前段时间因为牙龈反复出血去看了医生,然后就一直想要和大家分享下我的牙齿美白的一些事儿,不说闲话,直奔主题:
去年逛街时看到医院的冷光牙齿美白广告,脑子一热就进去咨询了下,检查了牙齿健康状况说当天就能做,拿了一些对比图片看,当时我就迅速脑补了下自己一口雪白的牙齿,雪白雪白、、、(事后证明什么最美,想得美!)立马交费。
百度了下冷光美白:冷光牙齿美白是将波长介于480-520纳米之间的高强度蓝光,将过氧化氢和直径为20纳米的二氧化硅等为主体的美白剂,快速产生氧化还原作用,去除牙齿表面及深层附着的色素,从而达到美白的效果。
美白剂的成分是过氧化氢和过氧化脲,属于化学漂白物,对牙齿深层的染色、四环素牙、氟斑牙、、都有一定美白作用。
这个具体我们后面聊,先说说冷光美白过程。当时没有拍照,从网上找了图片,大家好理解。
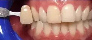
医生先拿了一排不同色号的牙齿模型,让我对比,看哪个色号和自己的牙齿色比较接近。

在嘴巴四周和嘴唇图上唇膏油护唇,带上开口器把嘴巴撑开露出牙龈牙齿,在牙龈上涂光固化材料用来保护牙龈。
给我涂保护材料的医生助理说不涂这个保护,美白剂有可能烧伤牙龈,听到这个,我就开始后悔了,又抱着侥幸,女人为了美啊。。。。

然后开始涂美白剂。
这里要说下,美白剂只涂前面露出来的部分牙齿,靠近口腔里面的牙齿是做不了的,没法涂美白剂,冷光也照不到,所以只是美白前面的部分切牙、尖牙。
涂好美白剂开始冷光照射20分钟,到时间仪器会停,把美白剂擦干净,重头涂上美白剂冷光照射,反复三次,结束。

结束后,把牙龈上变硬了的保护剂取下来,冲洗口腔,就可以照镜子啦,把没有美白前选的牙齿色卡和美白后的牙齿对比下,看看白了几个色号。

我刚做完没看出白,感觉好像差不多,医生说是因为本身牙齿不算黄,白了两三个色度对比没那么明显。
刚做好牙齿上面有一些小白点,牙齿有些酸胀,说刚做好美白剂还没有发挥最好效果,一周后就会均匀,也不会酸胀了。
对了,医生还叮嘱两周内都不能喝茶、咖啡、红酒、、、有颜色的饮料食物,有色的牙膏也不能用。
整个过程一个多小时,很简单,全程都是一个年轻的好像是实习医生做的,当时有点不放心,问了下,年轻医生说这个很简单,他每天都做好几个,说时间长了,牙齿还会变黄,他们医院那种大型设备也有小的家用的,以后可以从网上淘个家用冷光美白仪,在家自己做就行。

冷光美白不是一劳永逸的,护理的比较好,最多可以维持两年,这个很难做到。
我是不喜欢喝饮料、咖啡,有酱油的菜也不怎么爱吃,可是喜欢喝一点红酒,不到一年就恢复了,而且貌似比以前还黄点。
当时我拍过医院的设备照片做备注,就上淘宝苏宁京东的都搜了一圈,对比了还是买了医院的那个中美合资的牌子。
就是下面这样的,有电池盒、开口器、冷光照射仪和一管美白凝胶。

买了之后自己在家做了几次,家用美白剂的浓度没有医院的高,需要每天做一次,连续做几天才有效果,做了后牙齿白了不少。
做完后牙齿很酸,也没有在意,可是后来一段时间,牙龈老是反反复复出血,所以去看了医生,自己想着可能是美白牙齿造成的,不敢乱看医生,特意去找了熟悉的医生,唉,被批评并深深上了一课。

好吧,我整理了下,想起什么写什么,大家看黑板和我一块学习哦。
1.美白剂是化学漂白,把牙齿表面和牙釉深层做氧化还原,起到美白作用。
漂白剂会导致牙釉质损伤,让牙齿失去牙釉质的保护,引起过敏、牙周炎、、、
特别是医院那种短时间大量地用高浓度的漂白剂,牙釉质损伤更严重,牙釉质损伤后牙齿变得表面不平,反而黄得更快,并且容易产生牙结石,牙结石又会导致牙周炎、牙龈出血肿胀。

2、牙齿本身的颜色是淡黄色的,绝对不是广告上那种雪白雪白的,所以别贪心。
找了图片和下图美白后差不多的淡黄色。

3、.因为如果本身就有牙龈敏感、牙酸的问题就一定不要做了,会更严重的。
4、一定一定不要在短时间内多次做冷光美白,我就是作死了呜呜,,,除非你去做美冠牙齿,这个有点可怕,简单点说就是把牙齿都磨尖了,套上假牙套。
美冠副作用更大,很多明星做过这个,因为不管牙齿白,排列大小都好看,记得刘涛在微博上发过自己去看牙医,后悔做过这个。
5. 如果检查发现牙齿有平时看不到,但是在光源照射下能看到的裂缝,也一定不能做冷光美白,不然等着反复敏感吧。
6.家用冷光美白仪的漂白剂浓度低一些,会比医院那种对牙齿损伤小一点,但是也不要贪心,能少做就少做。
7.如果喜欢每天喝茶、咖啡、可乐之类有色饮料食物,最好也别做了,撑不到几个月就会再次染色了。

8.美白牙膏一般也是含有微量漂白剂或者摩擦剂,通过去掉牙齿表面的着色,不过对渗透牙釉质的着色是完全没用的。
医生建议是牙齿没有病变就用普通牙膏最好,便宜又好用。
不过牙膏最好经常换牌子用,长期用一种牙膏,口腔的病菌会产生抗体,抑菌效果就不好了。
针对牙龈出血我也特意问了好多问题,因为我就老反复出血嘛。
除了漂白剂会对牙齿损伤,好多人比如我啊,喜欢横着刷牙,特别是口腔靠后牙槽,几乎都是横着来回刷的,这种刷牙方式对牙釉质和牙龈都是一种物理磨损。
特别是有的人刷牙很用力,没多久牙刷头就磨毛了,可想牙釉质牙龈也同样会有磨损的,日积月累牙根部位就会被磨损萎缩,引起牙齿敏感,甚至松动。萎缩之后还很容易留存食物残渣,造成牙周病,形成牙结石。
所以正确刷牙非常重要呢,要顺着牙齿的缝隙竖着刷,找了图,看看哦,刚开始靠里面部分不好刷,慢慢就习惯了。

或者可以用电动牙刷,我用的飞利浦声波牙刷,还蛮好用的,对牙齿表面的浅着色有一定作用,虽然不能深层美白牙齿,可对牙齿保持色泽是有好处的。
我们读者也有说挺好的。

如果经常反复牙龈出血要考虑有牙结石,该洗牙了,我们都担心洗牙损伤牙齿,可是和不洗牙产生结石的危害比起来,这个影响是微乎其微的,我一般一年洗一次,没发现有什么副作用。
洗牙不能美白牙齿哦,只能把表面的着色和牙结石去掉,所以吸烟的人洗了牙看起来好像是白了。
医院还有种牙齿贴面美白。是在牙齿表面贴一层烤瓷或者树脂贴面,把变色牙齿遮起来,据说一些明星会用这种,还有我们前面提到的美冠,但是这个贴面比较容易牙龈肿胀,也是不推荐。

另外可以试试牙贴,牙贴也是漂白原理美白,漂白剂的量更少,相比较副作用也小一些,对不严重的染色有作用。 要是比较严重的染色或者其他原因造成的比如四环素牙、氟斑牙效果就不太好。
也有热心的读者妹子发来自己用牙贴美白的体会和图片。


其他的一些什么醋、小苏打刷牙美白的说法,理论上是有一点作用的,都是有轻微腐蚀性的,偶尔用用,对轻微的表面染色也许有作用,不过我没有试过。
最后我还满怀热情地替我们大脸星人问了个问题:拔智齿可以瘦脸吗?
医生的回答是:别想美事了,并不会!脸的大小是骨头和脸上的肉决定的,智齿长出来的时候,骨头都成型了,拔牙又不是削骨头,怎么会瘦脸呢。不甘心呀不甘心,明星们不都是说拔了智齿所以脸瘦了吗,哼哼。
恩,尽量整理了,有点东一句西一句的,总的说美白牙齿的方法各有利弊,大家根据自己的状况选择,如果不是很严重,还是想好了再做哦,毕竟健康更重要啊。
我在追电视剧《小别离》,海清黄磊主演,很现实很残酷,蛮轻松单纯有意思的,细思很现实很残酷,剧中海清的穿衣造型很养眼,黄磊的表演更是赞,国产剧中的良心作品,安利给大家,好看。
祝大家都唇红齿白,笑口常开!
喜欢这篇文就尽情分享到朋友圈吧,这是你最好的赞赏,也是我写文的动力,非常感谢!
关注微信公众号:
Bingo宾果,
ID:Bingomili
看怎么成为穿搭高手、 你的肤色适合什么颜色、根据身材穿对衣服、、 高跟鞋||配色||风衣||半身裙|牛仔裤看更多精彩吧。