广西首例!南宁市第一人民医院成功完成国产OCT应用指导冠脉介入治疗
12月7日,南宁市第一人民医院心血管内科首次应用国产光学相干断层显像(OCT)为两名患者进行冠脉介入治疗,手术效果良好!
该技术是南宁市第一人民医院继2016年开展血管内超声(IVUS)检查后新开展的血管腔内影像技术,填补了广西市级医院心脏病领域OCT技术应用的空白,标志着南宁市第一人民医院冠脉介入诊疗技术全面进入精准治疗新时代。
病例一
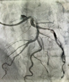
杨某,男,68岁,“因反复胸闷一周”入院,入院后行冠脉造影术,透视下见冠脉严重弥漫性钙化,右冠中段闭塞;前降支近段到中段严重95-99%弥漫性狭窄,病变处发出粗大第二对角支,第二对角支开口到近段95-99%弥漫性狭窄,属于真性分叉病变伴严重钙化;回旋支近段80%弥漫性狭窄,发出丰富侧枝循环供应右冠。患者命悬一线!刘杰主任率先对前降支分叉病变预处理后,在OCT指导下完成了分叉支架手术(culottes),术后OCT结果显示分叉支架贴壁良好,术后患者胸闷立即改善。

钙化及分支血管

最小管腔

术前

术后
病例二
黄某,男,39岁,“因反复胸闷,心悸10天”入院,上周冠脉造影提示左回旋支近段99%局限性狭窄,右冠近段30%狭窄(可疑不稳定斑块),上周对回旋支病变植入一枚支架,但右冠病变是否需要处理仅凭造影不能明确。今日行OCT检查,提示右冠近段病变实际上为冠脉夹层伴有菲薄的脂质纤维帽,在OCT指导下,顺利为患者病变处植入一枚支架,术后OCT结果显示支架贴壁良好,夹层消失,术后患者胸闷明显改善。

薄纤维帽

冠脉夹层

术前

术后

刘杰主任团队在手术中
OCT和IVUS各自具有自身的优势。
OCT在识别、支架贴壁、支架的内膜撕裂,以及内膜对支架的覆盖、斑块性质的判断以及薄纤维帽的识别方面是目前最优的方式。但OCT的问题是穿透深度较短,只有1到2毫米。而IVUS分辨率较低,但其穿透深度可达到4到5毫米。
新一代OCT成像系统FD-OCT最大的优点是更高速度的扫描,每秒种的扫描帧数为100帧,回撤速度大于20mm/S,每次操作只需注射一次造影剂就可完成冠脉血管的成像,提高了操作安全性。OCT可清晰显示内膜下的病变和斑块,识别易损斑块、稳定斑块、血栓、钙化、夹层、支架及支架表面的内膜增生和支架内再狭窄,因此在评价斑块的性质、介入治疗的指导、再狭窄机制临床研究和疗效评价方面,有着独到的优势和应用价值。
来源:南宁市第一人民医院