关注

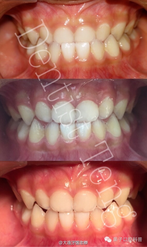
前牙反颌是临床很常见的错颌类型,由于前牙反颌不经矫正有随生长逐渐加重的趋势,早期矫治尤为重要。
早期矫治效果理想,并且有利于颌面部向正常方向发育,大部分由于功能性的牙性反颌矫治成功且改善不良习惯后不易复发,然后有很多伴有牙弓宽度和高度不调以及颜面不对称发育的,矫治难度大,特别是骨性前牙反颌,随生长发育矫治后复发倾向大大增加。
因此很多病例需要分阶段治疗,时间比较长,这一点家长需要充分认识,特别是家长有反颌的家族史。
那么孩子矫治到底多大合适呢?→

由于乳牙期改变牙位和移动下颌的可能性很大,在此期间若恢复下颌咬合位置,则可尽量改善骨面型,前牙反颌解除后,也可促进上颌发育,对下颌过度发育会有一定的抑制。
一般来说,矫治年龄一直国内正畸教材提倡3-5周岁,疗程一般3-5个月。少数骨性畸形比较明显的需要配合口外力,疗程也长。

目前认为,乳牙期反颌若不矫治,半数以上将发展为恒牙反颌,并且症状会加重,乳牙矫治后,恒牙反颌可能性减少,即便发生,症状也会大大减轻(排除一些骨性、遗传等畸形),也给成年后矫治打下良好基础,降低难度。
以上关于矫治年龄,世界范围内尚有争论,一部分学者认为过早矫治可能影响孩子快乐童年,而本人则认为早发现早治疗,一般孩子(3-5周岁)若早发现症状,大部分都可以积极配合,这在临床也是经过实践证明的,而且矫正时间也确只有几个月,孩子的心理也不会有太大逆反和影响。并且在这矫治期间也会对孩子心理有一个对牙医新的认识,其实医生也并不可怕!

作者:@大连牙医老滕

--------------------------
投稿,合作,加入
↓↓↓