这天在医生办公室,一个女性在哭泣,一边哭一边说,“医生,你说怎么办就怎么办,你问我我怎么知道怎么办?”,而P医生说,“我们这也是刚才检查发现,现在老人的状况很危急,我们建议早点手术。”
“要手术这么严重?”女人哭的更厉害了。
“是啊,现在腹腔里面积血比较多,现在腹腔应该还在出血,手术是最好选择。”
听到这里这我才听
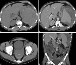
明白怎么回事,原来这是一个住院病人的家属,这个病人是大隐静脉曲张的病人,已经做完手术两周了,可是目前没有出院的原因就是因为患者在一周前不慎在病床上跌落下来,当时检查了CT,考虑肋骨骨折,脾脏挫伤,一直保守治疗,昨天晚上患者突然疼痛加重,早晨紧急检查了腹部CT,腹腔已经有大量的积液了,血常规贫血也比较重,这说明一个问题那就是需要紧急手术治疗。

那么脾脏损伤以后7天患者为什么还会再次出血。我们知道脾脏位于左上腹,脾脏是腹部最易受伤的实质性脏器,占各种腹部伤的40%~50%,脾脏破裂以后主要危险在于大出血,死亡率约10%,约85%为被膜和实质同时破裂的真性破裂,少数为中央型或被膜下破裂,其被膜尚完整,但可在2周内突然转为真性破裂而大量出血,称延迟性脾破裂,应予警惕。这例病人就是典型的迟发性脾脏破裂,患者突然腹痛说明脾脏被膜的压力增加,最终导致被膜破裂,大量出血。
在医生的劝说下,患者家属最后同意手术治疗,手术中发现出血有两千毫升,经过自体输血,和异体输血,总共补血1000多毫
升,经过手术病人的病情稳定了。一次床上跌落,竟然出现这么严重的后果,可见防止床上跌落的重要性,另外我们也要特别关注再出现外伤以后,一定不要掉以轻心。
去年去年春节的时候,我接诊了一个病人,她陪着老公一起串门,可是半路出车祸撞到了树上,因为他和老公都没有系安全带所以两个人都受到了撞击,她老公手上出现了皮擦伤,她陪着老公去医院看病,可是在医院的时候她突然感到腹痛,紧急做了CT检查,考虑脾脏破裂,幸亏发现及时经过保守卧床治疗,她慢慢的恢复躲过了手术治疗。