
载药微球
载药微球(drug-eluting beads,DEB)是一种能够吸附、携带化疗药物的栓塞材料,“载药微球”进入肿瘤血管后一方面可以栓塞肿瘤血管,另一方面可以较长时间内缓慢释放化疗药物,持续作用于肿瘤内部,两种治疗作用叠加,可达到“1+1>2”的满意疗效。因此载药微球栓塞(DEB-TACE)较传统肝动脉化疗栓塞(c-TACE)毒副作用小,耐受性好,在原发性肝癌治疗中已经取得良好临床疗效。

而常见的肺癌、肠癌等的肝转移瘤多为乏血供病灶,因此对传统的肝动脉化疗栓塞术疗效欠佳。但在精确超选插管造影仍可显示转移瘤染色,在此基础上进行载药微球栓塞亦可获得非常理想的临床疗效。
病例1
老年男性,诊断为右肺癌并纵隔淋巴结、肝多发转移。活检病理示:大细胞性未分化癌。肺部病灶经姑息性放化疗后有所控制,但肝脏病灶出现进展,遂行载药微球栓塞治疗。

肝动脉化疗栓塞治疗

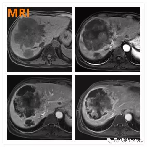
复查MRI显示病灶大部分坏死

复查PET-CT亦提示病灶大部分已无活性,仅病灶下缘残存少许活性,后续行局部放射性粒子植入控制
病例2
老年女性患者,诊断为乙状结肠腺癌并肝多发转移。肝脏肿瘤病灶巨大且多发,针对肝脏转移瘤行载药微球栓塞治疗,肠道肿瘤行动脉化疗灌注治疗。

肝动脉化疗栓塞+肠系膜上动脉化疗灌注治疗

术后1月复查提示肝转移瘤病灶内部明显坏死,肿瘤缩小

肠道肿瘤标志物明显降落(CEA 术前:3493 ng/mL,术后:196.3 ng/mL;CA19-9 术前:895.8 U/mL,术后:110.1 U/mL),病灶控制理想。
