
鞍区解剖中最为重要的就是垂体和骨性的蝶鞍。今天先来学习一下垂体。在学习垂体解剖之初经常遇到各种各样的术语(例如垂体柄、漏斗、正中隆起、远侧部、中间部、中间叶、Rathke pouch、下丘脑垂体门脉系统等),连垂体的英语单词都有好几个。鉴于以上疑惑我今天从术语解析、血供、垂体本身的结构、胚胎发育、与周围结构关系、影像表现、常见垂体相关神经外科疾病几个方面来学习垂体。水平有限,望老师们不吝赐教。
1、Key Terms And Difinition:
垂体(pituitary gland;hypophysis cerebri;hypophysis;pituitary body;pituitarium)
(1)、Hypophysis:
- Hypophysis = The pituitary gland; named from hypo,meaning “below,” and physis, meaning“growing,” because the gland develops below the hypothalamus. 垂体;hypo意思是“下面”,而physis,意思是“生长”,因为垂体在下丘脑下面发育。【——摘自《Medical Terminology An Illustrated Guide,7th edition》】

(2)、Anatomical Position:
- 垂体【pituitarygland or hypophysis】是一个小豌豆大小(pea-sized)的腺体(直径约1厘米,重量约0.5至1克);
- 垂体位于大脑底部一个叫做蝶鞍(sella turcica)的小袋状颅骨凹陷处。
- 垂体通过垂体柄[pituitary (or hypophysial) stalk][ 也称漏斗(known as the infundibulum)]与下丘脑(hypothalamus)相连。

(3)、Development:
①发育中的第三脑室底部向下外翻形成了间脑(diencephalon)的漏斗(infundibulum)。
②发育中的咽顶部的外胚层细胞增厚区域内陷形成Rathke囊(Rathke’s pouch)。
③向下生长的漏斗和向上生长的Rathke囊相互融合形成垂体。其中漏斗→发育成后叶或神经垂体(posterior lobe or neurohypophysis);Rathke囊的前壁→发育成前叶或腺垂体(anterior lobe or adenohypophysis);Rathke囊的后壁→发育成中间部(pars intermedia),在成人中,它要么不存在(大部分人类怀孕15周左右中间部就退化了),要么可能作为一个小的非功能性囊性残余物(中间部囊肿pars intermedia cyst)(见图14-18)。
④前叶分泌生长激素(growth hormone)和刺激其他腺体的激素(hormones that stimulate other glands);后叶释放下丘脑产生的ADH和催产素(oxytocin)。


(4)、structure:
在解剖学上(anatomically),垂体是一个“二合一(two-in-one)”结构,由腺垂体和神经垂体组成,二者有不同的胚胎起源。
- 腺垂体(adenohypophysis):质较硬。与蝶鞍粘连较松容易分离。主要由腺细胞组成。腺垂体分为3部分—→①前部(pars anterior)= 远侧部(pars distalis)= 腺部(pars glandularis):是最大的部分,负责激素分泌;②中间部(pars intermedia)是一层薄薄的上皮层,将前后叶分开;③结节部(pars tuberalis)为垂体前部向上延伸包绕垂体柄(漏斗)[pituitary stalk (infundibulum)]下部前外侧面的部分。
- 神经垂体(neurohypophysis):质软,呈凝胶状。与蝶鞍粘连紧密。主要由下丘脑的轴突投射组成。神经垂体分为3部分→①后部(pars posterior)= 神经部(pars nervosa)= 后叶(posterior lobe)②漏斗干(infundibular stem)③正中隆起(median eminence)。
- 漏斗(infundibulum)= 垂体柄(pituitary stalk)= 漏斗干(infundibular stem)+ 结节部(pars tuberalis)。

(5)hormones and actions:
腺垂体合成和分泌的激素:
- 生长激素(growth hormone, GH)= 促生长激素(somatotropin):参与身体生长的调控。
- 催乳素(prolactin, PRL):刺激乳腺生长和乳汁分泌。
- 促肾上腺皮质激素(adrenocorticotropic hormone, ACTH)= 促皮质素(adrenocorticotropin):控制肾上腺皮质激素的分泌。
- 甲状腺刺激激素(TSH)= 促甲状腺素(thyrotropin):具有促进甲状腺滤泡上皮细胞增生、甲状腺激素合成和释放的作用
- 卵泡刺激素(FSH)——是促性腺激素(gonadotropin)的一种:促进卵泡生长以及卵泡内雌激素分泌,也促进精子发生。
- 黄体生成素(LH)——是促性腺激素(gonadotropin)的一种:诱导黄体分泌黄体酮及男性*丸睾**间质细胞合成睾酮。
注:下丘脑分泌的激素【生长激素释放激素(GHRH)、生长激素抑制激素(GHIH或SS)、促甲状腺激素释放激素(TRH)、促肾上腺皮质激素释放因子(CRF)、促性腺激素释放激素(GnRH)——(以上5中目前能分离或人工合成);尚未能提纯及合成的激素或因子——泌乳素释放因子(PRF)、泌乳素抑制因子(PIF);可能存在的黑色素刺激释放因子(MRF)及抑制因子(MIF)】起到调节腺垂体的作用。
神经垂体储存和释放的激素:
- 抗利尿激素(antidiuretic hormone, ADH)= 血管加压素(vasopressin):控制肾小管对水的重吸收。
- 催产素(oxytocin):促进分娩时子宫平滑肌的收缩,促进哺乳时乳汁的分泌。
注:ADH和催产素是由下丘脑的视上核和室旁核合成分泌的。
以上8种激素的化学特点:
- 黑色素细胞刺激素(MSH)在人类为ACTH及β促脂素(β-LPH)分子中的一个片段。
- 属于肽类的激素:ACTH、β-LPH。
- 属于蛋白质的激素:GH和PRL。
- 属于糖蛋白的激素:TSH、LH和FSH。

2、vascular supply:
垂体的血管系统是复杂而独特的。前叶和后叶有相同的静脉引流(垂体前静脉和垂体后静脉),它们有各自单独的动脉供应(individual arterial supply)。

(1)、垂体的供血动脉:
- 数条垂体上动脉(superior hypophysial artery):①3个来源——颈内动脉的前床突上部、大脑前动脉及大脑后动脉。②数支垂体上动脉在垂体柄的根部形成动脉环。③自动脉环发出垂体柄短动脉→供应下丘脑正中隆起和漏斗(垂体柄)④自动脉环发出垂体柄长动脉→供应垂体前叶。
- 单条垂体下动脉(inferior hypophysial artery):主要分布于垂体后叶。
(2)、垂体的静脉引流:
- 下丘脑-垂体门静脉系统:数条垂体上动脉→动脉环→初级毛细血管丛(漏斗上部),获得下丘脑的刺激或抑制激素或因子→多条长的门静脉→次级毛细血管丛(垂体前叶)。——达到下丘脑对垂体功能调节的目的。
- 单条垂体下动脉→垂体后叶的静脉丛。
- 垂体前叶的静脉丛+垂体后叶的静脉丛→上/下垂体静脉→海绵窦。
(3)、基于以上血供特点的垂体功能示意图:

3、Anatomical Relations:
垂体位于蝶鞍(sella turcica)内,其下表面常与鞍底(sellar floor)形态一致,借蝶窦与鼻腔相隔。其上方通过鞍膈(diaphragma sellae)与颅腔相隔。垂体柄经鞍膈中心的鞍膈孔(foramen of diaphragma sella)进入颅腔连于下丘脑。
(1)、垂体周围的重要解剖结构:
- anteriorly and inferiorly:蝶窦(sphenoid sinus)。
- posteriorly:后海绵间窦(posterior intercavernous sinus)、鞍背(蝶鞍后壁)[dorsum sellae (posterior wall of the sellaturcica)]、基底动脉(basilar artery)及脑桥(pons)。

- superiorly:鞍膈(覆盖垂体的硬脑膜折叠)[diaphragma sellae (fold of dura mater that coversthe pituitary gland)]、视交叉(optic chiasm)。垂体与视交叉的关系可分为3型——前置型(视交叉在鞍结节上方)、正常型(视交叉在鞍膈中央上方)、后置型(视交叉在鞍背上方)。

- laterally:海绵窦(cavernous sinus)。

(2)、垂体的形态特点:
- 底部:与蝶鞍形态适应。
- 上、外侧壁:是软组织,而非骨性组织,因此垂体的上部和外侧部形态多变。①如果鞍膈孔较大,则垂体柄周围的垂体略上凹。②垂体上表面的外侧和后部受到颈内动脉压迫而呈三角形。

4、垂体相关影像知识点:
(1)、蝶鞍大小的测量方法及相关数据:

(2)正常垂体的MRI表现:
- 正常垂体在T1WI上:垂体前叶是等信号的;垂体后叶是高信号的。
- 冠状位上,脑垂体、垂体柄及视交叉共同组成“工”字型。

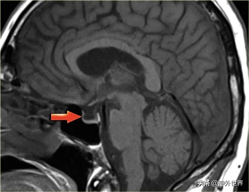
(3)、垂体柄(漏斗)[pituitary stalk (infundibulum)]测量:
- 垂体柄(漏斗)从下丘脑正中隆起(median eminence of the hypothalamus)向下和向前突出。它穿过鞍隔孔,连于垂体。漏斗上部最宽,下部逐渐变细。

- 成人正常漏斗厚度的上限是:正中隆起处3.5mm,中部2.9mm,进入腺体处1.9mm。正常厚度的下限为1mm。
- CT检查时,可将垂体柄直径与基底动脉直径在同一水平上进行比较,以评估漏斗的大小。正常人垂体柄与基底动脉比值应小于1。等于或大于1的比率可与基于患者年龄和性别的正常参考漏斗大小范围进行比较。一个异常大的漏斗可能需要进一步评估潜在的病理过程,如下丘脑肿瘤、朗格汉斯细胞组织细胞增生症或结节病。
(4)正常垂体的影像表现:
- 视察垂体的形态:①上缘平坦型(60%-70%);②上缘下凹型(20%);③上缘上凸型(10%)。



- 视察垂体的高度:正常上限→男性6mm;女性7mm;孕期和哺乳期达9mm。
- 视察垂体的信号改变。
(5)临床上神经外科常见垂体相关疾病:
- 垂体腺瘤:CT表现为——蝶鞍扩大;鞍上池被肿块占据。MRI表现垂体高度超过上限,垂体柄及视交叉被推挤移位变形。增强对微腺瘤诊断帮助大。


- 空泡蝶鞍(empty sella):蝶鞍内大部分为脑脊液信号,垂体背压到鞍底,压得很薄。【主要是由于鞍隔发育不良,导致脑脊液进入鞍内,只进不出,对垂体造成压迫,鞍内积存大量脑脊液,脑垂体受压变薄变小】。

- 垂体发育障碍:漏斗未能向下发育至鞍内,垂体柄消失,神经垂体上移。


- Rathke囊肿:鞍区囊性病变【Rathke囊发育退化不全】。
- 颅咽管瘤:鞍区钙化+囊变+实质结构是其主要特征。【Rathke囊发育退化不全,未完全闭合的颅咽管胚胎性鳞状细胞发展成颅咽管瘤。这些残存的颅咽管位于垂体前叶和垂体柄,因此儿童颅咽管瘤可起源于鞍内的垂体前叶(鞍内型)和鞍上的垂体柄(鞍上型)】。

参考书目:《Imaging Anatomy of the Human Brain A Comprehensive Atlas Including AdjacentStructures》《Imaging of the brain-saunders (2012)》《Rhoton's cranial anatomy and surgical approaches-(2007)》《gray's anatomy, 41 ed, 2016》《The language of medicine, tenth edition》《Atlas of human anatomy, six edition-frank H.Netter,M.D》《neuroanatomy through clinical cases, second edition》《Medical Terminology AnIllustrated Guide,7th edition》《王忠诚神经外科学,第2版》《格氏解剖学 临床实践的解剖学基础,中文第41版》
《鞍区病变的CT 及MRI表现》——柳橙教授授课录像
以上内容仅用于学习交流,如有侵犯版权,烦请联系我立即删除。