主诉:
间断呕血4年,再发1天。
现病史:
患者4年前出现呕暗红色血液,伴有黑便、头晕、乏力、心慌,以“乙肝肝硬化并上消化道出血”收住院,腹部超声:肝大小正常,图像符合肝硬化伴增生结节形成。乙肝五项定量:HBsAg(+),HBeAg(+),HBcAb(+),上腹部增强CT:肝硬化伴多发再生结节形成,建议密切随诊,脾脏低密度影,不除外囊肿或血管瘤可能,脾大、门静脉高压、腹水、食管胃底静脉曲张,胆汁淤积。期间给予抗感染、止血、抑酸、降低门脉压力等治疗10天,病情好转出院。出院后患者坚持口服“恩替卡韦”抗病毒治疗。
3年前,患者再次出血,收治于我院传染科,行胃镜:食管上中下段可见多组曲张静脉,迂曲呈结节状或蛇形,最大直径约1.2cm,红色征阳性,胃底四壁可见曲张静脉,红色征可疑阳性,给予抗感染、止血、抑酸、降低门脉压力、胃镜下止血等治疗。出院后一般情况良好。
1天前,患者再出出现呕血伴黑便,无意识不清,就诊于我院急诊科,给予药物止血治疗。为进一步治疗,再次以“上消化道出血,门脉高压症,肝炎肝硬化失代偿期”收住院。
既往史
乙肝病史10余年,口服恩替卡韦治疗。
专科情况
腹平坦,未见肠型及胃肠蠕动波,未见腹壁静脉曲张;腹柔韧,全腹部无压痛及反跳痛,未触及包块,肝肋下未触及,脾肋下5cm可触及,肝区无叩痛,肾区无叩痛,移动性浊音阴性;肠鸣音4次/分。肛门及外阴未见异常。脊柱、四肢无畸形,活动自如,四肢活动自如,双下肢无水肿。
辅助检查
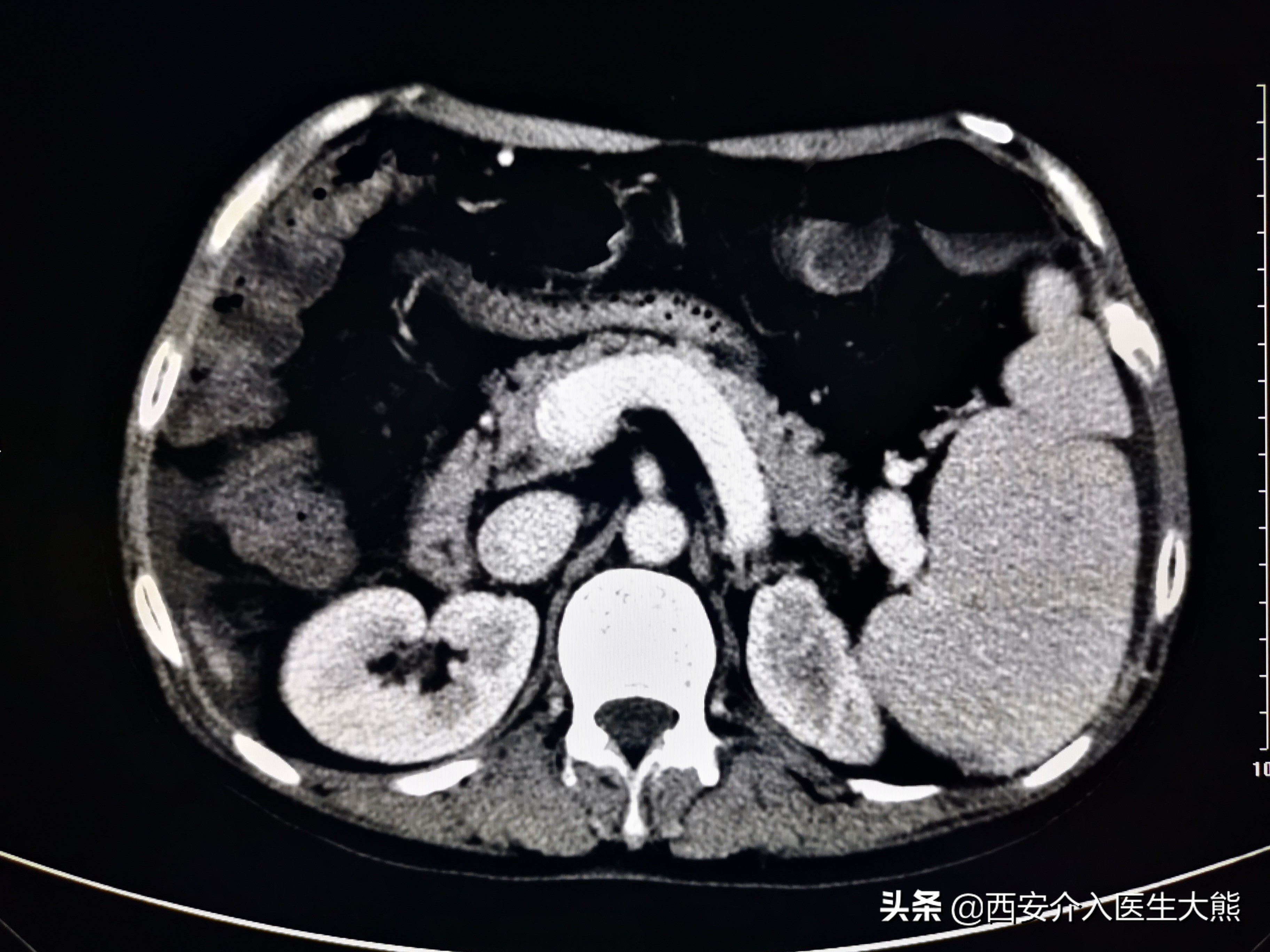
1、CT(2021-11-8):(1)、肝硬化(脾大、门静脉高压、食管胃底静脉曲张,门静脉高压。胆汁淤积,胆囊壁水肿性改变;左肾萎缩,左肾盏结石;(4)、膀胱导尿术后改变;子宫显示不清;直肠CT平扫未见异常。

2.2018年上腹部增强CT:1、肝硬化伴多发冉生结节形成,建议密切随诊;牌肚低岔)度款,个陈外寒肝%皿宫溜可能;胖入、l汗淤积;2、双肺野胸膜下渗出性改变:右侧胸膜腔少量积液。

缩小硬化的肝脏

扩张的脾静脉

扩张的胃底静脉
3.术中DSA:

扩张的脐静脉

扩张的没静脉和胃冠状静脉

扩张的胃冠状静脉

TIPS和食管胃底静脉栓塞术后
体会
食管胃底静脉曲张破裂出血是肝硬化门脉高压症的严重并发症,导致极高的死亡率。针对50%的肝硬化患者往往存在食管胃底静脉曲张。每次静脉曲张出血的6周病死率为15%~20%,1年的再出血率为60%。
经颈静脉门体分流术(TIPS)是在肝静脉和门静脉之间创建引流通路,降低门脉压力的方法。1988年,TIPS首次应用于肝硬化合并静脉曲张出血的治疗。其降低门脉压力效果显著,控制食管胃底静脉曲张破裂出血成功率高,被越来越多应用于肝硬化门脉高压症的治疗。有学者对实施TIPS治疗的食管胃底静脉曲张破裂出血的患者进行视察,发现TIPS出血控制率在90%以上。
2010年,一篇关于早期TIPS的文章在新英格兰医学杂志发表。该研究为随机对照试验,由5个欧洲国家的9个临床中心参与完成,该研究认为,Child-Pugh C级患者,或Child-Pugh B级伴有诊断性内镜下活动性出血患者,TIPS较药物或(和)内镜疗能显著降低出血控制失败率、再出血率及病死率,而两组的肝昏迷并无统计学意义。所以,目前目前的治疗策略为:当急性静脉曲张破裂出血发生在Child-Pugh C级或Child-Pugh B级(≤13分)的患者时,TIPS应当做一线治疗方案。
这名患者的治疗过程就符合该治疗策略。术前的CT平扫已经显示极度扩张的胃冠状静脉,这在DSA影像上得到证实。2018年患者第二次出血时做的增强CT上已经显示出患者的胃冠状静脉扩张。此时,已经具有行TIPS的指征。在经过3年的变化后,病情是急剧加重。如果出血剧烈、生命体征不平稳,或各种原因导致不能行急诊胃镜的情况下,不要错过TIPS降低门脉压力的机会。
胃镜和增强CT是评估患者病情的重要措施。该患者由于病情严重,每一次搬动,都增加了患者再次出血的风险,所以未能完善这2项检查。但是CT平扫的结果证实门静脉及属支的扩张,在某种程度上替代了胃镜的作用。但是不能忽视的是,仍有部分患者可能是消化道溃疡导致出血。根据目前指南的推荐,在病情允许的情况下,应该尽早完善胃镜检查和增强CT。如果病情不允许,普通CT平扫亦能提供部分诊疗信息。
中国约10%的人口患有乙肝,乙肝导致的肝硬化、门脉高压症、消化道出血的患者也越来越多。家属对肝硬化门脉高压症的正确认识,能让病人及时送到大的肝病救治中心,这是救治的前提。而急诊科医生对病因的正确判断和休克的正确救治使得提高救治成功率成为可能。介入医生能迅速、准确、有效实施TIPS是关键。