活泼健康的10岁女孩被同学误踢一脚后,腹痛难忍,呕吐不止,到医院检查才发现胰腺长了一个鸭蛋大小的肿瘤。由于外力导致肿瘤出血、坏死,手术迫在眉睫。湖南省人民医院肝胆医院胰脾外科团队为女孩施行急诊腹腔镜下胰十二指肠切除手术,创下这一手术最低龄的纪录。

10岁的婷婷(化名)来自湖南省永州市冷水滩区,2019年4月12日上午,她在课间操时与同学一起踢毽子,被一名男同学不小心踢到肚子。不长后,婷婷感到上腹部剧烈疼痛,随后出现恶心、呕吐的情况,吃不了东西,连喝水都吐。家长闻讯后将她送到当地医院,做了腹部超声、CT等检查后被告知,婷婷的胰头部位长了个“很大的东西”,建议前往长沙进一步治疗。
家人连夜带着婷婷赶往长沙,并于4月13日早上6时许来到湖南省人民医院急诊一科就诊,随后因“胰头占位”被收入胰脾外科病房。完善相关检查后,肝胆外科学科顾问陈梅福教授、胰脾外科主任成伟教授等专家对婷婷的病情进行会诊讨论,一致认为:肿瘤已经出血、坏死,急诊手术指征明确;同时为了减轻手术创伤,避免在小女孩的腹部留下一道近20厘米长的手术切口,决定在腹腔镜下为她进行手术。

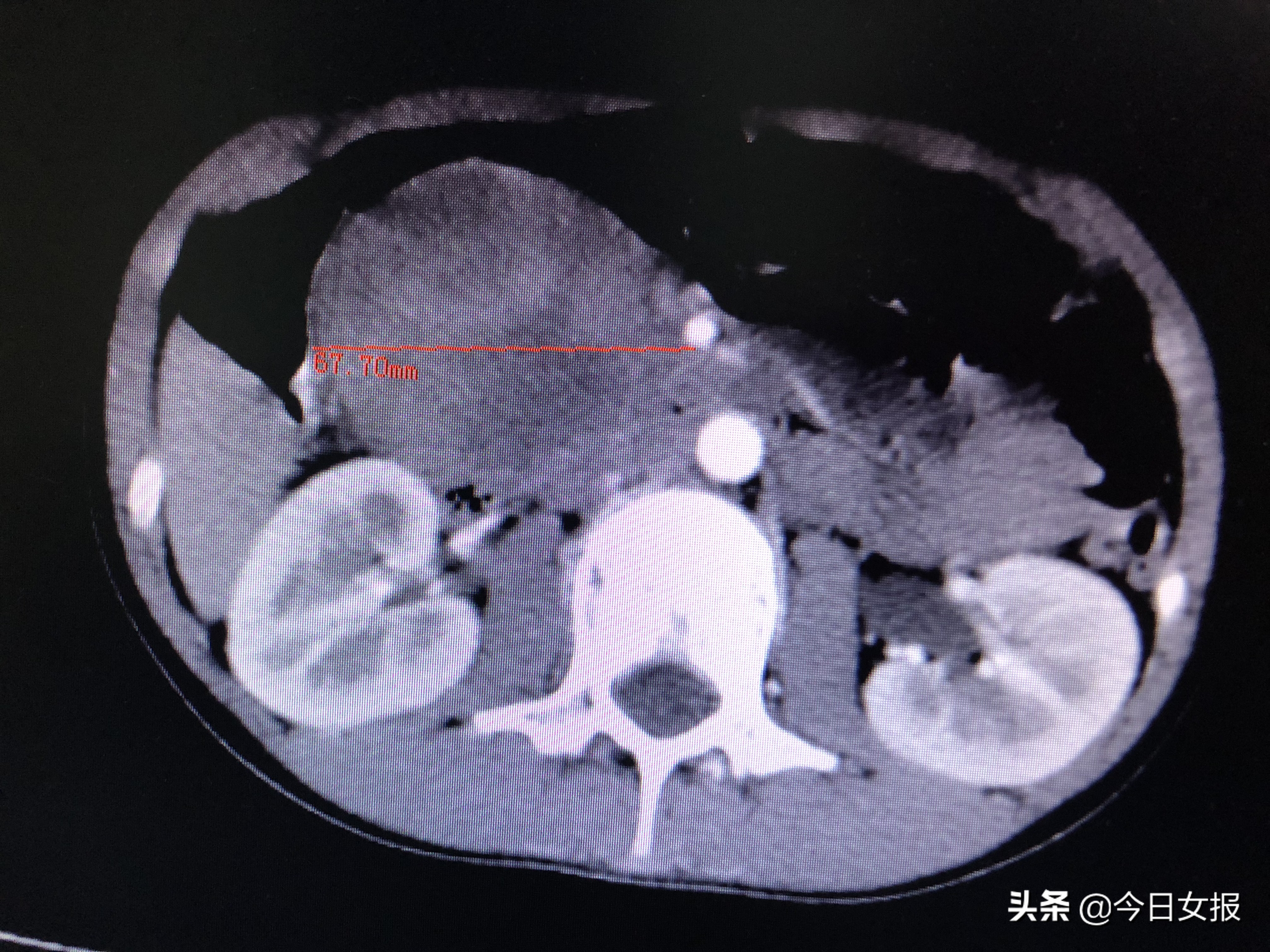
4月17日晚上7时许,在完善相关检查进一步明确病情并排除手术禁忌后,由蒋波、陈梅福、成伟等专家组成的手术团队为婷婷施行急诊全麻下腹腔镜胰十二指肠切除术。术中发现,肿瘤压迫十二指肠、结肠,且出血后粘连严重,腹腔镜下分离难度极大;同时,肿瘤与肠系膜上静脉、肠系膜上动脉、门静脉等重要血管紧邻,一不小心就容易损伤这些大血管,手术风险和难度不言而喻。所幸在专家团队的高超技艺和谨慎操作下,手术于次日凌晨3时许顺利结束,切下的肿瘤达67×61×50mm3,病理检查证实为“胰头实性假乳头状瘤并出血”。
术后,婷婷病情平稳,恢复良好,术后3天即可自主进食,下床活动,并于4月30日康复出院。

“小孩之前有不时腹痛的情况,但是没有去医院确诊”,胰脾外科成伟主任提醒,像婷婷这种长期不明原因腹痛应及时前往医院进行检查,早诊断,早手术,就可以避免肿瘤破裂、出血、坏死的情况发生。同时,小朋友玩闹之后出现不适,家长一定要重视并积极就医。像婷婷这么小年纪得这种胰腺疾病极其罕见,应尽早前往专业的胰腺疾病专科医疗机构就诊。

成伟主任表示,胰十二指肠切除是腹部外科最复杂的手术之一,腹腔镜胰十二脂肠切除术(LPD)则被称为胰腺外科和腔镜外科医生心中的“珠峰”,特别是全腹腔镜下胰十二指肠切除目前国内只有少数大型医院可以开展,而急诊全腹腔镜下胰十二指肠切除更是难上加难,被誉为“皇冠上的明珠”,是所有腔镜外科年轻医生梦寐以求的目标。婷婷是湖南省人民医院完成的第三例急诊腹腔镜胰十二指肠切除手术,也是目前国内外有报道的接受这一手术年龄最小的患者。
文、图:今日女报/凤网记者 李诗韵 通讯员 梁辉 黄生桃
编辑:小Y