
一般情况
创伤是四十岁以下死亡的主要原因。
创伤死亡中腹部外伤占 10%。
腹部创伤CT表现情势:
1、腹腔积液
2、增强对比剂外溢——提示活动性出血
3、裂伤: 线形或斜行区
4、血肿: 椭圆形或圆形区
5、挫伤: 模糊的低密度影
6、气腹
7、器官全部或部分血运中断
8、包膜下血肿

闭合性腹部外伤的非手术治疗
50%脾损伤 、 80%肝损伤和几乎全部肾损伤均可采取非手术治疗
实践证明非手术治疗腹内脏器损伤有较好的效果
CT不仅可以用于闭合性损伤的初诊同时也用于对非手术病人的随访
CT具有较高的分辨率,可用于外伤的排查,有着重要的诊断价值
患者无须特殊准备
CT 广泛地用于穿透伤检查并可作为手术评估
创伤分类
钝器伤(闭合性损伤)
穿透伤(开放性损伤)
闭合性损伤CT检查方法
一般性损伤,患者于门静脉期扫描整个腹部,随后延迟3-5 分钟扫描,损伤早期可得到诊断。
无须口服对比剂
开放性损伤CT检查方法
穿透伤患者大多数为侧面受伤,易导致肠道穿孔。
判断急诊手术的适应症,在初次CT(增强)检查后让病人口服对比剂(50 毫升对比剂 1000 毫升盐水中) 后再次扫描。
对单纯左侧腹腔损伤, 可以给500毫升,其他所有情况, 都给1000毫升
四. 膀胱损伤
病例1
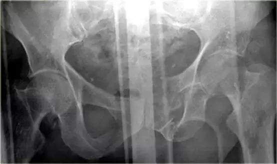
男, 65 岁,汽车撞伤,失去知觉约 2 分钟。导尿管引流出血尿。
骨盆X线示耻骨骨折,膀胱区见游离骨片。

对骨盆外伤骨折病人应如检查?
该类病人存在盆腔动脉损伤及血肿形成,以及直肠、阴道、膀胱损伤的危险。
因此在常规CT(增强)检查之后需要加做膀胱造影 CT检查。
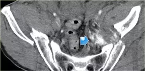
同一病人的CT常规增强检查

结果
有一个指向膀胱的骨盆骨折碎片。
膀胱直肠隐窝积液。
10%骨盆骨折伴有膀胱破裂。
最初认为膀胱破裂都是由骨盆骨折引起,但现在知道只有1/3的膀胱破裂是因为游离碎骨片造成的,另外2/3是由于剪切伤作用于膀胱造成破裂。
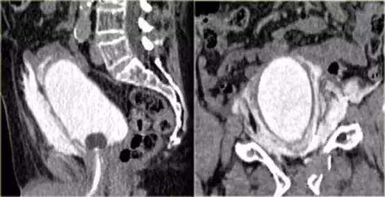
膀胱造影前后CT对比图像

膀胱中导尿管有对比剂, 膀胱直肠隐窝中也有渗出的对比剂。
‘磨牙征’ 提示腹膜外膀胱破裂。
补充知识:膀胱破裂示意图

矢状和冠状重建图像

对比剂没有向腹腔内蔓延,膀胱CT 造影敏感性和特异性较高,关键是膀胱充盈要好
膀胱造影CT检查方法
首先要排空膀胱,减少尿液和肾脏排泄的影响。
对比剂与口腔或直肠对比剂配比相同(即 1 L生理盐水中 加入50 ml 对比剂) 。
通过导尿管注入对比剂,满足下列三项之一即停止:
1.对比剂袋在病人上方40 厘米停止流入
2.对比剂注入量350-400ml
3.病人不能耐受
病例2

讨论
1、外伤患者在膀胱造影前常规扫描很重要。
2、对上面的病例是否需要进行膀胱造影检查?
如果该患者一开始就进行膀胱造影检查,则很难判定高密度影是膀胱破裂渗出的对比剂还是活动性出血。
3、因为此患者还没做膀胱造影,所以很明显这是动脉出血。较多的出血说明患者需要立即进行介入栓塞治疗。