全球抗生素耐药情况愈演愈烈,进行规范化的抗生素管理越发重要。日前美国医学网站 Medscape 刊登了一篇临床病例报道,来看看你是不是能做出正确的诊断吧。
《美国医学网三个病例告诉你,正确使用抗菌药,5分钟科普(上)》
病例 4: 89 岁男性,有癫痫病史
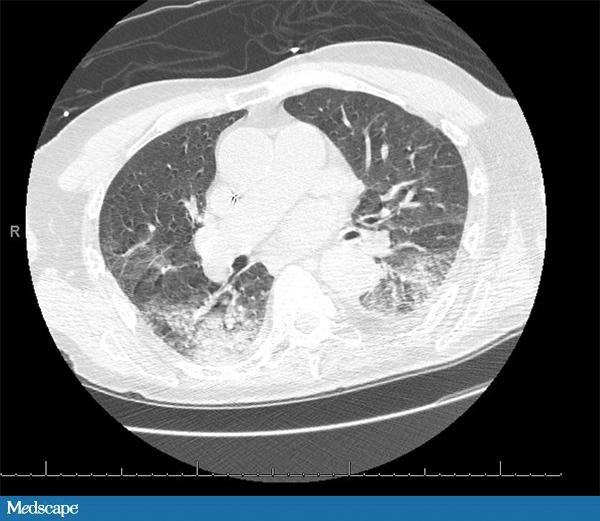
89 岁男性,有房颤、癫痫、痴呆病史。家属发现其昏迷并伴有右侧上下肢震颤,送至急诊科。患者的抗癫痫药于发病前一天吃完。体查示患者低烧(37.9°C),血压、心率、呼吸均正常。就诊时仍处于癫痫发作态势,遂予劳拉西泮解痉。患者白细胞 20,700/µL,中性粒细胞 77%。血红蛋白和血小板均正常。肌酐轻度升高(1.5 mg/dL)。心电图示房性节律,ST-T 波广泛性改变。肌钙蛋白 >40 mg/dL。CT 示“可能由吸入引起的双肺实变”。患者收入重症监护室。予头孢曲松控制肺炎,当晚换成舒巴坦。次日早晨,患者情况稳定,白细胞恢复正常。此时应如何进行下一步处理?



患者的临床症状和 CT 均提示轻度吸入性非细菌性肺炎(编者注:pneumonitis,这里应关注与 pneumonia 相区分,前者通常指吸入性的非感染性的炎症,比如胃液腐蚀性的;后者 pneumonia 常指感染性的肺炎,下文中同),这种情况可以发生于意识丧失期间。患者最主要的问题是心脏,白细胞升高很可能是心梗(肌钙蛋白阳性)造成。无发热且无明显的 CT 发现提示肺炎的可能性不大。另外,如果是常规感染性肺炎,白细胞不太可能这么快恢复正常。
吸入性非细菌性肺炎(pneumonitis)是吸入返流的胃内容物造成的,需进行气道管理。预防性使用抗生素不会对病情有利,反而会筛选出更加耐药的微生物。吸入性非细菌性肺炎是一种化学炎症反应,而通常所说的吸入性肺炎(pneumonia)是一个感染过程,二者常常混淆。通常所说的吸入性肺炎由吸入口咽部的分泌物导致,常见于神经性吞咽困难、胃和食管连接异常或上呼吸消化道解剖形态异常的患者。和吸入性非细菌性肺炎不同,通常说的吸入性肺炎需要抗生素治疗。我们可以通过发热、脓性分泌物和呼吸窘迫(呼吸急促、缺氧)与否对二者进行鉴别。
病例 5:老年男性,双侧下肢水肿
94 岁男性,患有骨髓纤维化(白细胞增多,血小板增多),就诊前数周双下肢末端水肿逐渐加重。就诊医生开处呋塞米和钾帮助减轻水肿。之后双腿发红,皮温增高,水肿,无发热、畏寒或明显疼痛。因疑似蜂窝织炎收入院前 3 天开始使用左氧氟沙星。症状无缓解,家庭医生认为需静脉给药而建议患者去急诊科。就诊于急诊科时,患者体温正常。双侧下肢肿胀,右侧红斑更为严重。患者无发热,生命体征正常。双侧下肢出现轻度红斑和肿胀,右侧较左侧严重。患者白细胞正常。诊断为蜂窝织炎,开始使用万古霉素和头孢唑林。以下哪项处理正确?



患者病情呈进行性,双侧,无明显疼痛,无压痛或发热,因此细菌性蜂窝织炎可能性不大。细菌性蜂窝织炎缺乏金标准,典型特征是患肢突发疼痛、肿胀和红斑。有一点很重要,蜂窝织炎从来不会出现在双侧。很多炎性皮肤病需要与蜂窝织炎相鉴别,常见的包括慢性静脉瘀滞,糖尿病人的类脂质渐进性坏死,接触性皮炎,湿疹性皮炎,淋巴水肿和脂性硬皮病。这些疾病均不需要抗生素治疗。最近有研究称 30% 的疑似蜂窝织炎为误诊,实际上这个比例要高得多。
病例 6:糖尿病患者出现鼻窦性头痛
55 岁男性,长期 2 型糖尿病病史发生酮症酸中毒就诊于急诊科。患者并未规律控制血糖,对糖尿病药物依从性差。患者曾于上周就诊于急诊科,当时诉鼻窦压力增高性头痛,鼻涕粘稠,伴发热。予阿莫西林 - 克拉维酸 10 天,强的松 40mg/ 天口服。使用抗生素 5 天后,症状加重,现患者右侧鼻孔至眼睛处出现红斑和水肿。在急诊科,患者静滴胰岛素以缓解酮症酸中毒,行复苏补液。一位耳鼻喉医生建议静滴左氧氟沙星 500mg/ 天来治疗疑似的耐药菌鼻窦炎。以下哪项处理正确?


规范抗生素使用最基本的是做出正确的诊断。这个病例中,患者糖尿病病情控制不佳,现发生酮症酸中毒。广谱抗菌治疗最初诊断的急性细菌性鼻窦炎效果不佳,感染加重,水肿范围扩大至眼眶。基于现有的信息,最需要排除的诊断是毛霉菌病。处理重点应该在积极地诊断性检验(内镜活检)和开始抗真菌治疗。将阿莫西林克拉维酸改为左氧氟沙星可以更强地抑制假单胞菌,但社区获得性感染不太可能是铜绿假单胞菌感染。因此,左氧氟沙星的剂量和疗程与病情无关。将左氧氟沙星改为哌拉西林他唑巴坦可以更强效覆盖革兰阳性菌和厌氧菌,但阿莫西林克拉维酸已经覆盖革兰阳性菌和厌氧菌,却并没有疗效。该病例的关键在于进行真菌感染的诊断试验,如果诊断成立,要立即进行抗真菌治疗。
上面这些病例并不罕见,每天都出现在世界各地的医院中。由于误诊导致的误用药物种类、剂量和疗程的情况一直都在发生,希望这几个病例能让大家意识到正确诊断的重要性。