老李很奇怪,他压根就没有受过伤,怎么突然就脚底板疼了起来。就是这两天走的稍多了点,也不知道为什么脚底板就开始疼了,走路踩地就疼,尤其是早晨起床脚一踩地,那酸爽简直了,刚下地的前几步走起来疼的都瘸了,慢慢走多了也觉得疼痛好点了,但是还是脚底板脚心那块疼。

工作忙,没法请假,也不想为这么点事儿休假,老李就去药店买了跌打损伤的外用药擦上,可是两周过去了,疼痛还是那样一点都没缓解。老李的媳妇说,这该不会是里面长了骨刺吧,还是去医院看看吧。没办法,老李只好请假去医院。挂号排队检查一番,医生给了老李一个听都没听过的病名:“足底筋膜炎”。老李一脸懵拿啥,这东西到底是个什么鬼?
说出来你可能不信,但是事实[1]却是:
这一生中,每10个人里,就有1个人,会得上我们今天要说的这个病——足底筋膜炎。
是的,现实生活中很多人都曾经或正在受到足底筋膜炎的困扰,尽管我之前曾经介绍过这个疾病,但最近后台很多朋友私信留言还在询问足底疼痛的问题,所以今天,咱们就来说一说这个困扰着1/10人的疾病:足底筋膜炎。

1、是什么鬼?
我们脚底板的皮肤下面,除了脂肪外,还有一层厚厚的有韧性和弹性的“筋”(如下图),我们就管这个筋叫“足底筋膜”,也叫“跖腱膜”。

这个筋的用处大了,它就像弓的弦一样,连接着足弓,向前连着脚前掌,向后连着脚后跟。因为它的存在,我们的足弓就会有弹性,这样才能更好地跑跳运动。
但是吧,筋这东西有个缺点,就是它之所以白白的,就是因为上面血管少,血液循环不好,所以自我修复能力较差。一旦发生了急性损伤,或者慢性长期劳损,这玩意就容易出现发炎、变性,甚至坏死。
而它最容易,也是最常见发炎的部位,就是足底筋膜和脚后跟连接的地方。表现出来,就是下图中蓝色圆圈标记的区域。

是的,上图脚底蓝色圆圈画出的区域,就是足底筋膜炎最常见的疼痛和压痛部位。当然也有部分人是在脚心甚至脚前掌的的,但并如上图脚后跟区域那么常见。
所以,说白了,所谓的“足底筋膜炎”或“跖腱膜炎”,其实就是脚底里面的筋,由于慢性反复牵拉劳损了,发炎了。
2、怎么确定?
文章开头提到的老李,他所体验到的,就是足底筋膜炎的典型症状表现。
是的,就是脚底板靠后位置区域疼痛,一般都有疼痛之前长距离行走,或者活动量增加的病史。主要表现为下地走路,运动开始的时候脚底板疼痛明显,稍微活动一会后会稍微缓解些,但疼痛依然存在。最典型的,就是早晨下床的头几步,钻心的疼,非得走两步后才能慢慢缓解些。
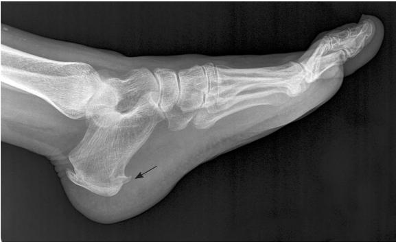
如果去医院拍片子,可能会发现如下图一般的跟骨骨刺(黑箭头所示)。

但是,一定关注:
并不是因为长骨刺,才得了足底筋膜炎。因为很多没有任何症状的人也会有这里的骨刺,而很多有足底筋膜炎的患者并没有跟骨骨刺。所以无论是疾病病因,还是后面的治疗,都跟这个骨刺没多大关系。哪些告诉你说能消骨刺治这个病的,别信就好。
如果查磁共振(尽管一般不会),会在片子上看到下面的景象,也就是足底筋膜在脚后跟区域有明显的炎症水肿。

3、怎么办?
是的,这病怎么治,这才是大家真正关心的问题。咱们就来好好说一说:
(1)休息
首先,请大家不要担心这个病。因为业内认为,足底筋膜炎其实是一种自限性疾病,也就是和感冒一样,即便你不去管它,只要休息的好,它自己也能好的病。
这里很多人肯定就不服气了:怎么可能!?我脚底板都疼了半年多,歇了好几个月了,啥药都用了也没见好,你在这跟我扯它自己能好?忽悠谁呢?
之所以会出现这种现象,主要原因有两方面:
一是这个病虽然是自限性疾病,但自然病程比较长,一般会有半年到2年,所以长期的疼痛很难让人放心;另一个就是,由于很多人每天还要生活工作,尤其是要长距离行走,足底筋膜仍在持续的受到反复牵拉刺激,这也是疾病迁延不愈的重要原因。
所谓的休息,要求我们尽可能去避免一切引起疼痛的动作。但是却又不能完全的一点不动,还要做相应的专门的康复锻炼。
(2)锻炼
这里推荐两个最简单,也是最有效的康复锻炼方法:足底筋膜拉伸和踩球。

如上图所示,找个楼梯,手最好扶着楼梯扶手或墙避免摔倒。将好的那只脚抬起来,疼的那只脚只用脚前掌踩台阶。这样,可以尽可能的拉伸足底筋膜和小腿后方肌肉群,从而有效的改善症状,缓解病情。
除此之外,您可以找个相对网球甚至笔筒,放在脚底,没事儿的时候来回踩一踩,挤压按摩拉伸下足底筋膜,效果也非常棒。

另外,在家没事多练习用脚趾头抓抓毛巾之类的软物,可以锻炼到脚底肌肉群,也可以非常好的缓解病情。
(3)药物
针对疼痛症状明显的患者,我们一般建议口服非甾体类抗炎药,比如布洛芬、洛索洛芬钠等。疼痛特别明显或有特殊要求的,可以考虑局部注射类固醇(也就是老百姓所说的打封闭)。
(4)特殊的鞋垫和支具


如果还想获得更好的治疗效果,可以到医院找专业医生获取更专业的足底保护鞋垫和相应的固定支具。这些东西可以让你的疾病康复的更快,当然也要花更多的钱。

(5)要不要手术
一般不需要,除非是特比严重,而且怎么保守治疗都没有缓解,患者有强烈要求,才考虑手术。而且即便是手术,也要优先选择微创手术,也就是等离子射频消融手术,其治疗效果还是比较好的。
#真相来了#
参考文献
1. Thomas Trojian, Alicia K Tucker.Plantar Fasciitis. Am Fam Physician. 2019 Jun 15;99(12):744-750.