
先来看一个病例
57y,M,糖尿病史;咳嗽、咳痰2月,加重伴气短、发热2周。广谱抗细菌、真菌治疗无效。
影像学

进行相关检查
WBC 正常,Neu ↑;PaO2,48.6mmHg(吸氧2L/min),痰细菌(-)x5, 抗酸杆菌(-)x6,痰PCP(-)x5,痰孢子菌丝(+)x2,痰培养:少量假丝酵母x3,痰培养细菌(-)x4,血培养需氧厌氧(-)x1,BALF:细菌TB(-), PCP(-),GM(-),血G(-),GM(-),PCT(+)。
这些感染相关检查大部分为阴性,患者是不是机化性肺炎呢?
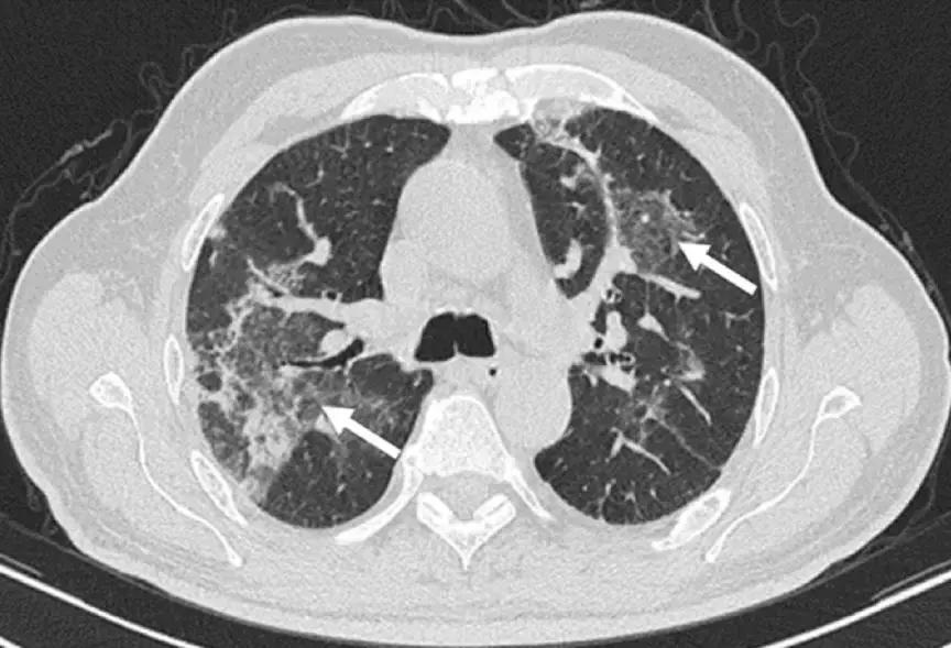
好像似是而非,主治医生按机化性肺炎进行治疗了,09/07/2009:甲强龙,80mg iv bid x 3,2009年7月14日复查胸片,影像似有部分吸收,效果还不错。

但是很快病情加重,胸片渗出增加,这时痰抗酸杆菌呈阳性发现,可见不是机化性肺炎。
需关注这些「机化性肺炎认识与临床诊治误区」:看到了影像实变,就认为是机化性肺炎,尤其是当抗感染治疗效果不好时,就更考虑是机化性肺炎;当病理回报机化,也认为就是机化性肺炎;一说机化性肺炎,就认为是隐原性机化性肺炎、就需要激素治疗……
为什么常会出现这些问题?说明我们对机化性肺炎的认识还不够清楚。
一、概念:什么是机化性肺炎?
机化(Organization):肉芽组织替代原有结构的过程;肺炎(Pneumonia):炎性反应导致肺泡结构或功能异常。

由增生的成纤维细胞和肌成纤维细胞及其产生的胶原构成,伴有炎性细胞浸润
机化性肺炎(Organizing pneumonia):就是指炎性反应导致肉芽组织填充气腔(包括肺泡管、肺泡囊和肺泡,偶可累及细支气管)的一类肺部疾病。
机化性肺炎的病理学表现:呈小叶中心、斑片性分布特点

⇒ Masson小体

简而言之,机化性肺炎是指肺泡管和肺泡腔内机化(「机化性肺炎」),伴或不伴细支气管内机化(「息肉样闭塞性细支气管炎」)。
机化性肺炎的原因有哪些

也有一部分是原因不清,属于特发性,这部分称之为隐源性机化性肺炎(Cryptogenic organizing pneumonia,COP)。
关于机化性肺炎的认识、命名也经过了很长一段时间的演变:
1901(Lange)——Bronchiolitis obliterans, BO ;1969(Liebow)——UIP + BO:Bronchiolitis obliterans with interstitial pneumonia(BIP);1983(Davison)——OP:Cryptogenic organizing pneumonia (COP);1985(Epler)——Bronchiolitis obliterans organizing pneumonia (BOOP)。
COP = iBOOP(2002年,ATS/ERS才将其正式定为IIP的一个亚型)

机化性肺炎概念及相互关系:机化性肺炎是一种与多种病因相关的组织学类型,「原因不明的机化性肺炎」才叫做COP或iBOOP,它是IIP的一个亚型。

二、诊断:影像学是线索,病理是标准
相应的临床表现、相应的胸片和胸部CT特点,相应的肺功能或BALF改变,组织学证实为BOOP /OP,还要除外继发性BOOP/OP。
1、COP的临床表现无特异性
多数 40~60yr, M:F=1:1,与吸烟关系不明显;多数病例亚急性起病,病程不到三个月(最初有类流感样症状,咳嗽、呼吸困难,伴发热、全身不适等);少数前驱症状不明显,进行性加重的呼吸困难,病程偏慢,为4~12月;极少数病人表现为迅速发展的呼吸衰竭;也有无症状者只在拍胸片时才发现;体魄检查2/3病例肺部听诊有吸气时爆裂音,一般无杵状指……
2、影像学是诊断线索
OP的影像表现:实变(周围、沿支气管血管束):80~95%;磨玻璃影:60~90%;小叶间隔增厚:55%;「反晕征」:20%;结节或团块:15~50%;还有「游走性」的特点。
实变:


中心型

混合型
磨玻璃影:

GGO合并带状实变

GGO,合并周围型及带状实变
小叶间隔增厚:

小叶间隔增厚,伴中心型实变、GGO
反晕征:

结节或团块(需要和肿瘤鉴别):


辅助检查有何特点?
ESR,CRP增加,WBC,Neu%增加,无特异性;有轻或中度限制性通气功能障碍,CO弥散量降低,常见轻度低氧血症或运动低氧血症,严重低氧血症少见;BALF:Lym. 20~40%,Neu 10%,Eos 5%;CD4/CD8降低,CD57+NK细胞比例正常。
3、病理学是诊断标准
OP/BOOP的病理特征刚刚已经提到过,那么病理该如何取材?——TBLB、冷冻肺活检、CT/超声引导肺穿刺、胸腔镜肺活检、外科肺活检。
4、机化性肺炎的鉴别
究竟是不是机化性肺炎,首先影像学有提示,尤其表现为实变;确诊需要病理学检查——机化是否为主要表现。确认为机化性肺炎后,还要判断它是原发还是继发的。
5、COP/iBOOP的临床亚型与鉴别诊断
亚急性起病,表现为多发性肺炎型:需要与感染性肺炎、嗜酸粒细胞性肺炎,NSIP等进行鉴别;
慢性起病,表现为弥漫性间质性肺炎型:需要与IPF/UIP、NSIP等进行鉴别;
急性进展型,类似急性呼吸窘迫综合征:需要与重症肺炎,ARDS,AIP,AE-IPF 、肺泡细胞癌等进行鉴别;
孤立性肺炎型:则需要与结核、肺部肿瘤等进行鉴别。
三、治疗:以激素治疗为主
1、OP对激素反应良好,虽然有推荐的治疗方案,但适宜的激素剂量和疗程还需要个体化考虑。
通常给予泼尼松/等效其他:起始0.75~1.0 mg/(kg.d) x 2~4W(如果为急性重症,有呼吸衰竭, 甲泼尼龙(2~5)mg/(kg.d),iv x3~5d);0.5mg/(kg.d) x 4W;20mg/d x 4W;15mg/d x 4W;(5~10)mg/d,维持,总疗程12个月。
治疗缓解率比较高,为65~80%。
2、复发率高达13~58%,如何治疗?
19%的患者可以复发3次或4次以上,68%患者第1次复发时仍然用泼尼松(12±7)mg/d,4%患者第1次复发时泼尼松>20mg/d。
复发对糖皮质激素治疗仍然有很好的反应,若复发时激素<20mg/d,则提高至20mg/d,再减量,复发不影响预后,32%患者因第1次复发使治疗延长(9±20)月。
3、预后:缓解率、复发率都较高,预后如何?
少数患者可自然缓解,60%COP会完全恢复,30%不完全恢复,COP中位存活在10年以上,病死率0%~12%。总体来说,COP预后还是非常好的,延迟或不充分治疗会增加复发风险,对预后无明显影响。
总结:不要将影像学实变等同于机化性肺炎,激素应用应掌握指征
机化性肺炎是一类肺损伤修复的现象(原因包括已知和未知);影像学是线索,但OP的诊断核心还是病理,COP必须除外继发,就需要临床积极寻找继发因素,同时关注并发的感染;激素治疗反应好,预后较好,但即便如此,我们也一定要掌握激素应用指征,不要不分青红皂白地用激素,否则会增加感染,甚至结核扩散的风险。
专家介绍
