8月25日,郴州市第四人民医院骨科主任谭宜昌及其团队成功为一僵直膝患者实施了膝关节置换手术,术后患者恢复良好。这是郴州市第四人民医院首次独立实施此项手术,填补了此前的空白,标志着该院骨科治疗水平跃上了新的台阶,处于全市领先水平。
现年61岁的患者谢某,5年前开始出现左膝关节疼痛,上下楼梯、负重及下蹲站起时疼痛尤为明显,近1年来逐渐出现膝关节屈伸活动受限,直至膝关节僵直,曾奔走多处就医均未达到满意的治疗效果,谢某听说自己的病到了这个程度只有做关节置换的大手术才能解决问题,可是以往这样的手术都要到大城市的"三甲”医院才能做,而那样的医院床位非常紧张,而且治疗费用高,也非常的不方便。
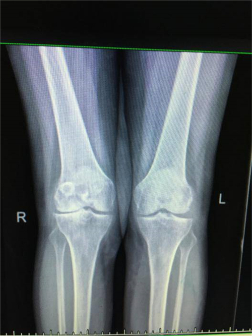
得知郴州市第四人民医院骨科掌握了这一手术技术,便前来就诊。谭主任接诊到该患者后,对其进行了详细的体魄检查,发现其左膝关节僵直,屈伸活动不能,负重时膝关节疼痛明显加重,膝关节X线片提示膝关节退变严重,关节间隙明显变窄,并有游离体形成,诊断为左膝关节重度骨关节炎并关节僵直,有明确的膝关节置换手术指征。
经过与家属的耐心沟通,谭宜昌主任及其团队决定为谢某实施膝关节置换手术。8月25 日上午,谭主任及其团队历时90分钟,成功为患者实施了膝关节置换术。术后患者的膝关节畸形矫正,膝关节稳定性也已恢复,膝关节功能明显改善。出院时谢某脸上洋溢着满意的笑容,说非常感谢谭主任团队把折磨自己多年的疾病给治好了。

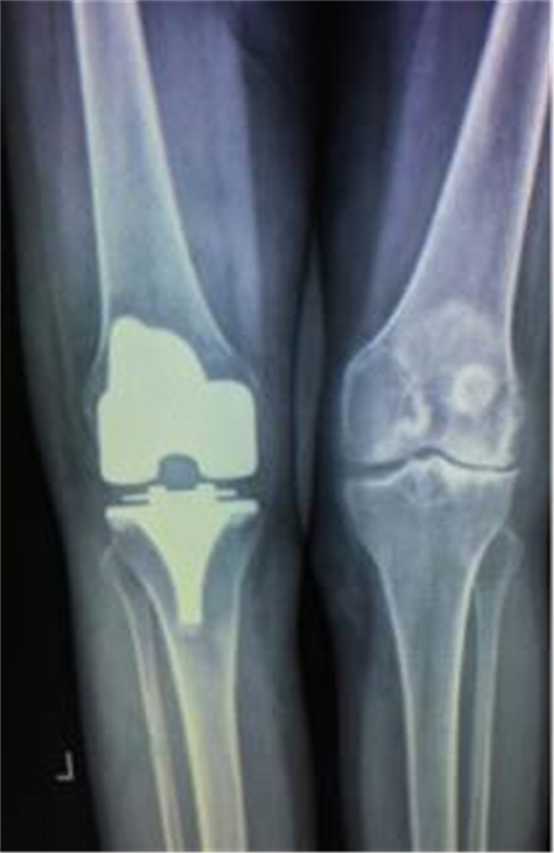
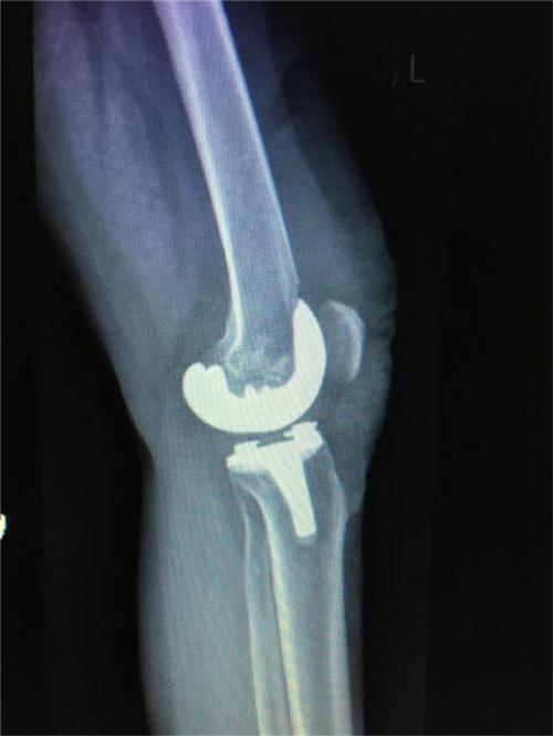
术前X线

术后X线
谭主任介绍说:膝关节置换术是目前治疗严重膝关节疾患最行之有效的方法,能矫正膝关节的严重畸形,使膝关节稳定性恢复,膝关节功能得以改善,进而使膝关节疼痛得以解除,特别是针对膝关节僵直的患者,膝关节置换是避免疾病致残的重要治疗手段 。随着科学技术的不断发展与医学的不断进步以及人们对生活越来越高的要求,越来越多的患有严重膝关节疾患的患者选择了膝关节置换术。经过几十年的发展,膝关节置换在技术上越来越成熟,随着材料科学的发展,膝关节假体的改进,膝关节假体也越来越适合人体,使用寿命也越来越长。
患者谢某说:以前要治这个病还要到北京、上海、广州的大医院,来回折腾花钱不说,耽误的时间也长。现在在家门口就能做手术,省钱又省心,真是方便多了。
由于我国人民的人均寿命不断延长,老年人口日益增多,而膝关节疾患好发于老年人,严重影响了老年人的健康和生活质量,因此,受此病痛折磨的人越来越多。第四人民医院此例手术的成功实施给患者提供了极大的便利。谭主任希望通过自己和团队的努力,能为社会上更多患有此类疾病的患者提供治疗选择,摆脱疾病的困扰。