医脉通编辑整理,未经授权不得转载。
案例简介
一名72岁的老年男性,患有糖尿病和高血压,因发热、腹泻4天被送入急诊科。体魄检查显示,患者低血压(血压为84/44 mmHg)且脱水,无其他明显发现。血液分析显示白细胞增多(12200 / mm 3),中性粒细胞增多(10800 / mm 3),C反应蛋白升高(9.5 mg / dl)和急性肾损伤(肌酐7.34 mg / dl),急诊予以患者肾脏替代治疗。血培养分离伤寒沙门菌。根据细菌抗生素药敏试验,患者接受环丙沙星治疗。患者完成抗生素治疗后出院,临床上无症状。
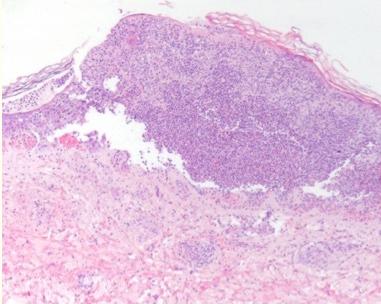
出院3周后,患者随诊诉*丸睾**疼痛15天,体重减轻(5KG)。体魄检查发现腿部多发紫癜性病变伴溃疡、脓疱及溃烂(图1和2),手臂也发现瘀斑。皮肤活检显示角膜层脱落,角质形成细胞坏死和丰富的多形核细胞(图3),深部真皮及皮下动脉的多形核浸润伴血管炎的局灶性体征(图4),与结节性多动脉炎一致。患者接受泼尼松治疗,从60 mg开始,然后逐渐减少剂量,直到皮肤病变完全缓解。

图1紫癜性病变伴溃疡、脓疱及溃烂

图2溃疡性紫癜性病变

图3HE染色显示角膜层脱落并伴有角质形成细胞坏死的区域

图4HE染色显示动脉多形核浸润和血管炎的局灶性征象
讨论
结节性多动脉炎(PAN)是一种全身性坏死性血管炎,通常影响中动脉,偶尔累及小动脉。在大多数病例中,PAN的确切病因尚不清楚,但它被发现与肿瘤疾病、基因突变和多种感染有关。文献中最常见的描述是乙型肝炎和丙型肝炎,此外细菌感染也与结节性多动脉炎有关。常见由链球菌属引起的,但是由克雷伯氏菌、假单胞菌和耶尔森菌等引起的感染也有记载。
结节性多动脉炎的病因尚不清楚,但T细胞介导和免疫复合物受累可能与病理过程有关。
沙门氏菌属细菌与结节性多动脉炎之间的病因学关联先前已在科学文献中有记载,但很少有组织学和临床证实。
拓展学习
结节性多动脉炎是一种罕见的原发性全身性血管炎,其特征是中、小动脉坏死性炎症,伴有或伴有动脉瘤形成,不累及微动脉、小静脉和毛细血管。PAN的症状和体征主要是由受影响器官的弥漫性血管炎症和缺血引起的。它可以影响多个器官和组织,最常见的临床表现是周围神经病变和骨关节、肾动脉和胃肠道受累的症状。
PAN的诊断是通过组织活检或结合血管造影。由于急性肾功能衰竭、肾/肾周血肿、胃肠道出血或穿孔、肝梗死、甚至心脏衰竭等危及生命的并发症的进展,快速诊断是必要的。

PAN的治疗取决于疾病的严重程度。目前PAN治疗的主要用药是糖皮质激素和免疫*制剂抑**。
糖皮质激素:治疗首选药物,初始剂量推荐泼尼松每天1mg / kg,每天最大剂量为60-80mg,3-4周后逐渐减量。
免疫*制剂抑**:对糖皮质激素有抵抗或不耐受的患者,可以使用环磷酰胺或甲氨蝶呤等免疫调节剂,如口服环磷酰胺每天2-3 mg/kg,也可用隔日200mg静脉滴注或0.5-1.0g/m2体表面积静脉冲击治疗,每3-4周1次,连用6-8个月,根据病情。以后每2-3个月1次至病情稳定1-2年后停药。
乙型肝炎或丙型肝炎感染的PAN患者:应强调抗病毒药物治疗,针对轻度PAN患者,应在添加免疫抑制药物之前进行抗病毒治疗。除抗病毒治疗外,患有严重乙型肝炎相关PAN的患者可以使用糖皮质激素和血浆交换进行短期治疗。
参考文献:
[1]Tavares PN, Alves P, Grácio RL, et al. Is Salmonella Infection Another Possible Trigger for Polyarteritis Nodosa?. Eur J Case Rep Intern Med. 2020;7(3):001403. Published 2020 Feb 18. doi:10.12890/2020_001403
[2]Howard T, Ahmad K, Swanson JA, Misra S. Polyarteritis nodosa. Tech Vasc Interv Radiol. 2014;17(4):247‐251. doi:10.1053/j.tvir.2014.11.005
[3]中华医学会风湿病学分会. 结节性多动脉炎诊断和治疗指南[J]. 中华风湿病学杂志, 2011, 15(3):192-193.

1.系统性红斑狼疮患者中的常见甲状腺疾病有哪些?| 临床实战
2.关于淀粉样变性诊断与管理,这5个问题你掌握了吗?| 临床实战
3.风湿性疾病的肝脏受累,你了解多少?| 临床实战