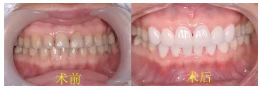
牙齿贴面是牙齿美白修复的一种技术,牙齿贴面修复就是在染色牙表面粘贴一层近似正常牙色的材料,用以美白或修复。这项技术已被口腔医学广泛运用,颇受消费者追捧。

贴面的分类
树脂贴面
直接用树脂在患者口内制作的贴面,其最大的优点是方便、快捷、迅速。可以快速改善患者的前牙美观。针对前牙氟斑牙、轻度四环素牙、过小牙、牙间隙、外伤牙部分缺损等情况,如果患者短期内无法接受瓷贴面以及超瓷贴面的费用,不失为短期改善美观的过渡性修复体。间接贴面修复 主要采用陶瓷或硬质复合树脂类材料在模型上制作完成。间接贴面的制作不受椅旁操作时间限制,故可在口外进行充分地修形、调改和磨光,其修复效果常常优于直接贴面。
瓷贴面
瓷贴面是应用粘结材料将薄层人工瓷修复体固定在患牙唇面以遮盖影响美观的缺损变色等缺陷的一种修复方法。其作为一种保存性修复治疗手段,近年来广泛用于临床,尤其适于对年轻恒牙、髓腔较大的前牙进行牙齿美容修复。瓷贴面具有颜色美观、备牙量少、抗液体吸收、生物相容性好、抗磨损、牙周保健及粘结牢固可靠等优点。瓷贴面根据制作方法和材料不同可分为三类:传统烤瓷贴面、铸瓷贴面及CAD/CAM机加工瓷贴面。
硬质贴面
这种技术也叫硬质树脂贴面、超瓷贴面、类瓷贴面。牙齿美白贴面的材质是在树脂中加入了大量的瓷粉颗粒,这样不但提高了树脂的耐磨程度,也可以极大的提高树脂的美观性能。在其临床操作过程与瓷贴面类似。
贴面的优点
1、安全
磨除牙体组织少。瓷贴面磨除牙体组织少,有些情况下甚至不要磨除牙体组织,这样可以保存大量的牙体组织,不需要杀神经,基本上控制了术后牙髓炎症、坏死等全冠修复的后遗症,可以保持天然牙齿长期的健康。
2、美观
仿真效果好。瓷贴面仿真的美容效果,具有与天然牙体组织相同的光学特质,不含有任何金属成分,表现出最佳的美学效果,不会出现烤瓷牙常见的牙龈黑线现象。瓷贴面制作时有多种不同颜色的瓷块可选择,同时可以采用外染色进行颜色细调。临床黏结时有多种不同深浅颜色的黏结剂和白色遮色剂可以用来辅助调整瓷贴面的颜色,以达到整体协调的美容效果。并且瓷本身的高耐磨性和不着色可以使瓷贴面达到永久的美白效果。

3、健康
对牙龈刺激小。瓷贴面具有极好的透光性,牙体预备时可以平齐牙龈即可,这样有利于保护牙龈及制取印模和粘结瓷片。与牙龈相衔接的区域也仅在唇侧,对牙龈的刺激更小。更不会有金属烤瓷牙的金属离子导致的牙龈变色。烤瓷冠的硬度大于牙釉质,可造成对颌牙的磨损。而瓷贴面的硬度稍低于牙釉质,可以有效保护对颌牙。
4、舒适
无口腔异物感。传统烤瓷牙修复需要磨除舌侧的天然牙齿,而舌侧的牙体通常都是健康的,并且与舌、对合的牙齿处于最协调的态势。即使是最好的金属烤瓷牙也不可能恢复到以前天然牙齿的态势。瓷贴面修复基本不需要磨切牙齿的舌侧部分,可以保存大部分甚至全部舌侧的形态,有效的保护了对颌牙,同时舌头接触到的仍然是未被破坏的天然牙齿,触觉自然、舒适,避免舌头与传统烤瓷牙接触时的“异物感”。所以,瓷贴面具有良好的舒适性。

牙齿贴面,因人而异
牙齿贴面,并不是每个人都适合的。到底哪些症状可以使用牙齿贴面修复呢?
1、牙缝稀疏,牙间隙过大但咬合正常的患者,可以做牙贴面;
2、针对变色牙、四环素牙、氟斑牙等色素牙的患者,可以选择牙齿贴面美白技术;
3、牙齿有轻度缺损的,可以运用此方法恢复原来的牙。
牙齿贴面也有它所禁忌的人群,应该引起大家重视:
1、没有足够牙釉质;
2、上颌牙严重前突、严重唇倾;
3、牙齿严重不齐;
4、重度深覆颌、唇面严重磨损无间隙;
5、有不良口腔习惯。如夜磨牙或爱咬硬物的患者,过大的剪切力使瓷贴面不能承受。