接吻会传染口腔溃疡?想到这个很多人会感觉到不可思议,口腔溃疡会传染吗?

据临床医学调查显示,每次接吻会有270多种不同的细菌在结问这之间互相传播,并且其中的90%都是对人体有很大危害的细菌,很多人对其中5%的细菌都缺乏抵抗力,很容易被感染生疾病。
那么该怎么办好呢?牙博仕口腔博士陈栋指出,口腔健康,口腔清新,才能尽情的享受甜蜜接吻。其中以下6种是最容易传染的口腔疾病和病菌。看看你是不是在这些黑名单里面。

1.口腔溃疡:严重的口腔溃疡不仅仅是口腔黏膜的问题,还会导致一些口腔其他组织造成一定的伤害。临床上,严重的口腔溃疡很容易和肿瘤混合到一块。
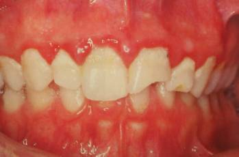
2.牙龈出血:牙龈出血,一般可以传播一些血液方便或者口腔方面的疾病,会导致牙周的黏膜破损,很容传染上病菌。比如说艾滋病毒,就很容易通过黏膜传播。

3、牙龈萎缩:尤其是牙龈灰暗色的牙龈萎缩,这些牙齿多数是牙结石过多,炎症比较严重,可能是血液系统或者其他疾病,这类患者一定要关注。
4、蛀牙:一般蛀牙的牙齿会隐藏大量的病菌。

5、口臭:口腔其实是一种症状表现,这预示着会有牙龈炎、牙周病,实际上,就是细菌大量在口腔内大量纷争,引发的一些化学物质造成的口臭。

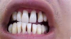
6、牙齿畸形(牙齿不齐,龅牙,歪牙):这类牙齿口腔内部很容易堆积细菌和结石,口腔内部的细菌也会比较多,但是也有关注口腔卫生的人。
上述是可能造成的问题,应该及早就诊治愈,不要把小病拖成大患。针对少年儿童,家长更应该从小培养其形成爱护口腔健康的好习惯,在换牙的时期到专业口腔机构进行定期检查,让他拥有一辈子的健康好牙齿。