脂肪栓塞综合征(fat embolism syndrome)是严重创伤、骨折的早期危重并发症之一。系由来自骨髓与其他组织的脂肪、脂类物质在乳化能力减弱、理化性质失常的血液中聚结成较大体积,栓塞于肺、脑、皮肤等器官的血管中而引发的以呼吸窘迫及中枢神经系统障碍为主要表现的临床病象。严重者还可危及生命。
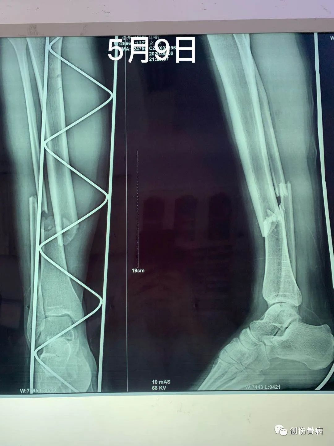
都说车祸无情,但是创伤后的并发症也依旧无情。2020年5月9日21时55分我科室接收一名18岁外伤小妹妹,当天晚上小妹妹跟爸爸妈妈路边散步被一汽车撞倒受伤,送至我院时就是一单纯右胫腓骨下段粉碎性骨折伴头皮裂伤,入院行右小腿DR及胸部CT示:2020年5月12日14时左右,小妹妹突然出现呼吸困难、烦躁不安,氧饱和度40-50%,家属诉小女孩昨日夜间有偷偷咳嗽的表现,当班医生一看就考虑脂肪栓塞立即给与安排行胸部CT示:


2020年5月12日14时左右,小妹妹突然出现呼吸困难、烦躁不安,氧饱和度40-50%,家属诉小女孩昨日夜间有偷偷咳嗽的表现,当班医生一看就考虑脂肪栓塞立即给与安排行胸部CT示:随后转入ICU气管插管、呼吸机控制呼吸、激素冲击、抗炎、脑康复等抢救治疗,短时间内出现急性肺水肿,气管插管内全是粉红色泡沫痰,恰逢月经期,各种用药都存在矛盾,血色素也直线降落,针对此类病人外界压力也挺大的,有说希望渺茫的,有说必死无疑的,也有建议转院治疗的。。。。。好在家属比较理解也比较信任我们,给予对症抢救治疗4天、13天后复查胸部CT示:

肺部情况稳定后于2020年5月28日行右胫腓骨下段粉碎性骨折手术治疗


目前患者各项指标正常,根本不像在死亡边缘走过一遭的。