我们的牙齿很坚韧,每天不辞辛劳的满足我们这张吃货的嘴。
由于出勤次数太频繁,自己平时又不关注口腔卫生,很容易蛀牙、牙齿脆弱这些问题就来了,然后牙齿就开始“缺胳膊少腿”了!

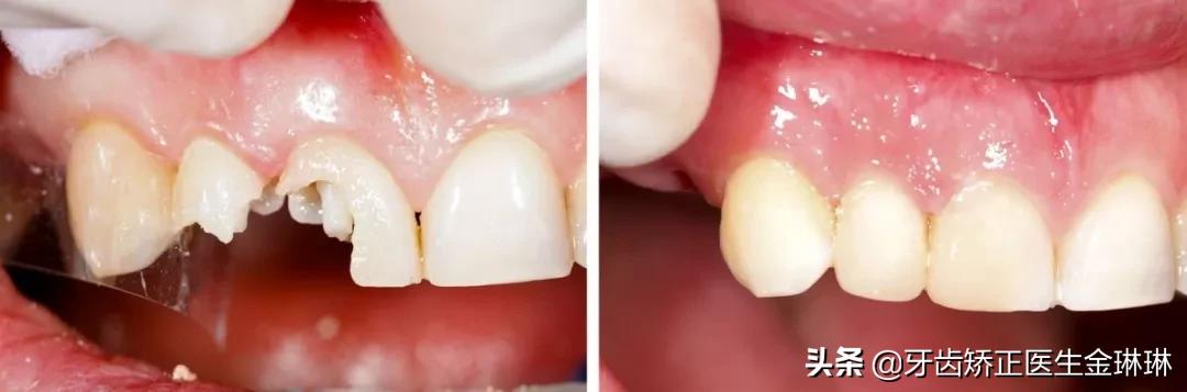
牙齿出现缺损了,肯定要去修复,然后不少朋友就在这里踩坑了!(这些坑你有没有踩过呢?)
误区一
我的牙齿只是咬硬的东西掉了一块,
不着急治疗
其实多数情况下,一颗健康正常的牙,在咀嚼大部分稍硬食物时,是不会发生被硌掉了一小块牙体的情况。
一般而言,牙齿都是多多少少会存在发育不良或更常见的龋坏等情况,所以一定要尽早去专业的口腔医院检查后做充填治疗,也就是平常所说的补牙。
如果长期不治疗,牙齿继续龋坏,会直接引致牙髓感染发生炎症,最后发展为需要根管治疗才能解决的牙髓炎。

误区二
牙齿缺一块,补起来就行
为什么还要做根管治疗
一旦经过牙医的检查发现,牙齿的缺损靠近牙髓(牙神经),或者已经侵蚀破坏到牙髓腔,这意味着感染已经危及牙齿内部,细菌侵入了神经和血管。
如果纯粹补起来,那根本解决不了任何问题。牙神经的感染仍然存在并继续恶化。

最后的结局,不外乎下面两种情况:
1.牙神经慢慢坏死,慢性炎症让牙齿长期不适,导致根尖区炎症,牙齿松动无法正常咀嚼,严重者最后只能拔除患牙。
2.牙髓问题进展为急性炎症时,即使猛汉也会疼到捂着腮满地打滚。牙科急诊接的大部分就是这类患者。
PS:针对这样的朋友,我们只能感叹!当不疼的时候,明明做完根管治疗后再补牙(或牙冠修复),就能解决的问题,何必要用这样的血泪代价来换取?
误区三
根管治疗做好后,直接补起来不就好了?
为什么还要再做个冠?是想多赚我钱吗?
针对大面积缺损的牙齿,光靠补牙无法恢复它的形态和功能。
要知道,牙齿的每个部分和结构都有着特别的作用,每颗牙的牙尖和窝沟都对咬合、食物有效研磨有着很重要的意义。
无论我们补牙用的是树脂还是金属材料,都无法承担起大面积牙体缺失后的咀嚼功能恢复的重任。补起来要么容易脱落,要么会继续塞东西或者加重不适感。
另外,做完根管治疗的牙齿由于缺少营养供应,牙体脆性增大,十分容易折裂,牙冠修复是防止治疗后剩余牙体折裂的有效解决方法。
做个冠(牙冠修复)虽然会对牙齿进行一定程度的磨除,但专业牙医会根据治疗需要对牙齿进行合适的调磨。

使牙齿拥有最好的粘接面积和较强的固位形态,做出来的牙冠也极其接近天然牙。
误区四
牙齿掉了没关系,用别的牙齿也一样
掉了一颗牙,暂时的影响或许不大。但在牙齿缺失后,牙槽骨就像失去了墙的藤一般逐渐枯萎。
近的牙齿因为缺少依靠,也会向此处歪斜,造成咀嚼功能降落。
就好比立在书立中的一排书,如果从中间抽走一本,这一排书就会变得松散,而且两边的书也会向缺口倾倒。
同时,缺牙处对面的牙齿也因为失去了相互咬合支撑的“兄弟”而不断伸长,最后造成咬合系统的紊乱。
严重的甚至会引发颞下颌关节系统的疾病,所以尽早种植或镶牙,才是健康经济的明智选择。

牙龈缺损态势 → 种植体植入 → 装上基台 → 完成牙齿态势
误区五
缺了牙齿为什么要种?
可以用旁边的牙齿镶起来吧
这种修复方式也叫冠桥修复,也是治疗缺失牙的一种方法。但它需要磨除两旁健康的牙齿,也需要有一定数量的邻牙,才能支撑起缺失部分的假牙。

若牙齿数量不够或条件不好,这样的做法可谓是赔了夫人又折兵。既连累了好牙,又没有修复好缺损。
所以当医生不建议做冠桥修复,我们就要再慎重考虑一下,种植牙或者活动义齿也是另外的好选择,但是种植牙效果更佳。

说了这么多,还是要劝缺牙的你,不要忽视了牙齿的重要性,不要将就着过生活,毕竟健康的维护最重要的可不是依靠好的食物、好的锻炼环境,而是自身最好的健康条件~