前言:脑卒中,神经科最常见的疾病,没有之一。据了解,全国大多数医院的神经内科都是以看脑血管病为主的,门诊主要是脑梗、头痛、头晕、肢体麻木等各类患者为主,病房也是以收治脑血管患者为主,可就在这最常见的疾病中,也有陷井,稍有不慎,就掉进去了......
患者,男性,57岁,右利手,推床推入病房。
主诉:答非所问1周,右侧肢体无力、言语含糊2天。
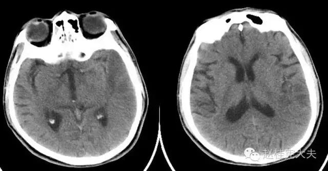
现病史:入院前1周,家属发现患者答非所问,无头痛头晕,无肢体活动障碍,未诊治,入院前2天上午出现构音含糊,晚上言语表达不出,晚上8点至**医院急诊就诊,行颅脑CT示:左侧颞叶不均匀低密度灶,考虑为脑梗死,予以“醒脑静、依达拉奉、血栓通”等治疗,次日早上家属发现患者右侧肢体活动不灵活,持物困难,言语表达困难,不讲话,当时无饮水返呛,入院前1天到我院急诊就诊,当时查体NIHSS7分(面瘫1,右上肢肌力2,右下肢肌力1,感觉1,构音障碍1,失语1),GCS15分。
既往史:否认高血压、糖尿病史,40岁左右听力降落,50岁出现双耳耳聋,开始使用助听器。吸烟?饮酒史?母亲有中风、糖尿病史。
神经系统体魄检查:神清,不完全混合性失语,双耳听力降落,查体欠合作。右侧中枢性面舌瘫,右侧上肢肌力3级,下肢肌力4级,右侧巴氏征阳性。感觉、视野查体无法配合。精神萎靡,体魄瘦削。
入院前1天的头颅CT:
入院后定位定性诊断:
定位诊断:混合性失语,定位于左侧大脑半球语言中枢(运动和感觉),右侧中枢性面舌瘫,定位于左侧面神经核团以上,右侧上下肢肌力降落,病理征阳性,定位于左侧锥体束。感觉、视野查体无法配合,暂无相应定位考虑。综合考虑,定位于左侧大脑中动脉分布范围。头颅CT:左侧颞叶片状低密度影,左侧大脑中动脉下干支配区,支持临床定位。
定性诊断:结合57岁,男性,急性病程,逐渐加重,进展性右侧肢体无力、混合性失语。头颅CT:左侧颞叶片状低密度影。脑梗死为首先考虑,左侧大脑中动脉支配区,大动脉粥样硬化型。尽管患者本人无高血压、糖尿病等危险因素,但患者母亲有中风、糖尿病史,存在家族中风危险因素,故待完善血生化及血管等卒中危险因素筛查。入院后继续急诊抗血小板、降脂稳定斑块及脑保护治疗。
入院后几天,患者讲话流利了些,右侧肢活动明显好转了,家属很高兴......
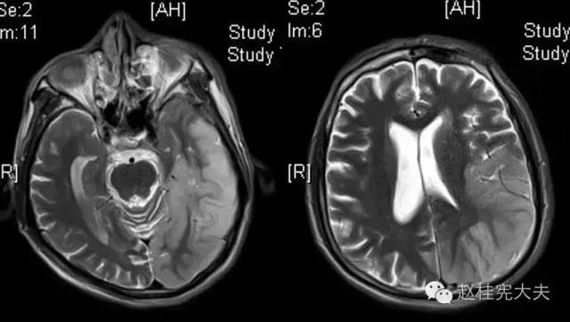
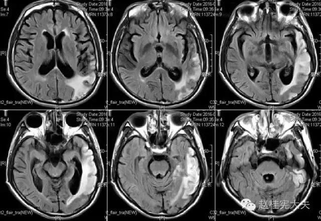
完善检查,头颅MRI回报:左侧颞顶枕叶急性梗死灶。
似乎,一切就这样顺理成章了......,但是......
当看到磁共振片子的时候,我知道,我们忽略了一些东西......




患者的磁共振影像不符合脑血管病的血供分布,跨了大脑中动脉和大脑后动脉范围,且病灶偏皮层分布。大脑前、中、后动脉血供分布(横断面)见下图

这不是一个真的“脑卒中”,而是一个“卒中样发作”。
结合患者体魄瘦削,既往无明诱因听力降落,入院后查血脂正常,血免疫指标均正常。血糖异常,HbA1C糖化血红蛋白:6.60%↑, 空腹葡萄糖:6.50mmol/L↑。患者双侧颈动脉彩超:未见动脉粥样硬化斑块。头颅及颈部CTA:均正常。CKB:242U/L↑。患者母亲身材瘦小,有耳聋、糖尿病史,因中风过世。
似乎,一切该有的,都有了,诊断来了个大逆转,线粒体脑肌病伴乳酸血症和卒中样发作(MELAS)的诊断呼之欲出了,患者此次卒中只是本病中枢神经系统损害的表现......
下一步就需要再寻找更多支持的证据了,并评估患者可能受损的器官功能了,所幸心电图无异常。
查血乳酸:2.4mmol/L ↑。
送检mtDNA检测:基因诊断: 未检测到突变位点。
调整治疗方案(具体MELAS治疗见公众号后续报道),患者症状逐渐好转.....
由于基因未检测到突变,这种情况下,MELAS的诊断就要受到很多人的质疑了......
由于线粒体基因本身的特殊性,以及线粒体基因检测的特殊性(后续再讲),我就要找到基因之外的确凿的证据了,怎么办呢?
那就随访......
1月后患者独立行走步入诊室,失语较出院时明显好转,讲话欠流利......
2月后随访,患者更换了助听器,对答好,反应明显较前灵活,言语流利......
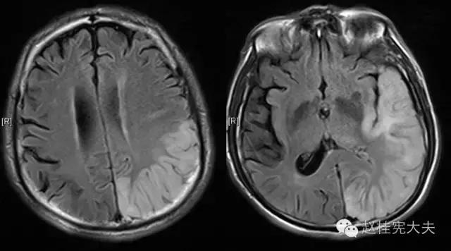
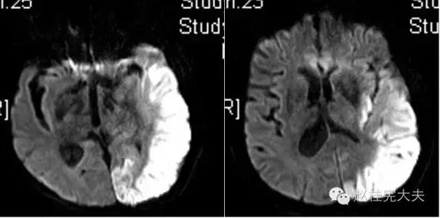
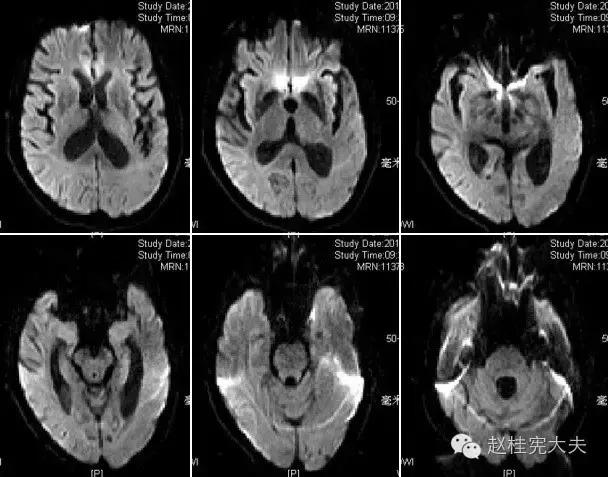
上周,于发病后2月复查磁共振:


到此为止,MELAS的诊断应该在没有基因确诊的情况下在临床上得到认可了,患者明确诊断为线粒体脑肌病伴乳酸血症和卒中样发作(MELAS),解释了患者的所有症状,患者母亲不明原因地死亡也得以真相大白,患者的相关亲属们在未来的人生路上也多了一份呵护......
而对医者,不得不感叹,行医路上处处是陷阱,稍有不慎可能就掉进去陷入万劫不复的境地,慎之慎之......
特别感谢江西中医药大学附属医院神经内科饶凯华医生的辛勤付出!
欢迎关注本公众号:cactus20150101,欢迎转发。
作者简介:赵桂宪,女,临床医学博士,2000年本科毕业于西安交通大学临床医学院。2008年博士毕业于福建医科大学后在复旦大学附属华山医院神经内科工作,长期工作于临床一线,擅长中枢神经系统脱髓鞘疾病的诊断和鉴别诊断及神经遗传变性病。同时进行多发性硬化(MS)的临床及科学研究。