前面写过红蓝光祛痘这种技术的优缺点,下面我们会陆续的介绍更多的祛痘技术,今天我们来说一下班赛(过氧化苯酰)祛痘的优缺点。
《祛痘技术大观》系列二:准备用班赛祛痘的,赶紧看过来

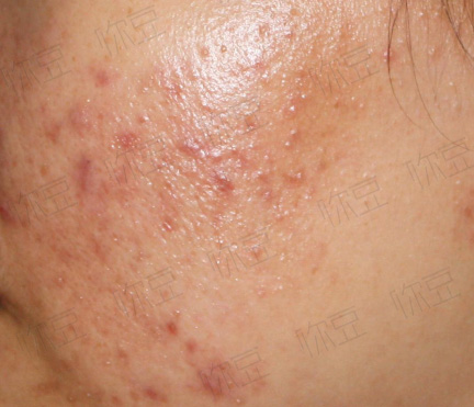
班赛外涂,关注是点涂,副作用先了解清楚
战痘多年,青春痘走了,留下来的可能就是那些祛痘产品的瓶瓶罐罐了,殊不知经过了这么多年,才领悟到一个道理,在痘痘面前,那些祛痘水乳、祛痘精华、祛痘洗面奶什么的都是业余选手,抹护肤品并没什么卵用。痘痘是皮肤病,治病还是需要用专业的药物,今天你豆君给大家讲的是祛痘界的知名选手——过氧化苯酰(班赛)。
过氧苯甲酰怎么祛痘
过氧化苯酰是一种特异性的微生物*制剂抑**,尤其对*疮痤**丙酸杆菌和金黄色葡萄球菌具有高度选择性。由于此药物为过氧化物,外用后可通过产生ROS缓慢释放出新生态氧和苯甲酸,来抑制毛囊皮脂腺内的微生物并杀灭*疮痤**丙酸杆菌,从而改善炎性和非炎性皮损的状况。此外,过氧化苯酰对皮脂分泌有抑制作用。
过氧苯甲酰适用于哪种类型痘痘
过氧化苯酰脂溶性强,可深入毛孔杀灭细菌,所以在祛痘方面有抗菌的作用。过氧化苯酰主要针对炎症*疮痤**。什么是炎症*疮痤**?大致就是红硬肿痛的*疮痤**就是炎症*疮痤**,最适合一夜之间爆发的红硬类型痘痘。而针对粉刺、囊肿以及聚合性*疮痤**可能效果不是很明显。

炎症型痘痘,红硬痛,可使用班赛

闭合性痘痘,班赛作用不大

囊肿型痘痘,班赛作用不大

聚合性痘痘,班赛作用不大
过氧苯甲酰有哪些副作用
过氧苯甲酰的副作用反应比较大,对这个药膏过敏的人比较多,用后皮肤会有烧灼感、瘙痒、发红、肿胀、干燥、脱屑等,而且因为它的强氧化剂作用,有的人会留下黑痘印,痘痘好了以后估计脸也是斑斑点点的。

班赛副作用明显