
神经内分泌肿瘤(neuroendocrine neoplasm,NEN)罕见,在全部恶性肿瘤中的比例不够1%,多发生于胃、肠、胰腺、肺部。虽然神经内分泌肿瘤不像胃癌、肝癌、肺癌那么多见,但是,也并不像我们原先想像的那么少见。随着越来越多的临床大夫关注及检测手段提升,发病率逐年提升趋势。

肺神经内分泌肿瘤病理分型
肺神经内分泌癌病理类型可分为类癌(G1)、不典型类癌(G2/G3)、小细胞神经内分泌癌(简称为小细胞癌)及大细胞神经内分泌癌。由于神经内分泌肿瘤的发病部位、临床表现、病理学特征、恶性程度及预后差异较大,临床上对其认识尚不充分,易出现误诊、漏诊。
典型病例
例1:肺小细胞神经内分泌癌(NEC)伴上腔静脉综合征
- 老年男性,胸闷、气促、咳嗽1月余。
- 增强CT示右前上纵隔肿物,侵犯压迫上腔静脉;PET-CT显示右前上纵隔高代谢病灶。
- CT引导下肿物穿刺活检病理显示:小细胞神经内分泌癌(Ki-67约80%),考虑肺来源。

CT引导下穿刺活检

DSA下行支气管动脉化疗灌注治疗

术前CT显示纵膈肿物,包绕、压迫纵膈血管

术后1个月复查CT显示纵隔肿瘤较前明显缩小,临床症状明显缓解
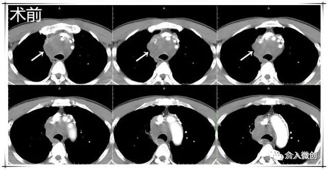
例2:左肺小细胞肺癌放化疗后进展
中年男性患者,左肺小细胞肺癌(局限期),经过EP方案化疗7周期,期间配合同步左肺及纵隔病灶外放疗。治疗后期左下肺病灶持续进展,经调整化疗剂量仍反复出现严重不良反应,无法耐受进一步静脉化疗。

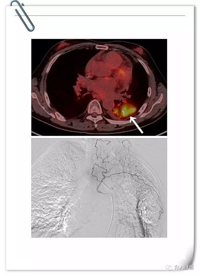
最终患者寻求介入微创治疗,术前PET-CT示左下肺高代谢病灶。DSA下行左支气管动脉化疗灌注术。考虑既往患者多程化疗后出现多次严重骨髓抑制,骨髓造血功能已严重受损,将其化疗剂量降至常规静脉化疗方案剂量的一半!

患者顺利完成2周期动脉灌注化疗,耐受性良好,无明显化疗毒副反应。术后1月后复查CT示左下肺病灶基本消失,术后随访3年余病情一直持续稳定,疗效评价完全缓解。

例3:肺神经内分泌瘤(G1)术后肝、骨多发转移
- 中年男性,左下肺类癌(G1)切除术后6年余。
- PET-CT显示肝内见多个结节状及块状低密度占位性病变,大部分病灶代谢增高,部分病灶代谢未见增高,考虑为肝脏内多发转移灶。
- 肝脏转移瘤行多次介入栓塞治疗,控制良好。

肺神经内分泌瘤(G1)
例4:右肺不典型类癌(G2)并多发脑转移
中年女性,头晕、头痛伴肢体乏力1月余。肿瘤标志物不同程度升高。

肿瘤标志物全套
颅脑MRI显示多发颅脑转移

肺部CT显示右上肺恶性肿瘤并右肺门、纵膈淋巴结转移

肺窗

动脉期

静脉期
CT引导下右肺肿物穿刺活检病理:不典型类癌(Ki-67 约55%)。

病理检查
治疗方案:全身化疗(替莫唑胺+卡培他滨)联合颅脑局部放疗。
