点击「神经介入在线」可快速关注
背景

血流再通时间越早,临床治疗效果越好

急性缺血性卒中的治疗

案例
一般资料
》2013.1-2014.1 ;
》病例数10例,男7例,女3例 ;
》年龄为35-78岁 ;
》合并心房纤颤6例,SIE 2例,不明原因2例 ;
》DSA:大脑中动脉闭塞8例,基底动脉闭塞2例;术后造影示闭塞段血管均无狭窄,排除了动脉粥样硬化所致的脑梗死。
病例纳入标准
》年龄<80岁;
》DSA证实有与神经功能障碍对应的责任血管闭塞;
》急诊头颅CT检查无颅内明显责任梗死灶,排除脑出血或其他颅内疾病;
》发病在4.5h之内,基底动脉闭塞在12h之内;
》患者家属同意并签署知情同意书。
排除标准
》NIHSS评分≥22分;
》有出血倾向;
》2个月内有大手术或外伤史;
》有重要脏器功能障碍或衰竭;
》治疗前收缩压≥180mmHg或舒张压≥110mmHg。

方法
》右侧腹股沟区局部浸润麻醉,常规造影,发现闭塞责任血管后,将微导丝及微导管在导引导管辅助下置于闭塞血管近心端,经微导管注射rt-PA 10-30mg,10min后造影视察血管再通情况 。
》若无再通,微导丝缓慢推进通过闭塞血管,微导管跟进,造影视察闭塞血管远端血管情况,若远端血管通畅,选用取栓支架(Solitaire-AB;ev3 公司,美国)。
术后管理
》术后监测生命体征;
》复查头颅CT了解有无脑出血等并发症 ;
》阿司匹林300mg/d,氯吡格雷75mg/d,3个月后停用氯吡格雷,继服阿司匹林100-300mg/d或华法林抗凝治疗;
》调脂、脑保护、对症及中药活血化瘀等治疗。
疗效评估
》采用NIHSS评分评估术前及术后24h神经功能障碍恢复状况 。
》3月后采用改良Rankin量表门诊或电话评估患者预后。



SolitaireTM FR 适应症
#在缺血性脑卒中患者症状发作8h内通过从颅内大血管中取栓以恢复血流
#亦可用于治疗不适于接受静脉注射rt-PA治疗者
#接受rt-PA治疗失败的患者
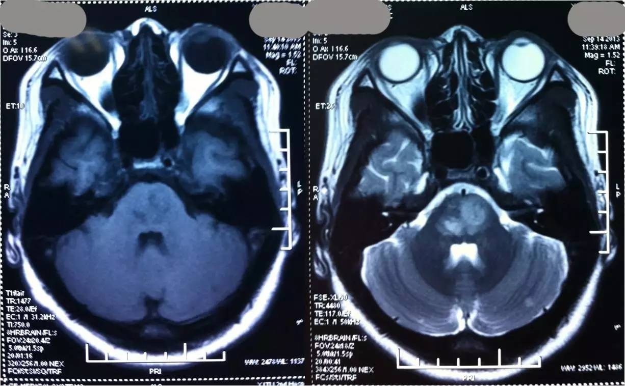
病例一

1
入院时情况
》某女,35岁,言语不清,右侧肢体无力12h ;
》急性发病,渐加重,伴一过性耳鸣、头晕 ;
》4天前解剖宫产手术;
》查体:T37.4℃,BP101/60mmHg,言语不能,双侧面瘫,张口不能,吞咽障碍,左上肢肌力3级,下肢1级,右侧上下肢肌力0级,上肢肌张力减低,下肢增高,双侧病理征阳性,脑膜刺激征阴性;
》头颅CT未见异常。
2
化验结果
》TC 6.46mmol/L,HDL 1.03mmol/L,LDL 4.90mmol/L ;
》TG 2.74mmol/L;
》WBC 9.16×109/L, N 82.01%,PBL 318×109/L;
》FIB 433mg/dl。



3
术后情况
》呼吸平稳,口腔分泌物减少,吞咽功能改善。
》能简单回答问题,左侧肢体肌力4级。
>>术后1天

>>预后
出院情况:
右侧中枢性面、舌瘫,右上肢肌力1级,下肢3级,左侧肌力4级,右侧偏身痛觉减退,右侧病理征阳性。
60天及90天预后:
mRS评分1分; mRS评分0分。
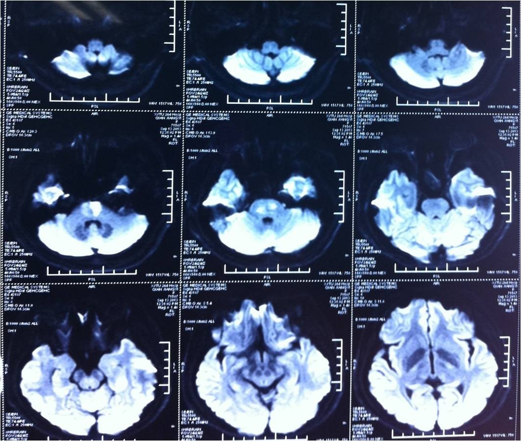
病例二
》男性,47岁,SIE;
》UCG:主动脉瓣关闭不全,赘生物;
》突发言语不能、右侧肢体活动不能;
》查体:运动性失语,右侧肌张力低,右侧肌力0级,右侧巴氏征阳性 。NIHSS评分18分;
》CT:颅内未见出血;
》DSA:左侧大脑中动脉闭塞。
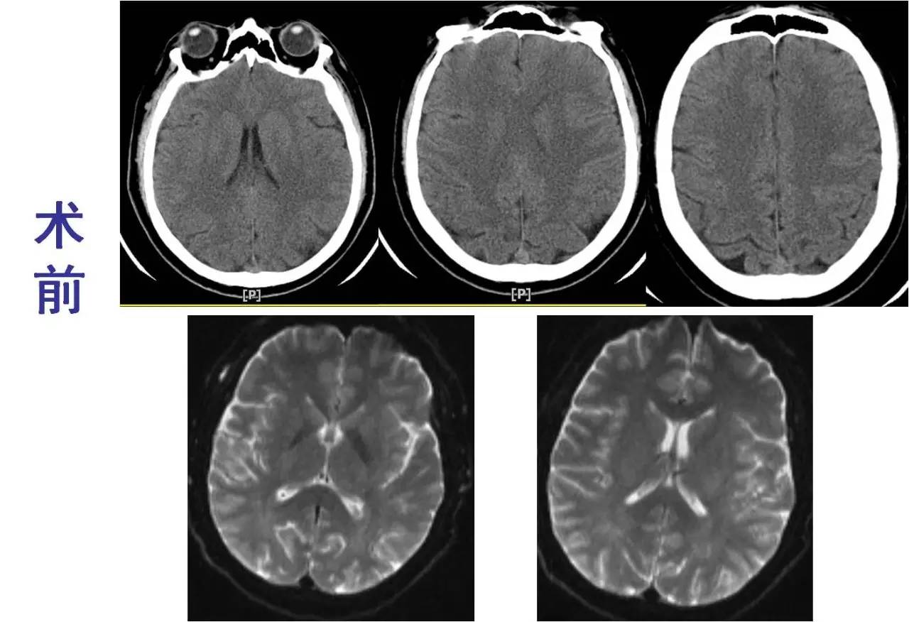
2
术前

3
术后


》意识清楚,言语流利,四肢活动自如;
》四肢肌力Ⅴ级;
》术后24小时NIHSS评分:0分;
》5天后主动脉换瓣术;
》90天mRS评分0分。
大脑中动脉闭塞动脉溶栓
#发病6h内由大脑中动脉闭塞导致的严重脑卒中且不适合静脉溶栓的患者
#经过严格选择后可在有条件的医院进行动脉溶栓(II级推荐, B 级证据)。
中国急性缺血性脑卒中诊治指南2010
文献回顾



取栓治疗何去何从?
mechanical embolectomy in cases of troke due to infective endocarditis manifesting with major neurologic deficits is a subject of controversy and needs additional clinical experience and evaluation in a randomized trials.
取栓治疗对脑梗死所致严重神经功能障碍的疗效需要:
#进一步的临床经验积累
#高质量的随机对照研究
神经介入中心展示
135编辑器
135编辑器提供非常好用的微信图文编辑器。可以随心所欲的变换颜色调整格式,更有神奇的自动配色方案。

