
作者:付茂亮 山东省东阿县人民医院
本文为作者授权发布,未经允许请勿转载。
导读:低钠血症是临床上常见的电解质紊乱,然而补钠不像补钾补钙那么简单,补钠稍有不慎就有可能危及患者的生命安全,诱发各种基础疾病 和并发症,甚至导致死亡。今天就来说说临床上如何补钠。
低钠血症是怎么回事?
低钠血症是指各种原因导致血清钠低于正常范围,血钠水平<135mmol/L,伴或不伴有细胞外液容量改变的临床状况。
低钠血症如何分类
根据血渗透压与低钠血症之间关系,可将低钠血症分为低渗性低钠血症、等渗性低钠血症和高渗性低钠血症。根据细胞外液容量的状况又可以将低渗性低钠血症分为低容量性、等容量性和高容量性低钠血症。
按照化验室血钠水平分类:血钠130-135mmol/L为轻度低钠血症;血钠125-129mmol/L为中度低钠血症;血钠<125mmol/L为重度低钠血症。
当血钠>125mmol/L时,患者多不会出现低钠血症的临床表现。血钠<125mmol/L时,会出现食欲不振、恶心、呕吐、乏力的表现。血钠<120mmol/L时,会出现凝视、共济失调、惊厥、木僵等表现。血钠<110mmol/L时患者会出现昏睡、抽搐、昏迷的症状。
根据电解质紊乱进展速度来分:低钠血症存在<48h为急性低钠血症;低钠血症存在≥48h为慢性低钠血症。
根据有无临床症状分类:轻度症状低钠血症、中度症状低钠血症、严重症状低钠血症。
轻度症状低钠血症:出现关注力不集中、易怒、性格改变、抑郁。中度症状低钠血症:出现恶心不伴呕吐、意识模糊、头痛。严重症状低钠血症:出现呕吐、心脏呼吸窘迫、异常和深度嗜睡、癫痫、昏迷(Glasgow评分≤8分)。
治疗要遵循个体化原则
低钠血症的治疗不可盲目,应根据病因、低钠血症的严重程度、发病速度快慢采取不同的处理方法。急性重症的低钠血症应紧急治疗,慢性轻症的低钠血症应慢性治疗。低钠血症的治疗强调个体化,但总的治疗措施包括:对症治疗,寻找病因,治疗原发病,祛除诱因,治疗并发症。
如何应对并发症
过快纠正低钠血症可能导致渗透性神经系统脱髓鞘疾病。
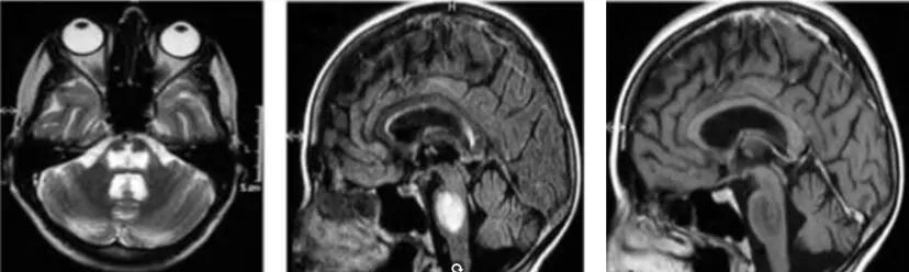
慢性低钠血症患者快速补钠后,逆转细胞内外渗透梯度,引起脑细胞脱水及萎缩,从而引起中央脑桥脱髓鞘症(图1)。临床表现:在原发病基础上,突然出现四肢弛缓性瘫痪,咀嚼、吞咽及言语障碍,眼球震颤,眼球协调运动障碍,缄默,完全或不完全闭锁态势。预后差,死亡率极高,数日-数周内可以导致死亡。治疗:支持、对症治疗为主。甘露醇、速尿、大剂量激素冲击治疗、高压氧、血浆置换治疗。2007年低钠血症指南要求24小时内钠浓度增加小于10-12mmol/L,48小时内增加小于18mmol/L。

图1 渗透性神经系统脱髓鞘疾病脑部病变
低钠血症补钠的关注事项
(1)积极治疗原发病。
(2)补钠的速度不宜过快:急性低钠血症,纠正速度在每小时血钠提升1-2mmol/L为宜,急性低钠血症纠正到130mmol/L即可。慢性低钠血症,纠正速度每小时血钠提升0.5mmol/L为宜,慢性低钠血症纠正到125mmol/L以上即可。血钠提升速度:24h内浓度升高8-10mmol/L为安全速度。
(3)渗透性脱髓鞘综合征通常可以通过限制纠正低钠血症的速度来避免,即24h浓度提升<10-12mmol/L,在48h浓度提升<18mmol/L。但应关注此为纠正低钠血症的最大速度限度而非治疗目标。关注在纠正低钠血症的过程中谨防渗透性脱髓鞘综合征的发生。
(4)口服补钠纠正低钠最为安全,但速度相对较慢。
(5)关注同时补钾、补镁,维持酸碱平衡。
(6)补钠必须输液泵泵入。
(7)定时复查:在纠正低钠血症的过程中应每2-4h检测血钠,同时检测钾、氯、镁、钙,保持酸碱平衡。
(8)尿量突然增加>100ml/h,提示血钠有快速增加危险,如尿量突然增加,建议每2h监测血钠。
(9)血液动力学不稳定时,遇到低钠血症,快速液体复苏比快速纠正低钠血症更重要。
(10)如果患者同时有低钾血症,纠正低钾血症也可能使血钠增加。
(11)补钠补入途径建议中心静脉或PICC,避免外周补入引起的外渗。
(12)补钠过程中严密监测患者生命体征变化,特别是意识的改变,及时评估。
重症患者的救治不是单纯某个系统的救治,而是全方位,立体化,纵横交错的救治。当遇到疑难病患是需要团队合作的力量,只有思想相互碰撞,不断的头脑风暴,全方位的衡量,方能制订出完善的治疗方案。病情视察,监测很重要,没有突然的病情变化,只有病情变化突然被发现。在很多疾病面前我们会变得那么渺小,那么无能为力,但是我们重症医生,仍然在不负众望,继续前行。
参考文献:
[1] 王燕,顾锋.2007年低钠血症治疗指南[J].中国实用内科杂志,2010,30(09):793-796.
[2] 王燕,顾锋.2007年低钠血症治疗指南(续)[J].中国实用内科杂志,2010,30(10):897-900.
[3] 张劭夫.2014欧洲低钠血症诊疗临床实践指南解读[J].中国呼吸与危重监护杂志,2015,14(01):103-106.
[4] 老年患者低钠血症的诊治中国专家建议[J].中华老年医学杂志.2016,35(8):795-804.