要检查心脏血管是否有狭窄,狭窄多少?
目前有两种比较准确的方法,那就是心脏血管CT也叫冠脉CTA,和心脏血管造影,也叫冠脉造影。

那么冠脉CTA和冠脉造影有什么区别,我们如何选择呢?
一、准确性不尽相同
虽然冠脉CTA和冠脉造影都是检查心脏血管的手段,但相对来说准确性还是不同的。
冠脉CTA是一种计算机模拟重头成像的过程,虽然理论上比较准确,可是因为成像过程中的干扰,或观看成像结果的医师水平不同,那么决定了冠脉CTA和真实的结果,有时候存在一定的误差。

比如一个人的血管,完全正常,没有狭窄,那么通过冠脉CTA来检查,结果几乎是准确的,误差很小,但如果有中度狭窄的时候,冠脉CTA可能因为种种原因给出:轻度狭窄,甚至重度狭窄的诊断,有时候误差明显。
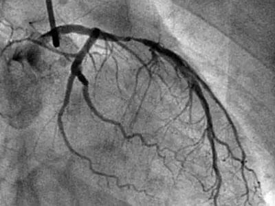
冠脉造影是直接透视下,通过不同角度视察心脏血管的情况,医生更直观地从不同角度来看心脏的各个血管的狭窄情况和程度,相对来说比较准确。
二、检查过程不同
冠脉CTA不用住院,门诊就可以完成。

级别相对比价低的CT,比如64排的CT,针对患者心率要求比较高,心率不能超过70次/分,否则不能完成CT检查。而320排CT,则对心率没有要求,即使心率较快,也能完成。冠脉CTA其实就可以理解为增强CT,在CT室就可以完成。
冠脉CTA就是在做一个CT,但做CT的时候,需要输造影剂,造影剂进入人体才能显影。也就是一边输液,一边做的CT,就能三维重建心脏血管的影像。
冠脉造影,必须住院,门诊是无法完成冠脉造影的。
因为冠脉造影是有创检查,相当于一项手术,还得签手术同意书,还得去导管室(相当于心脏手术室)才能完成。
冠脉造影,是需要把导管通过手腕或大腿根的血管,送入到心脏的血管开口,随后再把造影剂通过导管推入心脏血管,造影剂进入心脏血管的同时,立即透视,在X线下就能看到即时的心脏血管影像,也就能看到心脏血管有没有狭窄,以及狭窄的程度。
三、如何选择?
那么当我们怀疑心血管狭窄的时候,是选择冠脉CTA还是选择冠脉造影呢?
1、这些情况下,选择冠脉造影

急性心肌梗死;
不稳定性心绞痛;
曾经做过支架再次出现心绞痛;
心电图提示典型的陈旧性心肌梗死;
已经做完了冠脉CTA建议进一步冠脉造影。
2、这些情况下,可选择冠脉CTA

没有典型的心绞痛症状,但也不能排除冠心病;
运动试验阳性,还没有考虑好做造影,可以先做个CT看看;
做过心脏支架,并没有心绞痛,但想再次复查看看血管的情况;
心电图有可疑心肌缺血的表现,但没有典型的心绞痛症状,为进一步明确血管情况。
四、冠脉CTA和冠脉造影风险不同

冠脉CTA的主要风险,一方面来自造影剂,一方面来自辐射,相对风险比较低。
冠脉造影,不但有造影剂过敏,造影剂肾病和辐射的风险,也就是这些风险和冠脉CTA一样;同时冠脉造影因为是有创检查,那么就可能会出现出血、血肿,甚至因为造影导管导致血管损伤,导致心律失常、室速、室颤等恶性结果。
五、做完检查的结果不同

做完冠脉CTA,如果没有问题,那就排除了冠心病;但如果有中度以上的狭窄,还得进一步做造影查看。尤其是重度狭窄,如果要放支架,必须做造影才行。也就是说做完CT还得做一次造影。
做完冠脉造影,可以一步到位,如果有严重的狭窄,可以在当时就做支架治疗。
总之,并不能说冠脉造影和冠脉CTA哪一个检查更好,各有利弊而已。
至于如何选择,那主要看患者的情况,要根据患者的具体情况,选择适合患者的能给患者解决问题的检查。
#健康明星计划#
(此处已添加医疗卡片,请到*今条头日**客户端查看)