点击「神经介入在线」可快速关注
作者姓名:李轶
作者单位:上海交通大学医学院附属新华医院
病例信息
患者男性,60岁,突发昏迷2.5h入我院急诊,查体昏迷,烦躁,刺激后四肢可见活动,双瞳孔等大对光反射迟钝。既往有高血压和吸烟病史,无房颤病史。
治疗经过
接到会诊通知,结合患者症状考虑椎基底动脉病变,未静脉溶栓直接进导管室造影,结果如下。
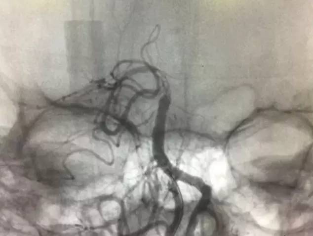
▼左锁骨下动脉造影显示左椎动脉闭塞,椎动脉V3段通过肌支代偿见返流。

▼右椎动脉造影见基底动脉末端闭塞。双侧颈内动脉造影无殊,双侧后交通未见显影。

通过造影明确病变为基底动脉末端闭塞,机制?
1:左椎动脉急性闭塞同时血栓脱落远端栓塞?
2:左椎动脉是陈旧性闭塞,闭塞末端血栓脱落或者基底动脉原位血栓?
问题焦点是左椎动脉是否是急性闭塞,这直接决定开通策略不同:如果是急性闭塞那么先开通左椎再开通基底,如果不是那么就直接开通基底。根据片子很难准确判断左椎是否是急性闭塞,纠结后决定直接去开通基底:椎动脉长段闭塞而且肌支代偿很好,应该是陈旧性闭塞可能大,尽快开通基底为患者争夺时间。
▼支架释放后,右大脑后及小脑上显影同时看到基底动脉的血栓,拉栓一次就再通。



此时手术是否结束?内心又开始纠结了,贪心的本性又暴露,如果左椎是急性闭塞那么打通之后给患者又多加一个保险,这样以后万一右椎有什么三长两短那么左椎还可以救命所以决定开通左椎:费了好大劲通过微导丝进入椎开口内,向上不能通过闭塞段考虑为陈旧性闭塞,遂即放弃开通!术后欣慰宁维持!

患者发病后三个半小时再通,现在恢复相当好,神志清楚、对答切题,四肢肌力正常!
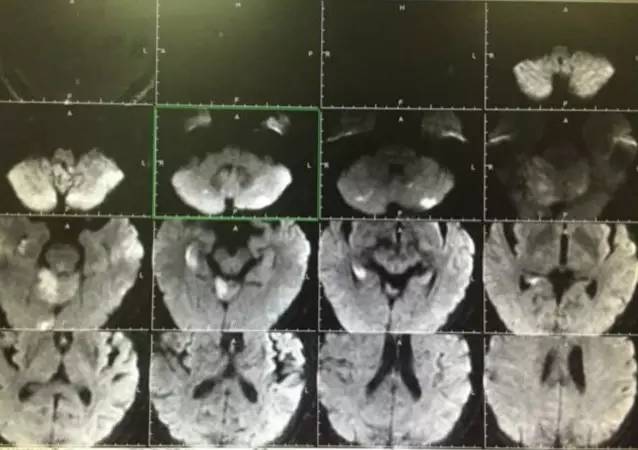
▼术后复查头颅MRI显示小脑蚓部及小脑半球有散在的梗死灶,脑干未见梗死。头颅MRA显示后循环血管通畅。


▼有这样的结果那么病人恢复也一定是很满意的,术后3天患者完全恢复正常无任何神经缺失症状。

病例小结
关于这个病例有很多值得讨论的地方:
1、一侧椎动脉闭塞同时伴有基底动脉急性闭塞的病例不少见,针对这样的病例鉴别椎动脉是否是急性闭塞是焦点也是难点,决定着手术策略。如果是急性闭塞我会考虑先开通椎再开通基底,因为开通基底后再去开通椎会有血栓脱落再次造成基底或分支栓塞的可能而且这些栓子都是小栓子再取困难,或者先开通基底再通过对侧椎放伞保护后再开通椎动脉也可以,但操作太复杂。另外直接开通基底而不去开通闭塞的椎也是一种选择,这个要术者结合自己的经验和设备决定!
2、该患者通过尝试证明左椎闭塞为陈旧性,针对肌支代偿好(发病2.5h,肌支应该没有那么快代偿),返流充分同时闭塞长度偏长的提示是陈旧性闭塞,作为术中判断参考。
3、术后是否使用欣维宁会引起很多争论,大家意见不一致。针对本例虽然没有明显狭窄而且基底动脉闭塞机制不明确,考虑到左椎闭塞很有可能再次血栓形成脱落或者基底动脉原位血栓形成不能排除,个人经验欣维宁非常安全至今没有出血发生,所以抗血小板更加积极直接上了欣维宁,个人经验供大家参考。
神经介入中心展示
135编辑器
135编辑器提供非常好用的微信图文编辑器。可以随心所欲的变换颜色调整格式,更有神奇的自动配色方案。

