来源:肿瘤资讯
【35 under 35】风采展示第二轮已经开始啦!本轮正经名叫“病例实战分析”,不正经名叫“互相伤害”,哈哈哈~100位入围选手每人提交一个有意思的病例,并就病例提出一个问题,形成一个病例库!然后100位入围选手从病例库中任意选择一个非自己提供的病例进行解读并回答问题!最后,我们将显现病例+别人的点评+病例提供者自己的点评,同步展示!

100位小伙伴已将自己的病例提交,并提出了问题,让我们一起先阅读下精彩病例吧!
患者,男性,15岁,因“左股骨骨肉瘤术后18月余,气胸引流2周”,于2017年6月29日于我院就诊。
既往史:
2015年11月27日:因“左髋疼痛1年,加重1周”于本院初诊,穿刺病理提示“普通型骨肉瘤”,诊断“左股骨近端骨肉瘤(T2N0M0 G2 IIB期,ECOG 1分)”。
2015年12月04日:行术前化疗4次:2015-12-04 ADM 135mg + DDP 180mg;2015-12-23 MTX 10g;2015-12-29 MTX 18g;2016-01-14 ADM 135mg + DDP180mg。
2016年01月28日:行左股骨肿瘤瘤段切除+假体置换术。
2016年02月14日:行术后化疗9次:2016-02-14 ADM 120mg + DDP 180mg;2016-03-04 IFO 20g;2016-03-27 LADM 60mg + DDP 170mg;2016-04-17 IFO 20g;2016-05-06 LADM 60mg + DDP 180mg;2016-05-26 IFO 20g;2016-06-17 LADM 60mg + DDP 180mg;2016-07-14 IFO 20g;2016-08-04 LADM 60mg + DDP 160mg。
2016年08月10日:复查肺部CT,提示“左肺下叶小结节”,诊断为骨肉瘤肺转移
2016年08月27日:行左肺转移灶切除术;术后病理示符合骨肉瘤肺转移。
2016年09月19日:行术后化疗8次:2016-09-19 GEM 1.6g;2016-09-26 GEM 1.4g + TAT 120mg;2016-10-13 GEM 1.6g;2016-10-20 GEM 1.4g + TAT 120mg;2016-11-07 GEM 1.6g;2016-11-14 GEM 1.6g + TAT 120mg;2016-12-05 GEM 1.6g;2016-12-12 GEM 1.6g + TAT 120mg。
2017年01月17日:发现左侧髋部软组织肿块,诊断为骨肉瘤局部复发。
2017年02月09日:行左髋软组织肿块切除术,病理提示“普通型骨肉瘤”。术后未行化疗。
2017年04月09日:复查肺部CT提示肺部转移瘤增大增多。开始予甲磺酸阿帕替尼口服500mg每日。
2017年05月12日:复查肺部CT提示双肺转移瘤较前缩小,左肺尖气胸,压缩5%。
2017年06月15日:肺部CT提示双肺气胸,压缩超过40%,行双肺气胸置管引流,每日引流双侧均为0ml。
(身高1.75m 体重60kg)
入院评估:
一般情况:体质指数(BMI)21.22kg/m2 ,营养风险评分(NRS)4分,日常活动能力(ADL)评级II级,东部肿瘤协作组(ECOG)评分2分,体表面积(BSA):1.75m2 。
体魄检查:体温37.2℃,呼吸19次/分,脉搏78次/分,血压121/76mmHg,皮肤巩膜无黄染,全身未及肿大淋巴结,心率78次/分,律齐,各瓣膜听诊区未及杂音;呼吸略急促,可见双肺胸腔引流管置管,双肺肺听诊呼吸音降低,腹部平软,未及肿块,无压痛反跳痛,肝脾膈下未及。
专科检查:左髋外侧可见既往手术瘢痕,双下肢不等长,左下肢较对策短缩约3cm,左下肢肌力4级,Harris髋关节评分84分。双下肢感觉可,足背动脉搏动可及。
入院检查:血尿粪3大常规、肝肾功能、凝血谱、肿瘤标志物等检查发现以下异常:碱性磷酸酶(AKP)691 U/L,C反应蛋白(CRP) 98.3mg/L,中性粒细胞比例(NE)71.1%,血沉(ESR) 80 mm/h, 白介素-6(IL-6) 168pg/ml,降钙素原(PCT) 0.154 ng/ml。
手术病理结果
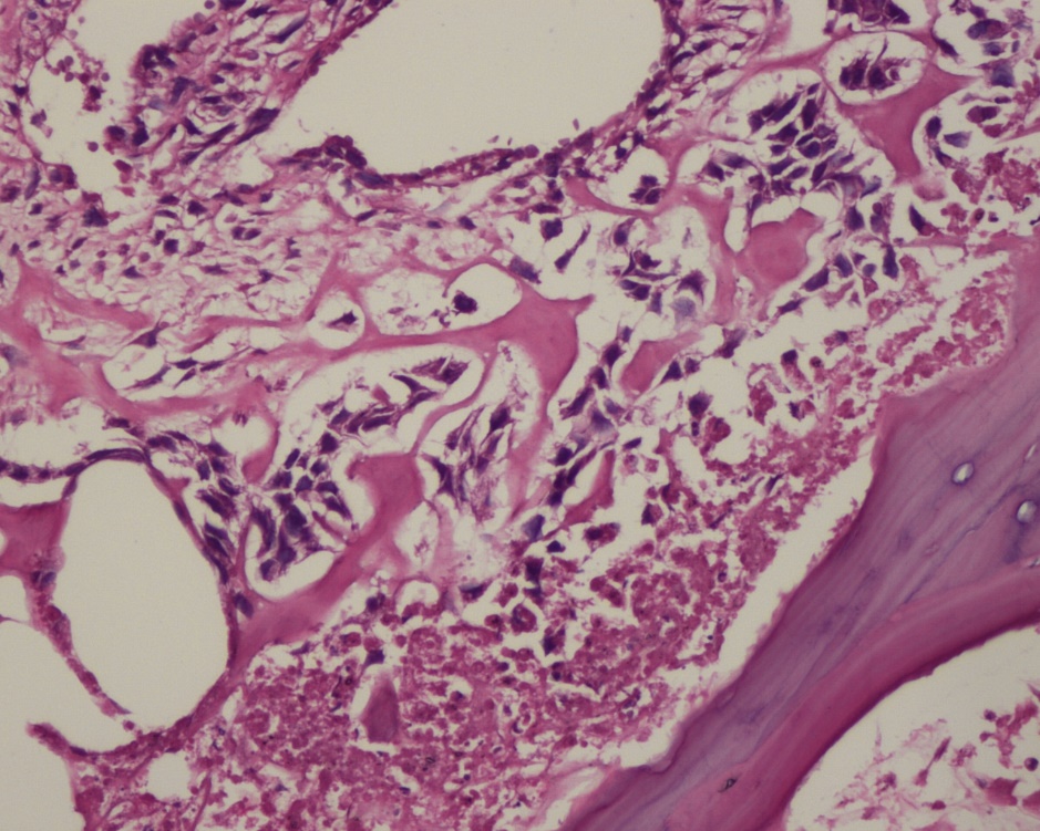
2015年11月27日,术前穿刺(15-33815):(左侧股骨)普通型骨肉瘤。免疫组化结果:CK(-),Vim(+),DES(-),S-100(-),kp-1(±),Ki-67(+约20%)
2016年01月28日,手术病理(16-02811):(左股骨近端)普通型骨肉瘤(成骨细胞型),伴化疗后改变(肿瘤组织内残留大量骨样基质,伴纤维组织增生,局灶区伴出血,部分纤维间质内散在核大、异性肿瘤细胞,未见明显肿瘤细胞的坏死、机化区域约占50%)。

影像学:
2017-7-17 骨盆CT增强及X线

影像所见:A.左髋人工关节置换术后。左侧髂腰肌及下腹壁软组织肿块影。增强后边缘强化。余骨盆诸骨未见异常。膀胱、前列腺及精囊未见异常。直肠及乙状结肠未见异常。盆腔未见腹水。B.双肺多发结节及肿块影,病灶大小较2017-6-29相仿。双侧气胸引流中,双肺压缩较前加重,双肺压缩约50%。C. 双肺多发大小不等结节及肿块影,最大者位于左肺下叶外基底段,直径约16mm,中央伴钙化。双肺门、纵膈内未见肿大淋巴结。心影及纵膈内大血管未见异常。未见胸腔积液。D. 左髋关节置换术改变。
影像学诊断:左髋人工关节置换术后。左侧髂腰肌及下腹壁软组织肿块,考虑局部复发。双肺转移灶、双侧气胸引流中。
诊断:左股骨骨肉瘤(cTxN0M1 G2 IVB期,ECOG 2分)
左股骨肿瘤髋关节置换术后复发
双肺转移瘤
双肺气胸
提问:患者下一步治疗方案及治疗方案依据?
欢迎“35 under 35”最具潜力的青年肿瘤医生对本病历开展点评!更欢迎广大肿瘤专家在本文下方留言点评!
版权声明版权属肿瘤资讯所有。欢迎个人转发分享,其他任何媒体、网站如需转载或引用本网版权所有内容,须获得授权,且在醒目位置处注明“转自:良医汇-肿瘤医生APP”。