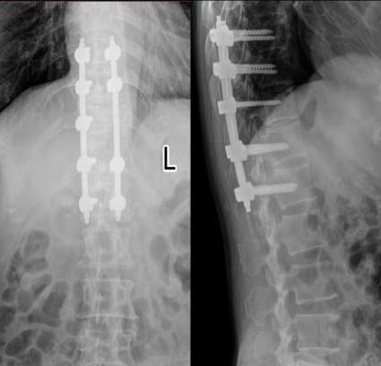
术后复查x线、CT

患者出院1周回院复查,外固定支具保护下地行走无任何问题,双侧足底麻木感消失,谭院长对患者术后康复从饮食及运动等多个方面进行了亲切的指导,患者及家属对潍坊市中医院东院区脊柱骨科全体医护人员不辞辛苦的努力表示感谢,合影留念。
科室介绍
东院区脊柱骨科是国家临床重点专科、国家级重点中医专科、山东省*级A**特色专科,拥有全国名中医王景彦工作室、山东省名中医谭磊工作室,主持国家吴阶平医学基金科研项目,是全国纤维环修复中心,被中国中医药学会批准为椎间盘镜培训基地。是山东乃至华北地区第一家专注于脊柱疾病微创治疗、培训及研究的中心。
东院区脊柱骨科设置病床25张,拥有正高级职称3人,副高1人,中级职称2人,医学博士1人、硕士5人。目前与上海长征医院、北医三院、宣武医院技术协作,促使东院区脊柱骨科成为我市唯一一家集保守、疼痛、微创、手术、康复等为一体的综合脊柱治疗中心。
专家介绍
谭磊

潍坊市中医院*党**委委员、副院长,骨伤科学科带头人,脊柱骨科主任,主任医师,山东中医药大学、潍坊医学院教授。
国家中医药管理局“十一五”重点专科骨伤科重点病种脊柱组专家组副组长;中国残疾人康复协会脊髓损伤专业委员会委员、国际脊髓学会中国脊髓损伤学会委员、山东中医药学会骨伤分会四肢创伤专业委员会副主任委员、山东省疼痛研究会脊柱镇痛委员会委员、潍坊医学会骨科专业委员会副主委、潍坊市脊柱脊髓损伤专业委员会副主委。
主持完成科研分获山东省科技进步三等奖1项1/6,山东省中管局科技进步二等奖1项1/6、山东省中医药科技进步一等1项1/5,潍坊市科技进步二等奖6项、三等奖10余项均为第一位发明人。在国家级刊物发表论文20余篇,其中SCI一篇,主编专著1部,获国家专利1项。
先后被评为山东省卫生厅青年岗位能手、第五届潍坊市十大杰出青年、潍坊市专业技术拔尖人才两次、第二届全国百名杰出青年中医、潍坊市名中医、潍坊市十佳医生、第二届潍坊市十大名医等荣誉称号。
东院区门诊时间:周二、周五全天
张力

主任中医师,教授。
山东省中医药协会四肢创伤专业委员会常务委员,潍坊医师协会骨科专业委员会秘书长。2015年至2018年在瑞士学习和工作三年。从事中医及中西医结合脊柱专业临床、教学、科研工作25年,积累了丰富的临床经验,对脊柱疾患的综合保守治疗及手术治疗有独特的见解。主治:颈椎病、腰椎间盘突出症、腰椎椎管狭窄症、腰椎滑脱症、椎间盘源性下腰痛、脊柱骨折、骨质疏松症及慢性脊柱源性颈腰痛等。治疗方式包括中医中药的综合保守治疗(中药、手法、小针刀、神经阻滞)、微创治疗(椎间盘镜技术、椎体成形技术、低温等离子射频消融技术)及开放行手术治疗。根据腰椎间盘突出症的不同类型及不同发展阶段采用不同的治疗方式,体现个体化治疗特点,逐步形成了规范的腰椎间盘突出症的阶梯治疗模式。即综合保守治疗→低温等离子射频消融术→椎间盘镜下髓核微创切除→椎体间的固定融合。主持及参加与科研项目10余项,发表学术论文10余篇,专著1部,获国家发明专利1项。
东院区门诊时间:周三全天
于龙潭

副主任医师,副教授,潍坊市中医院东院区脊柱骨科主任。
兼任中国研究性医院学会脊柱外科专业椎间盘修复与重建委员会常务委员,中华中医药学会脊柱微创专家委员会委员,中国中西医结合学会骨科微创专业委员会脊柱内镜学组委员,山东中医药学会骨科微创专业委员会秘书长,潍坊市优秀医师,第十届潍坊市青年科技奖获得者。
擅长于各种脊柱常见及疑难疾病的手术治疗,对颈椎病、颈椎管狭窄症、颈椎后纵韧带骨化症、胸椎间盘突出症、胸椎黄韧带骨化症、腰椎间盘突出症、腰椎管狭窄症、腰椎滑脱症、脊柱肿瘤、结核及脊柱外伤等各类脊柱疾患的手术治疗具有丰富经验。尤其在脊柱微创手术方面具有较高造诣:擅长椎间盘介入消融、椎间盘镜、椎间孔镜、微创通道、微创经皮内固定及显微镜辅助下颈椎手术,其中椎间盘镜(MED)下髓核摘除纤维环修复治疗腰椎间盘突出症技术填补我省空白。
至今发表论文20余篇,其中英文SCI论著2篇;主编专著2部:《新编脊柱外科学》、《实用中西医结合骨科微创疗法》,获国家实用新型专利1项;主持或参与科研课题8项。
东院区门诊时间:周一、周四全天