“妈妈,我的脚好痛。”
“是生长痛,滑膜炎,还是缺钙了啊?”
在小儿骨科门诊,常遇到因“脚痛”来就诊的小朋友。上周二,11岁的涛涛被爸爸妈妈带着来到我院韩镜明主任特诊。妈妈焦虑地讲述孩子的病情——
医生啊,您看看这孩子,经常喊脚痛、膝盖痛,都有好几个月了,您给检查一下,这到底是怎么回事啊?

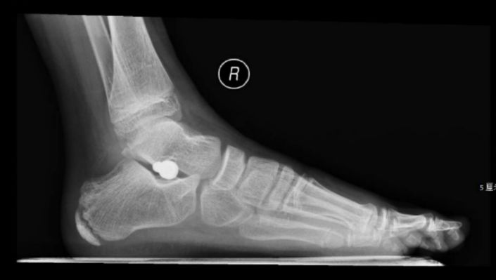
医生详细问了病史,检查了涛涛的双下肢,没有发现关节畸形,关节被动活动也没有疼痛,再看涛涛之前查过骨代谢的检查没有异常,但是关注到小孩站立时双侧足弓扁平,考虑孩子是平足症。
给涛涛拍片后,证实了小孩双足骨骼角度异常,涛涛的脚痛可能是平足症引起。
涛涛妈妈听后,有点疑惑:平足症?平时只知道扁平足,这个跟平足症有什么关系吗,而且小孩爸爸也是扁平足,但他不会说脚痛啊!
涛涛妈妈的疑问,
可能很多家长都会有。
扁平足是不是就是平足症?
需不需要接受治疗?
今天就来和大家科普一下什么是平足症,
什么是扁平足吧。
什么是扁平足和平足症?
这是正常的足底——

(图片来源于网络)
☝正常足弓有一定弧度,内侧明显,称为内侧纵弓,有分散足底负荷并减轻震荡的作用。
扁平足和平足症是怎么样
扁平足是指各种因素导致的足弓塌陷或消失,严重的还有后足跟外翻及前足外展的表现。
在临床上,我们把扁平足分为柔韧性扁平足和僵硬性扁平足。
• 柔韧性扁平足指在站立负重时,足弓变浅或消失,在足不负重时,足弓正常。
• 僵硬性扁平足则是无论有无负重,足弓都存在塌陷或消失的情况。
那什么是平足症呢?少部分柔韧性扁平足及僵硬性扁平足因为足底不正常受力、踝关节或距下关节不稳定,出现疼痛或行走不适症状时称为平足症。

(图片来源于网络)
为什么会发生扁平足?
扁平足与很多先天性或后天性的因素有关。例如婴幼儿因为足底脂肪垫较厚,会表现扁平足,这种属于生理性的扁平足,随着学步后正常足弓会逐渐形成。
扁平足也跟性别、体重、家族遗传史等因素有关。男孩、体重超重或者家族里有扁平足病史的儿童出现扁平足的可能性更高。
另外有些人存在一些误区,认为光脚行走或走路太多会引起扁平足,但这些说法并没有科学根据,
相反,有统计表明习惯光脚的小孩比习惯穿鞋的小孩出现扁平足的几率更低。
某些扁平足是炎症、自身免疫或神经病变等因素引起的。
扁平足加重会发展成平足症么?
不一定会!
因为生理性的原因,几乎所有18个月大以下的婴幼儿及大部分6岁以下的小孩会有扁平足,其中大部分属于柔韧性扁平足,并没有任何症状,随着足部发育,足弓形成,将慢慢由扁平足变为正常足。

有部分孩子扁平足会一直存在,不会出现症状,但也有一部分孩子会逐渐加重发展成平足症。
遗憾的是,目前还没有找到扁平足发展成平足症的根本原因,暂时也还没有临床或者影像学检查可以预测。
体重超重与扁平足有些相关性,所以说如果要预防平足症,那么关注监测BMI,控制体重是一个可能有效的方法。
扁平足的危害是什么?
平足症患儿因为没有足弓良好的支撑和缓冲,行走或奔跑时身体所受冲击力增大,活动时间长就会引起脚痛或膝盖疼痛。
如果不及时治疗,会导致骨骼畸形、跖骨应力性疲劳性骨折、退行性关节炎等并发症,晚期甚至会引起骨盆倾斜、脊柱侧弯等,影响正常生长发育。
如何干预治疗?
平足症需要临床干预。
单纯柔韧性扁平足需要根据小孩年龄、程度、合并症等因素决定是否干预治疗。
临床如何治疗,将根据病情采取轻重不同的方法,症状较轻的,先考虑功能锻炼或者矫形鞋垫等保守治疗。若经过保守治疗症状没有好转或者加重,那就需要考虑手术治疗。
1.功能锻炼

(图片来源于网络)
☝柔韧性扁平足及症状轻微的平足症可以通过踮脚、足趾抓持等方法锻炼足部肌肉,有利于恢复足弓
2.矫形鞋垫或矫形鞋

(图片来源于网络)
☝矫形鞋垫可以改变足底负力点,调节足骨骼排列,对平足症有部分改善作用(图片来源于网络)
3.手术治疗
经过功能锻炼、矫正治疗等症状无好转或继续加重,年龄8-12岁或以上的患者则需要手术治疗。
手术方式有肌腱转位、跟骨截骨、关节融合、关节制动术等,但传统手术方式创伤大、失败率高、并发症多、恢复时间长。
深圳市儿童医院骨二科韩镜明主任市内率先开展儿童经跗骨窦HyProCure螺钉置入距下关节制动术,可有效复位并稳定距骨,维持足弓,与传统手术相比,有简单安全、创伤小、手术时间短、效果确切等优点。
HyProCure螺钉是新一代的距下关节稳定器,通过在足外侧一个长约1.5-2.0cm的小切口,置入跗骨窦内,改善后足外翻及前足外展,抬高足内侧纵弓,创伤小,不需要再次手术取出。

如果怀疑小孩扁平足,
家长可以预约
深圳市儿童医院骨科专科专科就诊,
交给医生诊断,
避免孩子病情加重,
早诊早治是关键哦。
输
专家简介:
韩镜明,男,主任医师,毕业于武汉同济医科大学儿科系(现华中科技大学),毕业后在武汉市儿童医院及深圳儿童医院共从事小儿外科工作三十余年,擅长小儿骨科疾病,如先天性和后天性畸形,各类创伤,骨延长术-肢体延长,外固定技术、矫形肢及治疗平足症、外翻足、O形腿、X形腿。 曾任武汉市残疾人联合会理事,现担任广东省小儿外科学会委员、广东省小儿骨科学会委员、深圳市中西医骨科学会会员、深圳网上医院小儿骨科专家,在国家级杂志上发表论文20余篇,获得武汉市科学技术成果证书。主持并参加深圳市市级课题二项。
预约挂号
深圳市儿童医院骨二科专科介绍及医生出诊详细信息

今天检查你家娃的小脚丫了吗?检查了就点个赞
