英国伦敦的一名牙医向大家分享长期饮酒对人牙齿影响的照片,医生呼吁人们重视牙齿的健康状况。

现年47岁的克里斯托弗·奥尔(Christopher Orr)博士分享了一些照片,这些照片中患者的牙齿因酗酒而严重受损。
(以下图片可能引起不适,请谨慎选择观看)

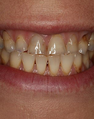
▲长期饮酒后对牙齿造成的“灾难”

▲一位47岁女性因经常饮酒而造成牙齿腐蚀、变短
奥尔博士说,最大的罪魁祸首是酒,如普罗塞克、香槟和白葡萄酒等, 而调制酒的伤害可能更大,如将酒和可乐调制,酒含有酒精、糖和酸性物质,其中酸性物质可以软化牙釉质,多种物质混合会对牙齿形成多重打击。

▲长期饮酒后造成牙齿烂掉

▲呈糜烂态势的牙齿

▲一位32岁长期饮用碳酸饮料女性的牙齿,它们已经被腐蚀了
葡萄酒的种类繁多,它们的pH值各不相同,但通常酸性最大的是白葡萄酒。

▲长期饮用酒精的牙齿,下部已经腐蚀不平整
针对这一状况,奥尔医生提出了有效保护牙齿的建议,例如使用吸管,这样可减少这类饮料与牙齿的接触;用一口水冲洗口腔,有助于减少口腔中的酸度。
尽管节假日难免应酬饮酒,但是还是尽量保护我们的牙齿免受损害,笑起来更明眸皓齿!
(芒果可可)