来源: 医脉通呼吸频道患者,男,49岁,因右胸部疼痛就诊。

图1

图2

图3

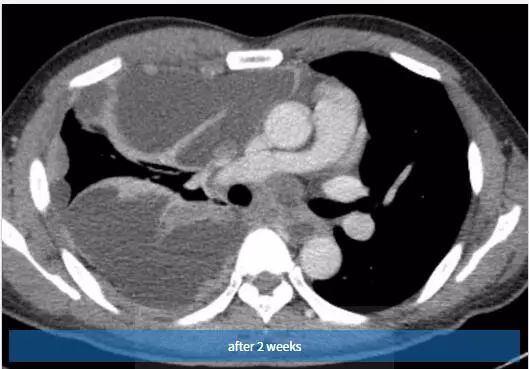
图4

图5

图6
图1 右肺下叶区域胸膜肿块样阴影,以及肋膈角钝化。
图2 示右肺下叶区域毗邻胸膜的分叶状肿块,以及重力依赖区域少量胸腔积液。
图3 2周后,随访胸片示右胸弥漫性阴影和胸腔积液。也可见引流管。
图4~6 2周内随访的对比增强轴位CT扫描示右半胸有大量多发性胸腔积液,弥漫性胸膜增厚和多灶性胸膜肿块。
诊断:Askin 瘤
简评
Askin瘤是起源于神经外胚叶的高度恶性肿瘤。Askin瘤发病年龄可见于几个月的婴儿至80多岁的老人,以儿童和青少年多见,其次为成人,国外报道中女性多于男性,国内男性多于女性。Askin瘤临床有其特定的发病部位,即胸壁软组织、肋骨骨膜及肺。常见的临床症状和体征为胸壁或肺部肿块伴疼痛、呼吸困难、发热和胸水。
X线检查主要表现为胸部肿块、肺肿块和胸水。病理检查肿瘤一般较大,多呈结节和分叶状,无包膜,质韧,切面灰白色或鱼肉状,常伴出血、坏死,可有钙化。组织学上肿瘤由弥漫一致的小圆形或短梭形细胞构成,核大,胞质少。
Askin瘤的临床诊断比较困难。Askin瘤发现率和诊断率低的原因,主要有以下几点:(1)本瘤较少见,临床与病理医师对其不熟悉或认识不够而未能引起重视;(2)临床与影像学检查虽具有一定特点但并非特征性;(3)病理易误诊为其它的小圆细胞肿瘤,如:淋巴瘤、胚胎型横纹肌肉瘤、神经上皮瘤或神经母细胞瘤等。
【版权声明】本平台属公益学习平台,转载系出于传递更多学习信息之目的,且已标明作者和出处,如不希望被传播的老师可与我们联系删除
喜欢本期内容的 求收藏 求转发
如果您有ct片问题也可以直接头条私信
想要知道更多的放射科相关内容可以微信关注放射沙龙公众号
或者直接在应用商店*载下**放射沙龙app与放射科医生在线互动学习