《一期一问》栏目是针对广大牙科患者开设,搜集相关的牙齿口腔问题,集合专栏情势帮大家答疑解惑。
如何找茄子君提问:直接后台留言给茄子君,详细描述你的病情即可。
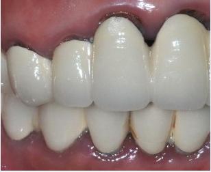
第2期: 烤瓷牙边缘变黑,怎么回事?
患者提问:为了弥补牙齿缺损问题,满怀期待去做了烤瓷牙,可是几年后发现烤瓷牙边缘居然变黑了,每天早上刷牙看着镜子中灰灰的牙齿,整个人都不好了,这是怎么回事?

专家解读:
烤瓷牙变黑原因:
1牙肉萎缩
牙肉萎缩会让金属烤瓷牙冠内部的金属牙材露出来,所以看起来黑黑的。造成牙肉萎缩的原因是牙周病或是刷牙方法不正确,天生牙龈较薄的人牙龈也较容易萎缩。
2牙龈吸附金属离子变色
当烤瓷牙材料选择不当时,尤其是生物相容*交性**叉的材料,容易对周围组织产生不良刺激,然后出现烤瓷牙过敏、腐蚀、牙龈吸附金属离子变色,从而可能产生牙龈炎、牙周炎、龈缘黑线、口腔异味等。
3牙体本身的颜色较深
针对某些牙体严重变色的修复病例,建议先采用内漂白的手段大致纠正颜色,然后再进行烤瓷冠修复,否则当发黑的牙体未被烤瓷冠完全覆盖时,导致的牙龈边缘发黑根本无法修复。
四招急救法:
1、保住牙根
若进行烤瓷修复的牙齿已出现松动、发炎症状,需立即拍片检查,确认牙根健康态势。
2、消除牙龈黑线,阻止牙龈萎缩
烤瓷修复牙冠边缘与牙龈密合程度是判断烤瓷牙是否成功最重要的指标,密合不佳则会使细菌进行牙冠内,导致牙齿发言、牙龈萎缩、牙龈发黑等。
3、冠体材料更换
根据自身情况,尽可能选择中等价格偏上、对身体无害且组织相容性好的材质,建议选择全瓷或仿生材质,最大限度的避免选材不当造成的烤瓷修复失败。

4、牙周护理
烤瓷牙失败者的牙周都会出现一定程度的病变,需先进行牙周护理确保牙齿的基本健康。
今天的问答就到这里,有问题可以直接留言茄子君,专业牙医帮你一对一解答哦
