☀️今天天气不错,来,大家做道数学题:
已知小红同学和小绿同学同一天面诊的同一位正畸医生,方案出来后,小红下周即可戴上牙套,小绿则需要至少一个月后(也可能是半年或一年后),请问在这段时间里,小绿可能做了哪些其他不得不做的准备工作?
(A) 洗牙 (B) 补牙 (C) 拔牙 (D)跑了n趟牙科做了痛痛的不想再回忆的根管治疗并戴了临时冠
(E)排队,痴痴地等
(F)其他________
顺便求小绿同学心理阴影面积

没错,小绿同学口腔状况不太理想,以为自己的牙除了不齐,没啥其他毛病,一检查才发现洗牙、补牙、拔牙都要做!这进度可不就慢下来了嘛~
排队的时间倒是有招儿节省下来,至于其他的治疗,能跳过这些步骤吗?
先来讲下正畸前为啥要洗牙?
首先声明一下,并不是只有正畸的同学才需要洗牙,每个人都需要洗牙。分享一位优秀的小朋友的留言↓

牙结石这个小东西基本还算公平对待大家,人人有份咯。(每个人嘴里口腔菌群不一样,牙结石也有长得快慢多少之分)
我们准备正畸的同学,牙列嘛,各有各的不齐的法,花式拥挤的牙齿得不到良好的清洁,更容易形成牙石。

当开始正畸治疗之后,尤其是当你采用固定矫治时,上了托槽和弓丝,刷牙已经不再像从前那么简单了,多了一些边边角角让食物残渣有容身之处,这也进一步加速了牙菌斑的沉积和牙石的发生。

再着,你想想你牙齿清清爽爽干干净净出现在医生面前,也有助于医生视察你口内情况。
正畸前了解牙齿矫正中可能出现的小困难还是很有必要滴,比如隐形牙套需要每天自行摘戴,每天戴满 20 小时以上,并且吃东西之后都要好好清洁,这些如果觉得做不到的话建议传统牙套也别轻易尝试了叭,所以说矫正成功的人除了医生优秀外,自己也是个自律的对自己有要求的宝宝呢

。
因为清洁难度更大,死角更多,如果任凭残渣藏匿,牙齿容易龋坏,患牙周病等。这是再专业水平再高的正畸医生也没法时刻提醒你,需要大家心里有根弦儿,和医生好好配合,最终才能达到满意的结果。

矫正过程中了还能洗牙吗?
1、能洗并建议洗,托槽没你想得那么脆弱易掉,洗牙的力不会洗掉托槽,可以随时根据需要洗牙。
2、最好拆了弓丝后洗牙,也可以不拆,和你的医生沟通,听听他的建议。
正畸前为什么要进行补牙?
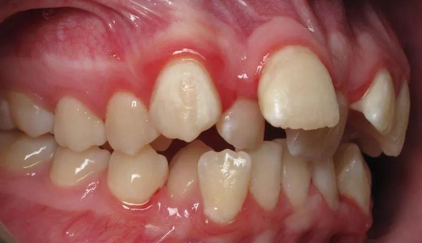
错位不齐的牙齿是很难清洁的,谁牙不齐谁知道!在正畸治疗之前,如果已经有了龋齿,要格外的关注,早发现,早治疗。
如果没有及时去补牙,也可以在正畸方案出来后再补,万一你要补的那颗是需要腾地拔掉的牙,说不定能省去一步。

龋齿的治疗也和洗牙一样,不仅仅是为了矫正牙齿。无论是否接受正畸治疗,蛀牙都应该尽早治疗。
正畸过程中能补牙吗?
正畸过程中,清洁第一重要的,戴牙套之后,口腔环境会变化,隐形牙套和牙齿之间形成包裹关系,环境密闭,细菌容易滋生,这也是为什么戴牙套前要先补牙的原因,封闭环境容易加快龋坏。

其实,如果你清洁做到位了,龋坏也没那么容易发生啦,如果出现了就要及时补了,隐形矫正患者要和正畸医生沟通过再补。
正畸前为什么要拔牙?
并非所有正畸小伙伴都需要拔牙,至于哪些牙该拔,哪些牙不该拔,还是要你牙齿的情况来决定。
1、牙齿正畸为什么要拔牙?
矫正,为的是让牙齿移动使之排列整齐,移动,就必须有足够的空间,拔牙,就创造了这个空间。
在没有明显上下颌骨骨性不调的情况下,错颌畸形的产生,最根本的原因就是牙槽骨的空间不够以容纳现存所有牙齿的结果,所以此时正畸拔牙的主要目的是解除拥挤,排齐牙齿。

这种情况下如果要矫正牙齿,就需要腾出一些空间,使牙量和骨量协调,拔牙就是获得间隙的手段之一。
2、正畸拔牙原则:
先看看每颗牙具体负责啥,

中切牙和侧切牙(1,2)是肩负美观和切咬重任;尖牙(3)有撕咬功能;磨牙(6,7)无疑问是研磨食物的功能,咀嚼*力主能**要就看磨牙。
光看描述都能看出这些牙是比较重要的,而前磨牙(4,5)是从单尖牙到多尖牙的过渡牙,作用没那么大,有一颗牙和有两颗牙没啥影响,相对不重要。
所以拔牙矫治一般考虑常规拔除 4 或者 5 或智齿或不能保留的病牙,不影响功能的牙。
牙齿的功能和牙齿的数目是两回事,别看你要拔了全口八分之一的牙齿,但是功能方面影响很小,可以忽略不计。是不是听完,对拔牙不那么抗拒了?
拔牙后的牙洞是会慢慢愈合的,一般半年内会愈合。
间隙是会在正畸的过程中逐渐关闭,像这样↓
