来源:甄理 史克牙医汇

随着人们社交的增多,以及对自身健康日益关注,口气(口臭)成为许多人共同的烦恼。口气该看什么科呢?就诊前弄清楚下面几个问题,便心中有数。
口臭是否为心理作用
我们常说的口臭,或口气,指与近距离接触或交谈时呼出的令人不愉快的气味,这些不良气味主要由细菌产生的挥发性硫化物构成。大多数自觉有口臭的人为真性口臭,即他人能够感受到呼气时的异味。
约30%的人自觉有口臭,但仪器和他人无法检测到异味,称为假性口臭;极少数人在无法检出口臭的时候坚持认为自己有口臭,称为“口臭恐惧症”。
小结 : 若您自己觉得呼气有异味,不妨询问身边的人是否能感受到到异味。
分辨生理性和病理性口臭
呼气异味可以是生理性或暂时性的,也可是病理性的。生理性口臭由于晨起或饥饿等情况下,唾液分泌减少,口腔活动减少,细菌数量增多,产生更多异味,这一类口臭可以通过进食和刷牙缓解。
暂时性口臭的常见原因包括:
1. 饮食(大蒜、葱、萝卜)、吸烟、饮酒

2. 服用药物(甲硝唑)
3. 妇女排卵日及月经前后病理性口臭则是指持续的呼气异味,没有明显诱因,持续数月至数年。
小结 : 晨起、饥饿、口渴、进食特定食物或药物后发生的短暂口臭属于正常情况,刷牙和进食可缓解。找到病理性口臭来源80%~90%的口臭来自口腔。目前一致认为,舌苔和牙周病是口臭的主要原因。

舌头表面凹凸不平,非常适合细菌生长,舌头上停留的食物残渣和脱落细胞经过细菌分解,代谢产物发出异味。刮除舌苔能减轻由于舌苔导致的口腔异味。

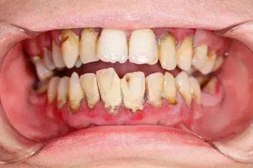
牙周病是口臭的第二位原因,表现为刷牙出血,牙齿不得劲,牙齿松动等。彻底洁刮治(洗牙)配合抗菌药物治疗能减轻牙周病导致的口臭。

其他口腔问题,包括蛀牙、不良修复体(烤瓷牙等)、食物嵌塞(食物卡牙齿)、长智齿等,都可能造成口腔异味,需要口腔医生检查排除上述问题。
4%~10%的口腔来自口腔以外。

少部分人口臭来自身体其他部位或系统,通过口腔呼出。
引起此种情况的原因基本包括:
呼吸系统疾病:慢性扁桃体炎、鼻炎、鼻腔异物等
胃肠系统疾病:反流性食管炎、幽门螺杆菌感染等
代谢异常:糖尿病
若您曾确诊此类疾病,口臭也可能由上述疾病导致。针对口腔外来源的口臭,需要内科、耳鼻喉科医生会诊治疗。
小结 由舌苔过厚引起的口臭可通过清洁舌苔缓解;若口臭伴有刷牙出血,牙齿松动,则需要到口腔医院牙周科进行洁牙治疗;其他口腔问题及口腔外来源的口臭,口腔医生问诊和口内检查后,下达进一步检查及处置意见。
本文为史克牙医汇委托好牙医约稿内容,作者甄理,转载请注明出处。