看剧无聊了,嗑瓜子呀~
闺蜜聊八卦,嗑瓜子呗~
一家人围坐一起看电视,瓜子嗑起来啊~

好了,恭喜你,这么大规模广范围进行嗑瓜子这一行为的后果就是——“瓜子牙”!
瓜子牙,听起来毫无恶意,但是对牙齿、对颜值的*伤杀**力巨大!试想一下,你本来穿得美美哒去约会,聊到开心处,微微一笑,露出上下两排“瓜子牙”,本来9分的颜值一下拉低到6分,如果对方还能继续与你谈笑风生,那绝对是真爱了!

但是,针对追求完美的你,怎能忍受这一颜值上的瑕疵,从而影响自信与社交呢!而且,从专业上来说,瓜子牙不仅影响面容美观,严重的话对我们健康也有危害呢!
“
“瓜子牙”到底怎么回事?
在医学上,“瓜子牙”称为上前牙牙体慢性磨损,主要发生在经常嗑瓜子的人群、开酒瓶、咬钉子的木匠及鞋匠的前牙上,因为长期用门牙嗑瓜子,使牙釉质过度磨损出现豁口受损,这时就出现了“瓜子牙”。
“瓜子牙”最初只是个美观问题,严重时会给患者带来难以忍受的痛苦。
“
“瓜子牙”的危害:
1、由于长期咬切磨耗,牙齿形成V形凹陷,影响美观。
2、导致牙齿过敏,喝冷热酸甜的食物出现酸痛。
3、严重者牙面出现折裂纹,甚至切角缺损。
4、由于过度磨损使牙神经暴露,出现牙髓病和根尖周病。
“
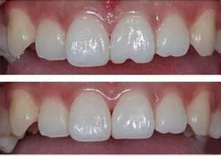
“瓜子牙”怎么修复?
“瓜子牙”的修复方法有很多,比如光固化复合树脂修复、瓷贴面修复、烤瓷冠或全瓷冠修复等,不管哪种修复方法,首先要做的就是停止嗑瓜子,已经出现牙髓病或根尖周病的,应先按常规进行治疗,然后再进行修复。
1、光固化复合树脂修复
光固化复合树脂修复操作简单,首先去尽坏组织,清洁牙齿,用酸性物质酸蚀;然后冲洗干燥,放粘结剂、放复合树脂材料;最后用特定波长的可见光照射含有光敏剂的材料,使其发生聚合反应而固化,从而达到修复牙齿形态和功能的目的。

光固化治疗的优点是应用面广,对牙齿磨损较少,可一次性修复,修复后美观,颜色稳定,耐磨性和抗压强度均比一般材料(如玻璃离子等)要好。
光固化复合树脂修复,可修复前后牙的各处龋坏,也可对牙体缺损如楔状缺损等进行修复。
2、瓷贴面
瓷贴面是指在不磨牙或少磨牙的情况下,应用粘接材料,将薄层瓷修复体固定于患牙唇、颊面,以恢复缺损、变色等牙齿缺陷的一种修复方法。

与树脂类修复相比,瓷贴面修复体的强度较大,不易磨损、变色,美学表现及持久性较佳;与冠类修复相比,瓷贴面修复备牙更少,对牙髓的刺激也小一些,颜色稳定、美观,不易着色及附着菌斑等。
瓷贴面修复能够根据每个人的牙齿情况,通过DSD美学修复设计,制作个性化的仿真瓷贴面,完全看不出与真牙的差别,美观度直接上升一个level!

瓷贴面针对轻微受损的牙齿修复效果较为完美,如果缺损过大,就要考虑烤瓷冠或全瓷冠修复了。
3、烤瓷冠/全瓷冠
烤瓷冠是将牙齿磨小后取印模,灌注石膏模型,然后在模型上制作一层约0.3-0.5mm厚的金属基底,再在其外面高温烤结上四层瓷粉。
全瓷冠与烤瓷冠类似,就是将金属基底换成一层全瓷的透明支撑骨架,然后在它的外冠面烤上一层与天然牙色泽相近的瓷粉,最后粘结在牙齿上。

两者相比,全瓷冠的性能更好,对医生的技术要求也更高,不会有烤瓷冠后期出现的牙龈黑线问题。而且医院做核磁共振检查的时候,如果口内有烤瓷冠,是需要拆除的,而全瓷冠对此并没有影响,这也是全瓷冠比较大的一个优势。
因此,如果牙齿缺损过大,我们还是建议大家做全瓷冠。
本文来源于网络;版权归原作者所有