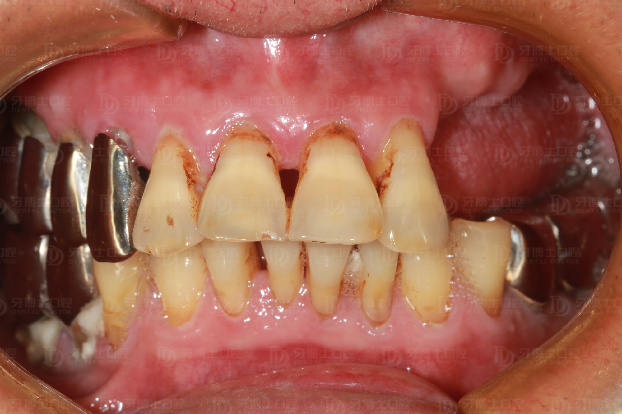
年近七旬的周老爷子(化名)牙齿缺失多年,上排牙只剩4颗前牙。前些年做的一侧不锈钢牙松得非常厉害,因为长期用那一侧牙咀嚼,导致牙齿的牙根全部咬坏掉了,医生开玩笑说“你这牙很脆弱了,打个喷嚏就会掉下来”。
据医生介绍,像周老这种情况在临床上很常见,后边大牙缺失,咀嚼时前面三颗牙带后面两颗牙,咀嚼时间久了,形成杠杆作用,加上前面牙齿又负荷过重,牙根就全部断掉了,只能拔除。

种牙前
周老是当地颇有名气的内科医生,拥有不少粉丝,这次决心做种植牙,多亏了粉丝朋友的推荐。因为牙齿缺失,咀嚼不到位影响了肠胃功能,治疗前的周老瘦到不够100斤。

种牙前
医生根据他的骨量,设计了即刻负重种植6颗恢复半口牙的方案,上午种牙,下午戴牙。种牙1个月后,精神态势非常好,种牙3个月后,整个人圆了一圈,周老激动地跟医生说了好些感谢的话,感慨老年生活从未这么顺心过。

上半口种植6颗
如今的周老跟缺牙前相比,胖了近20斤,也不像当初那般脸颊塌陷、眼眶内凹了,现在精神气儿十足,更显年轻了。

种牙后
缺牙时咀嚼力不够,吃饭嚼不烂,只是影响肠胃系统吗?医生介绍,缺牙不补罹患老年痴呆症的几率增加,因为牙齿活动能够刺激大脑保持活力,缺牙后大脑就接受不到相关功能的刺激了。此外,缺牙还会引起牙周病、面容衰老、发音不正常、中风等问题和疾病。
All-on-4/6种植
不是每一个医生都能行
All-on-4/6即刻种植是一项非常高深精密的手术,对医生技术、医疗设备的要求非常严格。因为种植牙上午种,下午就得受力,所以医生需要精准辨别骨头的质量、密度,确保种进去的每一颗植体拥有35牛的扭力,如果植体很松,戴上牙冠后便会动荡,就意味着种植失败,这是即刻种植技术的难点之一。
另外,务必保证基台与植体高度结合。很多地方没办法开展种植牙技术的主要原因就在于此。
