【相关知识】
1.概述
内在性子宫内膜异位症又称子宫腺肌症,是子宫内膜向肌层良性浸润并在其中弥漫性生长,多发生在30 ~ 50 岁的经产妇女,常合并子宫肌瘤,或附件部子宫内膜异位,如卵巢内膜异位样囊肿等。

2.临床表现
首要症状为经量增多,经期延长或月经增多。继发性痛经,进行性加剧。检查时子宫多呈均匀性增大,有触痛。
【声像图特征】
子宫腺肌症分为三型:弥漫型、前后壁型、局灶型。
1. 弥漫型
子宫呈球形增大,前后径及横径一般不超过8 ~ 9 cm,三径之和大于15cm,肌层回声增高,光点增粗,显现散在低回声区,无包膜回声,夹杂散在的无回声区,子宫内膜线居中。
2. 前壁或后壁型
子宫呈不对称性增大,前壁或后壁肌层增厚,光点增粗,内膜线前或后移。
3. 局灶型
即子宫腺肌瘤,呈边界不清的团块状回声,呈不均质高回声,病灶与正常肌层间没有清晰的边界,即无包膜回声;彩色血流信号丰富,病灶周围无环状彩色血流信号。
【鉴别诊断】
子宫肌瘤:①子宫肌瘤可见假性包膜,边界清晰;子宫腺肌症无包膜,与周围组织界限不清。②子宫肌瘤以低回声较为多见,多成旋涡样改变;子宫腺肌症多以弱强回声多见,无明显旋涡状结构。③子宫肌瘤周边血供多于内部,周围有环状血流信号;子宫腺肌症周围无环状彩色血流信号。
2.慢性子宫肥大:子宫均匀增大、宫腔线无偏移,肌层回声均匀,无痛经史;子宫腺肌症患者有痛经史,子宫肌壁回声不均匀。
3.功能性子宫出血:子宫均匀增大,内膜明显增厚,重者呈球型光团;子宫腺肌症内膜厚度正常,有痛经史。
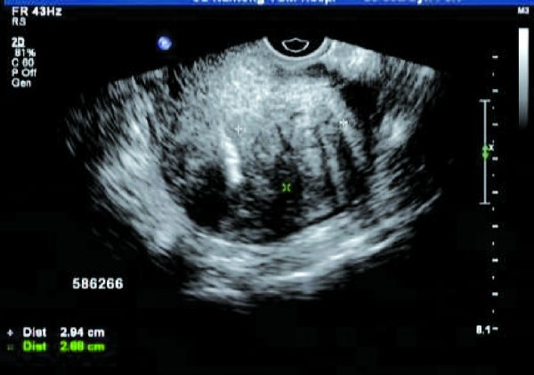
【典型病例】
患者,女,47岁。常规体检,B超报告显示: 子宫体前位,大小: 4.63cm×3.97cm×3.78cm,宫颈长:2.56cm。宫壁回声不均匀,肌层回声呈粗颗粒状,外形平滑,后壁厚度2倍于前壁,内膜带状,规则,均质。双卵巢均可探及正常大小,位置正常,未见异常血流信号及频谱。宫旁未见明显占位,直肠窝无暗区。
超声提示:子宫后壁腺肌症
【点评】
经阴道彩色多普勒超声能清晰显示子宫肌层病变的大小、部位、范围,而且能清晰显示其内部结构变化。超声检查时重点视察子宫肌层病灶回声、病灶周边无包膜及病灶内小片状血流信号等特征性表现,能提高诊断符合率。
更多专业知识!请关注微信公众号“超声掌中宝”