点击「神经介入在线」可快速关注
作者:莫大鹏、刘恋、徐晓彤、宋立刚、缪中荣(通信作者)
作者单位:首都医科大学附属北京天坛医院神经病学中心介入神经病学科
摘要
45岁女性患者诊断为良性颅内压增高和双侧横窦狭窄,临床表现为视乳头水肿和视力降落。腰穿压力大于300 cm H2O),MRV检查显示双侧横窦狭窄与颅内压增高有关。患者既往药物治疗史显示效果欠佳。经脑静脉窦造影并测压显示狭窄两侧压力差为28 mmHg。遂行右侧横窦支架植入术,术中测压显示压力差显著降至1mmHg。随访8月后,患者视力显著改善,造影复查显示支架通畅未见再狭窄发生。
【关键词】良性颅内压增高;核磁静脉造影;双侧横窦狭窄;支架术
病例介绍
患者,女性,45岁,主诉:发作性双眼视物模糊2个月。患者2个月前无诱因突发双眼视物模糊,自觉双眼下侧视野明显,视物不清,无头晕头痛、恶心呕吐、意识障碍、肢体无力等,症状持续约1min后可缓解,当时患者考虑劳累所致,未到医院诊治,但是上述症状未缓解,仍间断发作,每次持续1-3min后可缓解,发作频率逐渐增加,故于2014年02月25日就诊于当地医院,完善头颅CT未见明显异常,头颅磁共振提示“左侧横窦乙状窦纤细”。眼底检查提示“双侧视乳头水肿”,考虑“静脉窦血栓形成”于2014年03月05日入住当地医院,给予低分子肝素、华法林、甘露醇、甘油果糖等治疗19 d,症状无缓解,仍有双眼视物模糊发作。为求进一步诊治于2014年03月25日入我院。
既往史及个人史:发现低密度脂蛋白增高2个月,未服药降血脂。2008年因子宫肌瘤行子宫全切术。无高血压、糖尿病、脑梗塞、冠心病病史。 无吸烟、饮酒史。否认食物药物过敏史。
体魄检查:血压130/70mmHg,心率70bpm。一般情况好。视力:右眼 0.8;左眼 0.2;视野:右眼大致正常,左眼鼻侧相对暗点;眼底:双眼视盘边界模糊,肿胀充血明显。神经系统查体:神清语利,双侧肢体肌力正常,双侧病理征阴性,无脑膜刺激征。
实验室检查:血、尿、便常规检查结果正常。血脂:甘油三酯:2.48mmol/L,低密度脂蛋白:3.38mmol/L,C-反应蛋白:4.71mg/L。凝血象、血沉以及其他免疫功能检测未见异常。
辅助检查:心电图,胸片检查未见异常;眼底检查:双侧视盘水肿伴充血(图1);核磁检查:未见异常;磁共振静脉血管成像(MRV)显示:双侧横窦-乙状窦交界区狭窄(图2)
腰穿检查:测压约300 cm H2O,脑脊液检测未见异常。
入院诊断:颅内压增高;静脉窦狭窄:双侧横窦-乙状窦交界区狭窄。
治疗经过
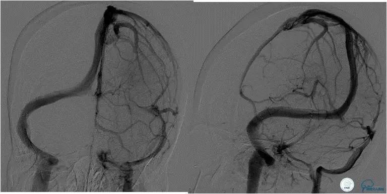
患者入院后,予以行脑动脉造影显示:右侧横窦和乙状窦交界区狭窄,左侧横窦和乙状长段重度狭窄(图3);经股静脉入路行右侧横窦和乙状窦测压显示狭窄两端压力差约为28 mmHg(图4)。遂予以阿司匹林100mg,每日一次,氯吡格雷75mg,每日一次。3d后在全麻插管下行右侧横窦-乙状窦交界处支架植入术。术中采用经右侧颈静脉入路,植入8~30mm 库克公司的ziliver支架,造影见右侧横窦-乙状窦交界处狭窄解除(图5),术中再次测压结果显示狭窄两端压力差约为1mmHg。术后自述双眼视物明显好转,但术后第3天眼底检查双视盘水肿较术前未见明显改善。
随访经过:3月后患者眼底检查双眼视盘水肿明显消退(图6),视力改善:右眼1.0,左眼0.4;8月后患者入院行脑血管造影(DSA)显示右侧横窦-乙状窦交界处支架通畅,未见再狭窄(图7)。

图1:术前患者眼底检查显示双侧视盘边界模糊,中央明显肿胀伴充血。

图2:患者术前MRV显示右静脉窦为优势侧,右横窦-乙状窦交界处明显狭窄,左侧横窦和乙状窦发育差,显示为长段狭窄。

图3:脑动脉造影静脉窦期显示右侧横窦-乙状窦交界区狭窄,左侧横窦显影差,左侧半球血流大部分经右侧静脉窦途径引流。

图4:经股静脉入路行右侧横窦-乙状窦狭窄处测压显示狭窄两端压力差为28mmHg。

图5:术中经右颈静脉入路植入8-30mm库克公司ziliver支架,见右横窦-乙状窦交界处狭窄明显解除,术中测压显示狭窄两端压力差约为1mmHg 。

图6:术后3月随访患者,眼底检查双视盘边界清楚,中央水肿明显消退;视力:右侧1.0,左侧0.4。

图7:术后8月随访患者,脑动脉造影显示右侧横窦-乙状窦交界处未见狭窄,支架内通畅良好,未见血栓形成和内膜增生。
讨论
近来文献报道静脉窦狭窄造成的颅内静脉窦高压与特发性颅内高压综合征(idiopathic Intracranial hypertension, IIH)相关[1]。静脉窦病变的诊断率较低,其在IIH发病中的作用被低估[2]。研究发现静脉窦狭窄可能参与了IIH的发病过程。有超过90%的IIH患者合并静脉窦狭窄,明显高于健康对照人群[3,4];并且静脉窦狭窄可以明显改变部分IIH患者脑静脉系统的血流动力学状况[5]。
行MRV或DSA检查可了解颅内静脉窦有无异常,尤其是3D钆增强MRV和旋转3D大剂量造影剂注射DSA新技术的应用,提高了诊断的准确性[6]。而静脉窦内逆行造影及测压术,更可以准确判断病变部位、狭窄程度、形态学特征及窦内压力变化,有助于了解狭窄的血流动力学意义[7]。
静脉窦内支架成形术适应症的关键点是术前必须证实局限性静脉窦狭窄在颅内压升高中起关键作用。压力测量则成为关键,压力差应达到一定程度,才有行支架置入术的指征。但到目前为止,仍没有公认压力差标准。文献报道支架治疗的病例较少,认为重度狭窄病例的压力差多超过15mmHg,提示此时静脉血流梗阻已造成了显著血流动力学障碍,在颅高压病理生理机制中起了重要作用,支架成形术解除狭窄,能获得良好效果[ 8 ~ 10]。
因此,针对症状持续加重的IIH应尽早进行DSA检查及窦内压测量,以确定有无手术适应证。压力差<15 mmHg,说明这可能是一种前致病态势或者已经形成了静脉回流的侧支循环,可予单纯的球囊扩张,也能降低颅内压缓解临床症状。但这个方法目前仍有争议,远期有效性尚待视察[11]。慢性形成的静脉窦血栓机化是支架植入术的适应证,在支架置入前予以机械性碎栓,目的是使支架扩张更充分,窦道打开更完全。
在支架选择上,应根据病变的大小、位置及性质,结合各种支架的特性而定。针对乙状窦、横窦的局限性狭窄,支架容易到位,且需要的管径较大而扩张力要求不高,选用自膨式支架,必要时可辅助球囊扩张成形术。支架术后,针对患者口服双抗的时间以及支架术后再狭窄的问题尚不明确。
参考文献
1. Higgins JN, Cousins C, OwlerBK, et a1. Idiopathic intracranial hypertension: 12cases treated byvenous sinusstenting. J Neurol Neurosurg Psychiatry, 2003, 74:1662-1666.
2. Karahalios DG,Rekate HL,Khayala MH,et a1.Elevated intracranial venouspressure as a universal mechanism in pseudotumorcerebri of varying etiologies.Neurology,1996,46:198-202.
3. Farb RI, Vanek I, Scott JN,et a1.Idiopathic intracranial hypertension:the prevalence and morphoiogy of sinovenous stenosis.Neurology, 2003, 60: 1418-1424.
4. Higgins JN, Gillard JH, OwlerBK, et a1.MR venographyin idiopathic intracranial hypertension: unappreciated and misunderstood.J NeuroI Neumsurg Psychiatry, 2004, 75:621-625.
5. Bateman GA.Arterial inflow and venous outflowin idiopathic intracranial hypertension associated with venous outflow stenoses.J Clin Neurosci, 2008, 15: 402-408.
6. Owler BK,Parker G,Halmagyi GM,et a1.Pseudotumor cerebri syndrome:venous sinus obstruction and its treatment with stent placement.J Neuresurg.2003.98:1045-1055.
7. Kollar C,Parker G,Johnston I.Endovascular treatment of cranial venoussinus obstruction resulting in pseudotumor syndrome.Report of three cages.J Neurosurg,200l,94:646-651.
8. Donnet MD,Metellus MD,Levrier MD,et a1.Endovascular treatment of idiopathic intracranial hypertension.Neurology,2008,70:641-647.
9. King JO,Mitchell PJ,Thomson KR,et a1.Manometry combined with cervical puncture in idiopathic intracranialhypertension.Neurology,2002,58:26-30.
10. Higgins JN.Owler BK,Cousins C,et a1.Venous sinus stenting for refractory benign intracranialhypertension.Lancet,2002,359:228-230.
11. Johnston I, Kollar C, DunkleyS, el a1. Cranial venous outflow obstruction in the pseudotumour syndrome:incidence, nature and relevance. J Clin Neurosci, 2002, 9: 273-278.