最近,我有两个认识的朋友都因为与怀孕有关的疾病住进了重症监护室(ICU),经过手术、栓塞、药物、再次手术,而且输了大量的血,才算保住了命。

其中一个是我之前同事的女儿,三十岁左右,4年前做的剖宫产(当时就是因为娇气怕疼),这次再次怀孕,怀孕2个多月胚胎停止发育,做人流过程中大出血。
出血的原因是因为孕囊种植在原来瘢痕的位置,专业术语为“瘢痕妊娠(cesarean scar pregnancy,CSP)”,就是这样:

另一个是我的朋友,四十多岁,第一胎做的剖宫产(当时想着反正就生一个,剖了省事儿)。她很不幸,儿子在中考那年猝死了,这次再次怀孕,5个多月的时候自然流产了,流产之后胎盘没出来,发生了大出血。
她是因为孕囊种植于瘢痕处,继续妊娠至孕中期,发展成了胎盘长在瘢痕处,并且进了子宫肌肉层,专业术语为”胎盘植入“,就是这样:

随着二胎政策的放开,剖宫产之后再孕的越来越多,我们见到的由此带来的问题也越来越多。所以,当有产妇或家属在没有任何医学指征要求剖宫产的时候,我会苦口婆心,晓之以理,动之以情,希望能够避免一次可能导致以后出现严重后果的手术。
今天,着重给您讲讲这个剖宫产术后远期潜在的严重并发症——瘢痕妊娠,因为妊娠囊不是种植于宫腔内,所以也是异位妊娠的一种特殊类型。
瘢痕妊娠(CSP)很危险
因为胚胎是着床于瘢痕组织而不是子宫里, 如果诊断不及时,治疗不恰当,就会导致大出血、子宫破裂等并发症,尤其CSP 继续妊娠至中晚期,可能发展为胎盘植入、凶险性前置胎盘,处理起来非常棘手,发生子宫破裂大出血的风险更会大大增加,危及到女性生命。
CSP早期诊断很重要
CSP因为没有什么特征性的症状,常常被忽视。
有些会表现为少量阴道出血,有些是做人流术时或者药流术后发生大出血。
提醒您:如果做过剖宫产或者有过子宫手术史(子宫肌瘤剔除术等),一旦怀孕,应尽早去医院就诊,行B超检查排除瘢痕妊娠的可能。千万不能未行B超检查就做人工流产或药物流产。
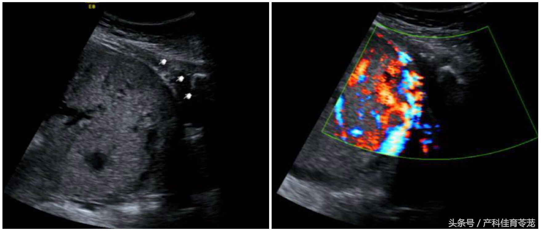
CSP 首选经阴道彩色多普勒超声结合经腹超声进行诊断:

诊断依据*:
子宫前壁瘢痕处见胎囊着床或不均质团块;
子宫宫腔及颈管处未见妊娠囊;
前壁瘢痕处肌层连续性中断,肌层变薄;
彩色多普勒超声显示瘢痕处胎囊或包块周围见高速低阻血流,阻力指数一般为 0.4~0.5mJ。
*摘自剖宫产术后子宫瘢痕妊娠诊治 专家共识(2016),中华妇产科杂志,2016,51(8):568-572
下图是胎盘植入:

CSP的治疗
一旦确诊,尽早终止妊娠。
治疗原则:清除病灶、预防出血、保留生育功能和保障安全和生活质量。
目前主要有以下几种治疗方法:
双侧子宫动脉栓塞术(UAE)后清宫
腹腔镜、宫腹腔镜联合、经阴道或开腹行局部病灶切除术
药物治疗:甲氨蝶呤(MTX)全身或局部用药
关注:治疗方法的选择医生会根据您的情况来决定,您需要按照医生要求定期复查,进行超声和血β-hCG检查,直到β-hCG降至正常,超声提示病变局部血流信号完全消失且包块逐渐缩小。正常以后,要严格避孕,药物治疗者至少避孕半年,手术切除病灶者避孕两年。
剖宫产真的不是您想的那么简单,腹壁上有个瘢痕,也不只是有点难看,重要的是子宫上有个瘢痕,就会导致这样那样的问题,今天讲的瘢痕妊娠是最严重的远期并发症之一,以后有机会再讲讲其他一些并发症:腹壁瘢痕处子宫内膜异位,月经紊乱、瘢痕憩室等。相信,您知道了这些,就不难理解医生的良苦用心。