
First published:01 June 2020 ,https://doi.org/10.3322/caac.21613
摘要:胶质母细胞瘤是最常见的原发性恶性脑肿瘤。总的来说,本病患者的预后较差,中位生存期<2年。男性略占优势,发病率随年龄增长而增加。新诊断的情况下,标准的治疗方法包括外科手术,然后放疗同步替莫唑胺化疗和进一步替莫唑胺化疗。肿瘤电场治疗,传递低强度交变电场,也可同步替莫唑胺化疗。复发时,没有标准的治疗;但是,根据患者的情况,手术、放疗和全身化疗或贝伐单抗治疗都是潜在的选择。支持性和姑息性治疗仍然是多模态管理方法在整个疾病过程中的重要考虑因素。最近修订的胶质母细胞瘤分子分型,特别是异柠檬酸脱氢酶(IDH)突变态势,是对疾病潜在发病机制的进一步了解的结果。显然我们需要更好的治疗方案,并且已经在探索免疫治疗和肿瘤精准治疗方面做出了大量的努力。然而,与其他实体瘤相比,生物因素,如血脑屏障和独特的肿瘤及免疫微环境,在新疗法的发展中是一个重大挑战。为了最终改善胶质母细胞瘤患者的预后,需要创新的临床试验设计和生物标记物富集策略。
介绍
胶质母细胞瘤是最常见的原发性恶性脑肿瘤,约占所有胶质瘤的57%,占所有原发性中枢神经系统恶性肿瘤的48%。
尽管胶质母细胞瘤的综合治疗包括手术、放疗、全身治疗(化疗、靶向治疗)和支持治疗等方面最近取得了诸多进展,但总体预后仍然很差,长期生存率很低。此外,随着神经功能和生活质量的逐步降落,相关的并发症可能会对患者、护理人员和家庭产生毁灭性的影响。精确肿瘤学和免疫疗法时代的到来预示着开发更有效和耐受性更好的治疗方法来对抗这种侵袭性疾病的广阔前景。本文综述了胶质母细胞瘤治疗的最新进展以及精确肿瘤学和免疫治疗的未来方向。

发病率和死亡率
在美国,根据2011年至2015年的登记数据,经年龄调整的胶质母细胞瘤年平均发病率为每10万人3.21例。发病率因年龄和性别而异,诊断时的中位年龄为65岁,在75-84岁年龄组中最高。胶质母细胞瘤在男性中的发病率是女性的1.58倍,经年龄调整的年发病率为4.00,而每10万人口中的发病率为2.53。就种族或种族特征而言,非西班牙裔白人发病率最高,美洲印第安人或阿拉斯加土著发病率最低,约低40%。在全球范围内,胶质母细胞瘤发病率在北美、澳大利亚、北欧和西欧最高。美国胶质母细胞瘤的总患病率为每10万人口9.23例。
胶质母细胞瘤的危险因素很少。暴露于电离辐射是与胶质母细胞瘤相关的最强危险因素,也是唯一已知的潜在可改变的危险因素。胶质母细胞瘤与过敏史、过敏症和其他免疫相关疾病之间的反向关联也已被确定,尽管其确切的潜在生物学原因尚未阐明。与胶质母细胞瘤相关的遗传综合征很少见,如Li-Fraumeni综合征和Lynch综合征,但这些占病例的<1%。值得关注的是,手机的使用与胶质瘤的发展之间并没有强有力的、确凿的证据,但是还需要进一步的研究,而且这种关联仍然存在争议。
胶质母细胞瘤的预后仍然很差。高龄、症状重、切除不全等都是公认的不良预后因素。老年患者中位生存期<4个月,即使有最好的支持治疗。然而,分子特征,如异柠檬酸脱氢酶1(IDH-1)和IDH-2突变以及MGMT甲基化,提示相对良好的预后,下文将对此进行更详细的讨论。
治疗手段和效果的进展使接受治疗的患者的中位生存期提高到15个月以上。总体而言,2000年至2014年间,美国确诊患者的1年相对生存率为41.4%,2000年至2004年间和2005年至2014年间分别从34.4%提高到44.6%。尽管随着时间的推移,短期生存率逐渐提高,但5年生存率保持相对恒定,诊断后5年生存率仅为5.8%。
组织学病因与分类
胶质母细胞瘤和其他胶质瘤被认为是由神经胶质祖细胞引起的。世界卫生组织2016年修订的《中枢神经系统肿瘤分类》对胶质瘤的分类进行了修订,除组织病理学表现外,主要是结合分子特征。针对胶质母细胞瘤的诊断来说,重要的是包括IDH突变态势的测定,从而产生不同的亚群,即胶质母细胞瘤(IDH野生型)和胶质母细胞瘤(IDH突变型)。另外一亚群,胶质母细胞瘤(未定型),是为全面的IDH评估无法进行的时保留的一种分型。
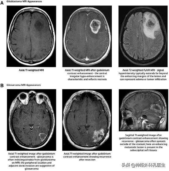
在组织学上,这两种类型的胶质母细胞瘤的特征仍然是高级别星形细胞瘤,其中包含微血管增生区域和/或局灶性坏死(图1)。

然而,在IDH野生型胶质母细胞瘤中,也存在一些特定的组织学变异。巨细胞胶质母细胞瘤包含大的、高度多形性的、多裂的巨细胞。胶质肉瘤呈交替区域,具有恶性星形细胞特征和肉瘤样间质上皮化生。最后,上皮样胶质母细胞瘤是一种新的变异,其特征是肿瘤细胞具有明显的上皮样形态。这种变异值得关注的是,携带BRAF V600E突变的比例很高(约一半)。然而,目前的治疗建议并不因组织学的不同而不同。胶质母细胞瘤和胶质肉瘤的特征性MRI表现如图1所示。巨细胞胶质母细胞瘤或上皮样胶质母细胞瘤的影像学特征不能可靠地区分这些肿瘤。

IDH-野生型胶质母细胞瘤对应于临床定义的原发性胶质母细胞瘤,其特征是新发生,没有可识别的前体病变。这个队列代表了绝大多数的胶质母细胞瘤患者(约90%),在老年患者中诊断更为普遍,并且有具侵袭性的临床过程。
相反,IDH突变型胶质母细胞瘤或继发性胶质母细胞瘤通常起源于弥漫性或间变性星形细胞瘤。这个队列代表了大约10%的患者,它主要出现在年龄中位数为44岁的年轻患者中,并且通常具有更好的预后。
除IDH突变态势外,有大量证据表明这两个亚组的发病机制存在其他遗传和表观遗传变化特征差异。如IDH野生型胶质母细胞瘤通常含有更高的表皮生长因子受体(EGFR)扩增率,TERT启动子突变和PTEN缺失。MGMT启动子甲基化,见于IDH-野生型胶质母细胞瘤的30%至50%,可能对烷基化化疗(如替莫唑胺)有良好的预后和反应。从低级星形细胞瘤进展而来的IDH突变型胶质母细胞瘤,可通过ATRX和TP53突变的存在来区分。 CpG岛高甲基化表型也可能是IDH突变型胶质母细胞瘤的一个特症,在许多位点上有启动子甲基化;这些肿瘤可能与较好的预后相关。
世界卫生组织2016年的分类还增加了一个新的IV级胶质瘤亚型:H3F3A或HIST1H3B/C K27M(H3-K27M)-突变型弥漫中线胶质瘤。它们主要发生在儿童和年轻人中,其特征是预后极差。这些肿瘤以前可能被分类为胶质母细胞瘤,但是现在被视为一个独立的实体。
治疗
多模态方法
针对大多数原发性中枢神经系统肿瘤,标准的初始治疗方法是最大限度的手术安全切除,它给出准确的组织学诊断、肿瘤基因分型和肿瘤体积减少。针对胶质母细胞瘤,根据2005年发表的关键第3阶段试验,放疗(60格雷[Gy]超过6周)与每日替莫唑胺同步进行,再进行6个周期的替莫唑胺维持。与单纯放射治疗相比,在表现良好(Karnofsky表现态势≥60)的患者中,放疗加替莫唑胺组的中位总生存期(OS)为14.6个月,而单纯放疗组为12.1个月(危险比[HR],0.63;95%CI,0.52-0.75[P<0.001])。增加肿瘤电场治疗(TTF)-低强度,应用在头皮上的用于抗有丝分裂治疗的换能器阵列在维持替莫唑胺期间提供的交变电场也延长了幕上胶质瘤患者的生存时间。第3阶段的试验表明,TTF加维持替莫唑胺治疗后,6.7个月的无进展生存率(PFS)与单用替莫唑胺4.0个月(HR,0.63;95%CI,0.52-0.76[P<0.001])。另外还有一个OS益处,两组的中位值分别为20.9个月和16.0个月(HR,0.63;95%CI,0.53-0.76[P<0.001])。
在复发的情况下,治疗方案没有明确的共识,没有既定的诊疗标准,也没有证据表明任何干预措施会延长OS。事实上,相当一部分患者甚至可能没有机会接受二线治疗。可选的治疗方式包括进一步手术切除、再放疗、洛莫司汀或贝伐单抗等全身性化疗、联合治疗或仅支持性治疗。提供了一种基于最新美国癌症综合网络指南的治疗算法,在新诊断和复发情况下,考虑年龄、症状表现和基因类型等因素也至关重要。下面将更详细地讨论这些问题。
外科治疗
安全的最大范围切除是胶质母细胞瘤手术的首要原则。虽然没有临床随机试验来确定手术的范围,但如果可行的话,通常推荐大体全切除术(GTR)。回顾性分析表明,GTR可以改善生存率,即使在老年患者中也是如此。无论分子态势如何,最大切除也可以改善患者的生存率。荧光引导下5-氨基乙酰丙酸(5-ALA)切除的随机试验的前瞻性数据也显示PFS有改善。术后增强MRI应在48小时内完成,以确定切除范围,并作为后续治疗干预的基线。针对不能进行手术或显微外科切除的情况,如医学禁忌症或病人拒绝,立体定向活检或开放式活检也是可选的。这不仅对组织学诊断,而且对进一步的分子检测也很重要,可以确定后续的治疗。
有许多术前和术中的手术辅助措施,可以用来保证手术安全,并尽量减少手术并发症。这些包括术前影像学研究,如功能性磁共振成像和弥散张量成像纤维追踪,特别是当肿瘤位于邻近或涉及语言的脑区时。有条件的情况下可开展清醒开颅术,术中可以使用皮层电极进行运动和语言定位,并且仍然可以获得良好的长期功能结果。术中5-ALA荧光引导手术也越来越多地被使用,之前提到的随机试验6个月的PFS率为46.0%,针对传统的白光显微外科手术这个率是28.3%,然而5-ALA的成本和对专用设备的需求限制其广泛使用。术中磁共振成像引导也有助于确定残余肿瘤体积和优化切除范围。同样,对与专用磁共振成像兼容的手术室设备的要求、额外的培训和成本限制了其在专业中心的使用。
在复发的情况下,如果可行,应考虑GTR,特别是在初次手术后超过6个月和症状表现良好的年轻患者中。DIRECTOR试验的亚组分析(进行性或复发性胶质母细胞瘤患者两种剂量替莫唑胺方案的比较;ClinicalTrials.gov网站标识号NCT00941460)虽然不是为回答这个问题而设计的,但它表明GTR可以提高生存率和生活质量。目前没有专门研究复发情况下手术生存获益的临床试验。
在肿瘤切除腔中使用卡莫司汀聚合物晶片在初始和复发时都是被批准的,并且可能考虑过。但是在新诊断的胶质母细胞瘤中,关于存活率的强有力的前瞻性数据是有限的,特别是在随后的标准放射治疗和伴随的替莫唑胺治疗中存在安全问题。在恶性胶质瘤患者的安慰剂对照随机试验中,复发率、生存率和毒性没有增加。然而,尤其是结合我们对胶质母细胞瘤不同分子亚群的理解进展,缺乏更新的数据。
放射治疗
长期以来,放射治疗一直被用于胶质母细胞瘤的治疗,以提高局部控制和生存率,目前仍是一种重要的治疗方法。目前,常规放射治疗术后6周内与替莫唑胺联合应用,2-Gy剂量组可达到60Gy。其他剂量方案已被研究,但没有明显的疗效。尤其是,没有分割剂量>60gy的证据。根据受照射的脑容量,加上持续化疗引起的放射性坏死风险和对关键功能结构的剂量是重要的考虑因素。例如,脑干受累或肿瘤体积很大时,1.8Gy组可使用54至55.8Gy或1.9G y组57 Gy的小剂量。肿瘤体积是根据术前和术后MRI增强扫描和液体衰减反转恢复(FLAIR)/T2序列来确定的。根据当地机构的实践,临床肿瘤的体积边界和目标体积定义的2个阶段(初级和升级体积)或1个阶段(单一体积)存在微小的变化。还研究了其他辅助或新的放射治疗技术。到目前为止,没有一个显示出优于标准分割放射治疗的疗效。
70岁以上的老年患者预后较差,是一个重要的亚组。放射治疗(大于5周,每次1.8Gy分割,总50Gy)与单纯支持性治疗相比具有明显的OS获益(29.1周对16.9周;HR 0.47;95%CI 0.29-0.76,P=0.002),但获益不大,许多老年患者可能不适合传统的长疗程放射治疗。因此,研究已经寻找了这些患者的其他替代方案。低分割放射治疗,生物等效剂量为40Gy,在3周内以2.67Gy的分割剂量进行,已经被证明可以获得相似的生存率。而且, 与单纯低分割放射治疗相比,低分割放射治疗联合替莫唑胺和辅助性替莫唑胺治疗的OS有所改善(9.3个月比7.6个月;HR为0.67;95%可信区间为0.56-0.80[P<0.001])。重要的是,两组的生活质量没有差异。甚至更短的分割计划,如34Gy中得到3.4Gy分割或25Gy组中的5Gy分割,也可以考虑,特别是在极度虚弱的患者中。然而,应当指出的是,这些试验并不包含标准的、长疗程的、同时进行化学治疗做对照。在有MGMT启动子甲基化的老年患者中,单独使用替莫唑胺而不使用放射治疗是另一种选择,下文将对此进行讨论。最后,必须认识到,年龄本身不应成为决定治疗持续时间和强度的唯一因素。在进行任何干预之前,必须结合分子参数对功能进行详细评估
在复发时,在特定的情况下,再照射是一个适当的选择。一般来说,这是留给症状良好的年轻患者的。类似于外科手术,没有随机试验显示生存获益。然而,有回顾性的证据表明立体定向放射外科(SRS)和短程低分割立体定向放射治疗的疗效有所改善,因为大多数复发发生在先前照射过的大脑SRS在该设置下的安全性在第1阶段已被证明研究:低分割立体定向放射治疗可以降低放射性坏死的风险,虽然没有直接的比较SRS。在那里不是剂量分割方案的标准,获取体积,或立体定向系统。结合再放射治疗和全身治疗,特别是贝伐单抗,也有前瞻性的探索,也有可能降低放射性坏死的发生率。
化疗
标准的一线化疗包括放疗期间的替莫唑胺(每天75mg/m2),然后再进行6个周期的替莫唑胺(每28天/1-5天/150-200mg/m2)。替莫唑胺的常见毒性包括恶心和骨髓抑制,特别是血小板减少和中性粒细胞减少,在辅助治疗期间更常见。替莫唑胺的益处可能主要是由具有MGMT启动子甲基化的患者驱动的,这种甲基化在表观遗传学上使基因沉默。MGMT对DNA修复活性至关重要,导致对替莫唑胺治疗的抵抗。因此,在70岁以上有良好表现和MGMT启动子甲基化的患者中,与辅助性替莫唑胺同时放化疗仍是首选治疗方法。目前还没有直接比较化疗和替莫唑胺单药治疗的数据。然而,在这个患者群体中(或在MGMT甲基化的低表达态势的年轻患者中[Karnofsky表现态势<60]),由于存在耐受性问题或患者偏好,在术后6个周期内单药替莫唑胺(每28天1-5天150-200 mg/m2)是一个基于先前的选择。那里长期或剂量密集的替莫唑胺治疗无效,而如此高的剂量与更大的毒性、功能和生活质量恶化有关。贝伐单抗是一种人源化的抑制血管内皮生长因子的单克隆抗体,它的抗血管生成治疗已经在两个大型随机试验中进行了研究。尽管在两个试验中延长了PFS,贝伐单抗与毒性增加相关,而在OS中没有差异。
在标准的同步放化疗和辅助化疗后,大多数患者在6个月内复发。在二线环境下,没有标准的系统治疗;然而,烷基化化疗是常用的。洛莫司汀、卡莫司汀和替莫唑胺的再激发都是潜在的选择,尽管其益处不大,而且只有MGMT启动子甲基化的患者可能获益于联合使用前卡巴嗪、洛莫司汀和长春新碱的化疗,尽管这受到更大的限制总毒性, 个别化疗药物或方案的数据质量很差,很难跨研究进行比较。早期的研究是在标准替莫唑胺出现在一线之前进行的,许多研究并不能解释我们对分子的理解,特别是对IDH突变态势的理解。
单药贝伐单抗最初获得了美国食品和药物管理局(FDA)的加速批准,基于早期的第2阶段数据显示PFS有所改善,尽管没有发现OS的益处。随后的随机第3阶段试验表明,贝伐单抗联合洛莫司汀与单独洛莫司汀相比(4.2个月对1.5个月;HR,0.49;95%CI,0.39-0.61[P<0.001])改善了PFS,但同样没有OS获益。通常,贝伐单抗单药治疗失败后推荐联合化疗。一系列的化疗,包括洛莫司汀,卡霉素和替莫唑胺,已经进行了研究。然而,没有数据显示这些方案对生存有好处。单用贝伐单抗缺少OS获益也是一个争论点,值得关注的是,它在欧洲没有得到批准用于胶质瘤。尽管如此,它可以改善生活质量,减少皮质类固醇的使用,因此有时保留给有症状患者在复发以后使用。
电场治疗
电场治疗(TTF)与替莫唑胺合用作为辅助治疗已获批准,其基础是在开放性3期EF-14试验中证明的PFS和OS的获益(NovoTTF-100A与替莫唑胺合用在新诊断为多形性胶质母细胞瘤;ClinicalTrials.gov,NCT00916409)早期3期EF-11试验(NovoTTF-100A复发性多形性胶质母细胞瘤的疗效;ClinicalTrials.gov, NCT00379470)也证明了在反复发作的情况下的疗效,虽然没有达到OS的主要起点,客观有效率为14%,而医生选择化疗的客观有效率为9.6%。实际上,TTF由4个传感器阵列组成,每天至少18小时,连接到便携式设备,全剃头后佩戴。尽管FDA已经批准,但关于TTF的证据和使用仍存在争议。特别是,EF-14试验中的非盲性和延迟随机化时间是突出的关注点。成本、治疗依从性和皮肤毒性是限制接受这种治疗的附带障碍。然而,EF-14试验的二次分析显示,除了瘙痒增加外,使用TTF对健康相关的生活质量没有影响。因此,TTF可被视为自愿和合适患者的一种选择。
支持性治疗
胶质母细胞瘤患者在整个发病过程中,无论是从原发肿瘤本身还是由于治疗的毒性,常常会出现明显的、进行性的神经症状。这干扰了日常功能和生活活动,通常是工作能力;因此,这些患者往往需要更高水平的护理和社会支持。此外,这些问题在生命末期会变得更加明显和突出。支持治疗在胶质母细胞瘤的多模式治疗中,仍然是至关重要的。
病人在疾病过程中的某个时间,癫痫发作可能性高达80%,许多病人需要长期的抗癫痫治疗,抗癫痫治疗药物使用的原则应该是尽可能减少癫痫发作最佳剂量,以避免副作用和减少药物相互作用。左乙拉西坦在胶质母细胞瘤患者中的研究最为广泛,是安全的,并且与其他常用药物的相互作用相对较少,没有癫痫病史的患者常规预防性使用抗癫痫药物是不可取的,尽管它们可能在围手术期临时使用。
皮质类固醇经常被用来减轻血管源性水肿的症状。地塞米松通常是首选的,因为它缺乏盐皮质激素活性,副作用限制了皮质类固醇的长期使用;因此,建议在最短时间内使用最低剂量的皮质类固醇。越来越多的证据表明,皮质类固醇的使用可能与短期的生存获益有关,这可能与放疗和化疗引起的基因毒性应激的保护作用有关。胶质母细胞瘤和其他高级别胶质瘤是静脉血栓栓塞(VTE)的高危因素,1年内高达20%的患者发生VTE。导致这种风险增加的因素很多,包括胶质母细胞瘤中凝血因子和凝血酶的激活增加,神经外科手术的需要,以及肢体运动受损的高比例。在麻醉诱导后24小时内开始低分子肝素预防静脉血栓栓塞,减少围手术期颅内出血的风险。围手术期后持续的抗血栓治疗也增加了颅内出血的风险,除非有禁忌症,否则静脉血栓栓塞患者通常终生使用低分子肝素,口服新型抗凝剂缺乏证据支持。淋巴细胞减少通常与皮质类固醇使用,放疗和替莫唑胺化疗等相关,因为每种治疗方式都存在造成淋巴细胞毒性。因此,尤其是在新诊断的胶质母细胞瘤发化疗期间,患者有机会感染,如杰氏肺囊虫肺炎,推荐抗生素预防。最后, 随着对胶质母细胞瘤患者及其护理人员复杂护理需认识提高,积极和早期介入姑息治疗的重要性日益得到认识。对诸如疲劳、情绪和行为障碍、认知障碍等症状的管理,以及先进的护理计划,都是提高生活质量和减轻症状负担的关键组成部分。
未来方向
尽管胶质母细胞瘤的治疗方法不断进步,但5年生存率仍低于10%,显然需要改进治疗策略,在免疫治疗和肿瘤精准治疗学等领域探索新的治疗方法也取得了实质性进展。这是由于对胶质母细胞瘤的潜在分子生物学及其与免疫系统的相互作用有了更深入的了解。与其他实体瘤相比,血脑屏障、独特的肿瘤和免疫微环境等生物因素是新疗法发展中的重大挑战。为了最终改善胶质母细胞瘤患者的预后,需要创新的临床试验设计和生物标记物富集策略。事实上,美国国家综合癌症网络指南强调临床试验在胶质母细胞瘤患者的最佳治疗中的重要性,鼓励参与可能的试验。一个详尽讨论了许多新的诊断,监测,目前正在研究的胶质母细胞瘤的治疗方法不在本文的范围内。我们鼓励读者在其他地方进一步探索关于这些主题的许多优秀综述。在此,我们强调胶质母细胞瘤免疫治疗和肿瘤精准治疗的现状和未来方向。
免疫疗法
免疫治疗已经改变了许多癌症的治疗方法,因此对胶质母细胞瘤的免疫治疗方法进行了大量的研究。中枢神经系统有一个独特的免疫微环境,长期以来被认为只是一个免疫特权位点。然而,中枢神经系统中的免疫监视和髓细胞的作用现在被认为更加复杂。例如,最近的发现揭示了与硬脑膜静脉窦平行的专用淋巴通道,使大脑中的抗原提呈细胞通过颈深淋巴结获得T淋巴细胞和B淋巴细胞启动。在胶质母细胞瘤中也表明可能有不同的癌症相关免疫抑制机制在起作用。一般来说,胶质母细胞瘤的肿瘤浸润性淋巴细胞相对较少;存在的淋巴细胞显示CD4阳性T细胞和FoxP3阳性调节性T细胞的比例增加。可诱导抑制免疫应答的信号通路,如IDO酶和STAT3信号的表达。此外,手术、放疗、替莫唑胺化疗和皮质类固醇的标准疗法可能都有免疫抑制作用,进一步强调了针对新疗法的免疫应答的机会。胶质母细胞瘤的免疫治疗方法可大致分为疫苗治疗、免疫检查点阻断、溶瘤病毒治疗和嵌合抗原受体T细胞治疗。目前研究的可利用适应性免疫系统的疫苗方法包括一种针对EGFR变异体III(EGFRvIII)的肽疫苗rindopepimut。这种突变的EGFR在高达20%的胶质母细胞瘤患者中表达。然而,在EGFRvIII阳性的患者中,随机3期试验未能显示术后给予rindopepimut的与辅助性替莫唑胺放化疗对比存在OS改善。在复发性EGFRvIII阳性的胶质母细胞瘤中,与贝伐单抗加对照组相比,rindopepimut联合贝伐单抗的随机2期试验显示了潜在的PFS获益,表明治疗或联合治疗的时机可能是重要的。基于树突状细胞(DC)的疫苗也已经开发出来,例如DCVax-L(西北生物治疗公司),利用自体肿瘤组织生成肿瘤抗原,DCVax-L联合替莫唑胺随机3期试验的早期数据很有前景。很多其他疫苗正在临床开发的早期阶段试验,目标如IDH1或多肽疫苗。溶瘤病毒疗法可能激活抗肿瘤免疫反应,而且,一种重组脊髓灰质炎溶瘤病毒PVSRIPO已获得FDA的突破性治疗认定。这是基于复发性胶质母细胞瘤PVSRIPO第一阶段试验的早期数据,该试验显示,在2年内的OS率为21%,并且在第三年持续。通过瘤内输注传递的病毒,其内部核糖体进入位点被人类鼻病毒2型取代,以消除神经毒性。由于脊髓灰质炎病毒受体CD155的细胞表面表达增加,胶质母细胞瘤细胞的摄取增强。

胶质母细胞瘤新的治疗靶点。CAR为嵌合抗原受体;DC为树突状细胞;EGFR为表皮生长因子受体
针对PD-1/PD-L1和/或CTLA-4的免疫检查点*制剂抑**的试验已经在胶质母细胞瘤中进行,尽管最初的结果令人失望。nivolumab与bevacizumab治疗复发性胶质母细胞瘤的3期试验显示OS没有改善。在本试验的探索性1期队列中,对nivolumab和ipilimumab联合用药进行了调查,结果表明,毒性增加,而且这种联合用药没有得到进一步的研究。尽管如此,在生殖系不匹配修复缺陷(dMMR)肿瘤(Lynch综合征)或微卫星不稳定性(MSI)高态势患者中,已有单独的报告对抗PD-1*制剂抑**有反应。这与FDA对患有微卫星不稳定、高态势或错配修复缺陷肿瘤(代表胶质母细胞瘤患者的罕见亚群)的患者给予培溴珠单抗的肿瘤不可知的批准是一致的。类似地,在atezolizumab(一种抗PD-L1*制剂抑**)的1a期试验中,在一位具有高突变表型的极性突变型胶质母细胞瘤患者身上发现了长期的疾病控制。
最后,用基因修饰的T细胞进行嵌合抗原受体(CAR)T细胞治疗是另一个迅速发展的研究领域,在个别病例中可以看到显著的反应。早期试验的初步结果表明,随着T细胞浸润的增加,靶向活性可能增加。然而,需要进一步的数据来了解潜在的疗效。
肿瘤精确与靶向治疗
新一代测序技术的进步使得人们能够更深入地了解胶质母细胞瘤的分子基础和基因组结构。随后确定目标和可操作的驱动基因改变有望扩大治疗方案的列表。肿瘤内异质性、克隆选择和肿瘤随时间的演变,特别是对治疗的反应,也对指导治疗的选择和排序至关重要。新的证据表明,在胶质母细胞瘤发生的早期可能出现最强的选择性压力,这突出了预先进行全面的分子分析以优化治疗的重要性。
除了免疫治疗方法外,EGFR靶向治疗酪氨酸激酶*制剂抑**(TKIs)也得到了探索。尽管早期的试验是在未经选择的人群中进行的,而且靶向效应的证据也各不相同,但它们在很大程度上未能显示出显著的疗效。抗EGFR抗体药物结合物德帕妥昔单抗mafodotin最近在与替莫唑胺联合治疗复发性EGFR扩增的胶质母细胞瘤的第2阶段试验中显示出很有希望的活性。然而,在新诊断的EGFR扩增的胶质母细胞瘤中联合标准治疗的3期试验因无效而提前终止,中期分析未视察到OS益处。
PI3K/mTOR通路在IDH-野生型胶质母细胞瘤中普遍失调,PTEN缺失、PIK3CA突变或PIK3R1突变频繁,尽管迄今为止靶向药物的试验尚未显示有效性。Buparlisib是一种pan-PI3K-TKI,在复发性PI3K激活的胶质母细胞瘤患者中显示出最小的单药疗效。但重要的是,在相关的肿瘤组织分析中发现PI3K通路阻滞不完全。mTOR*制剂抑**,如依维莫司和替西莫司,在第二阶段试验中也显示出缺乏疗效。继贝伐单抗之后,已有几项针对肿瘤微环境的血管内皮生长因子(VEGF)或多激酶TKIs试验,结果喜忧参半。塞地拉尼布,一种口服的血管内皮生长因子TKI,在一个随机的第3阶段试验中,无论是作为单一治疗还是与洛莫司汀联合治疗复发性胶质母细胞瘤,都没有显示出生存的益处。最近,雷戈拉非尼在复发肿瘤中的第2阶段试验显示,与洛莫司汀相比,雷戈拉非尼具有OS获益的疗效信号。然而,其他药物的试验,如替沃扎尼、帕佐帕尼和苏尼替尼,显示出最小的活性,并且提示VEGF单一疗法在未选择人群中的作用可能有限。
BRAF V600E激活突变存在于约6%的胶质母细胞瘤中,在上皮样胶质母细胞瘤的组织学变异中的前驱突变。vemurafenib初步研究数据显示BRAF V600E-突变型胶质母细胞瘤的活性不高。然而,联合应用BRAF/MEK抑制与达布非尼和曲美替尼,可能更有希望。在胶质母细胞瘤中,基因融合的发生率越来越受到重视,高达50%的肿瘤中有基因融合,其中约10%的肿瘤中有酪氨酸激酶结构域。这些主要包括FGFR、MET和NTRK融合,很少有EGFR、ROS1和PDGFRA融合。NTRK-TKIs,如larotrectinib和entrectinib,已经获得了FDA对含有NTRK融合的实体瘤患者的非肿瘤诊断批准,这是基于早期篮式试验中令人印象深刻的应答率。这些试验中有胶质母细胞瘤患者,亚组分析显示这些患者中使用NTRK*制剂抑**是有益的。也有许多FGFR-TKIs在开发中,并有反应的记录案例。
尽管迄今为止许多靶向治疗的试验尚未显示出显著的疗效,但使用精确生物标记物的更好的富集策略将增加未来成功的机会。加强对潜在分子生物学的理解也将指导组合方法。需要创新和新颖的临床试验设计,以提高我们评估这些新的靶向疗法的能力。
结论
胶质母细胞瘤的多模式治疗方法仍然是新诊断环境下治疗方法的基石。许多新的治疗方法在复发或进展的肿瘤中显示出良好的疗效,以期在这种侵袭性癌症患者中获得更持久的疗效。最终,这必须与改善的支持性和姑息性治疗相结合,以不仅改善生存结果,而且提高患者和护理人员的生活质量。
原文:
https://acsjournals.onlinelibrary.wiley.com/doi/full/10.3322/caac.21613