手术系列展示之二十三
闫长祥医疗团队

中颅窝-颞下窝占位
断颧弓硬膜外入
颞下窝、翼腭窝位置深在,该部位肿瘤以骨源性肿瘤、神经鞘瘤等多见。中颅窝底骨质起源肿瘤常侵蚀破坏颅底骨质并朝颞下窝、翼腭窝方向生长。良好的肿瘤显露是切除该部位肿瘤的重要前提,断颧弓硬膜外入路是常用的手术选择。
简要病史
-
患者男性,49岁。已婚。汉族。专业技术人员。
-
主诉:右耳听力降落15年,右耳耳鸣5年,头晕5个月。
-
现病史:患者15年前无明显诱因出现右耳听力降落,进行性加重。5年前出现右耳耳鸣,曾于当地医院行针灸治疗,症状改善不明显,且近5个月出现头晕。遂查头部CT及MRI发现右侧中颅窝底占位。
-
既往史:高血压5年,规律服药,血压控制良好。
-
查体阳性体征:右侧听力降落20%。右侧颜面部轻度周围性面瘫。

中颅窝-颞下窝占位
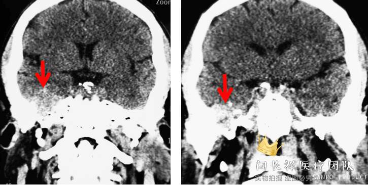
术前冠位CT示右侧中颅窝、颞下窝、翼腭窝占位,病灶呈稍高密度。

中颅窝-颞下窝占位
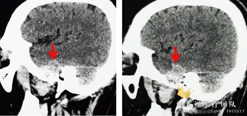
术前矢状位CT。

中颅窝-颞下窝占位
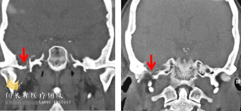
术前冠位CT骨窗像示右侧中颅窝底骨质被肿瘤侵蚀破坏。

中颅窝-颞下窝占位
术前MRI轴位T1扫描示病灶呈等信号。

中颅窝-颞下窝占位
术前MRI轴位T2扫描示病灶侵及面神经膝段及中耳骨质。

中颅窝-颞下窝占位
术前MRI轴位T1增强示病灶显著不均匀强化。

中颅窝-颞下窝占位
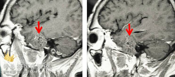
术前MRI矢状位T1增强。

中颅窝-颞下窝占位
术前MRI冠位T1增强示病灶主体位于硬膜外,侵蚀中颅窝底骨质并朝颞下窝、翼腭窝生长。
术前诊断
右侧中颅窝、颞下窝、翼腭窝占位
骨源性肿瘤?
手术入路
右额颞断颧弓硬膜外入路肿瘤切除术

中颅窝-颞下窝占位
手术切口。

中颅窝-颞下窝占位
手术体位。

中颅窝-颞下窝占位
筋膜间分离皮瓣,保护脂肪垫,暴露颧弓。

中颅窝-颞下窝占位
用摆锯沿虚线位置离断颧弓两端并取下。

中颅窝-颞下窝占位
将颞肌翻至颧弓断端下方,暴露中颅窝底骨质、咬肌。

中颅窝-颞下窝占位
磨钻磨除中颅窝底骨质。

中颅窝-颞下窝占位
暴露中颅窝底硬膜及肿瘤组织。肿瘤广泛侵蚀颅底骨质。

中颅窝-颞下窝占位
肿瘤灰白色,质地韧,边界欠清,血供中等,给予小心分块切除。

中颅窝-颞下窝占位
肿瘤侵蚀翼突根部骨质。小心保护翼管神经、下颌神经。

中颅窝-颞下窝占位
肿瘤全切,瘤周结构保护完好。

中颅窝-颞下窝占位
胶原蛋白海绵覆盖术区,防止脑脊液漏。

中颅窝-颞下窝占位
带蒂颞肌条填塞术腔。缝合颞肌。颧弓复位并用钛片固定。

中颅窝-颞下窝占位
术后6小时复查头部CT示肿瘤切除满意。

中颅窝-颞下窝占位
术后头部增强MRI示肿瘤切除满意。

中颅窝-颞下窝占位
术后恢复顺利,术前症状显著改善。
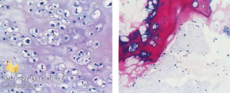
病理
高分化软骨肉瘤,1级。
专家点评
中颅窝底起源软骨瘤发病率低,临床上较为罕见。该肿瘤常广泛侵蚀中颅窝底骨质。肿瘤破坏卵圆孔、中耳、面神经管等处骨质,患者常以听力降落、颜面部疼痛麻木等症状而就诊。手术切除是治疗该病的首选方法,但由于肿瘤位置深在、显露困难且常累及重要神经血管,故其手术风险较大。断颧弓硬膜外入路是该类肿瘤常用手术方案。
术中关注事项
-
1.离断颧弓时,小心保护脂肪垫,避免损伤面神经颞支及颧支;
-
2.磨除中颅窝底骨质时,尽量保证颅底硬脑膜的完整,以防止脑脊液漏;
-
3.尽量保证颞下颌关节的完整,以防止术后咀嚼障碍;
-
4.术中打开咽鼓管膜部及骨部时,要警惕脑脊液漏可能,术毕要用人工材料、自体肌肉修补术腔;
-
5.肿瘤侵蚀岩骨时,切除肿瘤过程中要格外警惕损伤颈内动脉岩骨段可能,必要时术中行MRI导航或CT导航。
闫长祥医疗团队手术系列展示:
专家介绍
-
姓 名:闫长祥
-
职 称:主任医师、教授、博士生导师
-
出诊时间:周一、周二、周三上午
专业特长:
各种颅内肿瘤(垂体瘤、听神经鞘瘤、颅咽管瘤、胶质瘤、脑膜瘤)和动脉瘤等。
行业任职:
中国非公立医疗机构协会神经外科专业委员会主任委员
首都医科大学神经外科学院常务委员、三系副主任
《外科学》(普通高等教育“十二五”国家级规划教材)编委
北京市卫生技术系列(外科)高级专业技术职务任职资格评审委员会评审委员
中国医师学会神经外科分会微侵袭神经外科专业委员会委员
北京抗癌协会神经肿瘤专业委员会委员
北京医学教育协会第五届理事会理事
中国中西医结合委员会围手术期专业委员会委员
中华中青年神经外科交流协会常务委员
多种国家和省市基金项目评委

姓名:刘宁
医学博士 副主任医师
病区副主任

姓名:韩松
医学博士 主治医师

姓名:杨亚坤
医学博士 主治医师

姓名:王鹏斐
医学博士 医师
[
重要通知
]
《三博通讯》添新颜
扫码关注《三博通讯》电子版
微信号:sanbotongxun
各位新老朋友:2018年将逐渐停发纸质版的《三博通讯》
扫码关注《三博通讯》电子版,并请备注您的姓名和单位
海量脑科前沿技术、最新学术资讯、历年通讯电子版,等您来阅读!
高端学术讲座、高难手术视频,等您来围观!
神经外科医生学术社群等您来参与!