点击右上角立即关注,更多健康内容不再错过,不定期惊喜送给你
肺结核的治疗过程是十分漫长的,因为肺结核有不同的类型,治疗起来比较麻烦。在临床上,患者急于治愈,使用不同的方法进行治疗,这样导致了肺结核病情严重。就算治好一段时间后会出现复发的情况。下面我们就来了解一下肺结核治疗时需要关注什么。

1、状被误认为感冒
肺结核最多发生在肺部,肺结核最常见的症状是咳嗽,而咳嗽这个症状刚好也是感冒的症状,这就是普通百姓最容易耽误就诊,甚至拖很长时间不去医院治疗的原因。
2、状好了就可以停药
有些患者服用抗结核药物1-2个月后,感觉症状完全没有了,以为病好了,就停药,其实结核菌是很顽固很难杀灭的一种细菌,服1-2个月的药只是把它们大部分杀死,完全有可能死灰复燃,所以必须至少服药治疗6个月,然后由专科医生评估是停药还是延长疗程(严重情况需延长)。

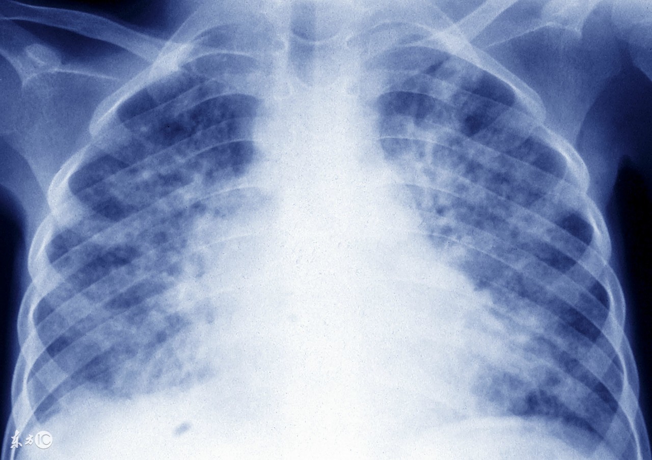
3、当成陈旧性肺结核
若胸片有异常,应到肺科专科医院进一步详细检查,切忌草率下结论“陈旧性肺结核”,是否“陈旧”需经过一系列检查才能确定的,比如PPD皮试、痰结核菌、胸部CT等,所谓“陈旧性肺结核”其中一些是活动性的,是肺结核早期、或陈旧肺结核复发了。

4、结核死不了几个人
过去人们认为癌症最可怕,一旦得了癌症就等于判了死刑,所以谈癌色变,至于肺结核普遍认为不是绝症,即使一下子治不好,也死不了人。
上面就是肺结核的关注事项,患者在治疗的时候,需要避免以上的内容,只要大家选择正规的医院进行治疗,就提高治愈的机率。
注:文中图片来自网络,如有侵权请联系删除