患者男性,64岁,因“反复胸痛1月余”入院。2型糖尿病史5年余,未服药。有长期吸烟史30余年,每日15~20支。入院查心电图正常。

心绞痛按CCS分级为3级,估计冠脉血管狭窄程度重,需行PCI治疗可能性大,故决定直接造影检查。冠脉造影示:前降支近段次全闭塞,第一对角支近段90%狭窄。形成真性分叉病变。

术前策略:次全闭塞病变,D1开口高度狭窄,且与主支有大于90度成角,导丝进入边支困难,先进导丝到LAD远端,扩张狭窄部位,再进导丝到D1远端保护。

(FielderXT导丝到LAD远端)

(双导丝球囊扩张LAD近段狭窄病变)

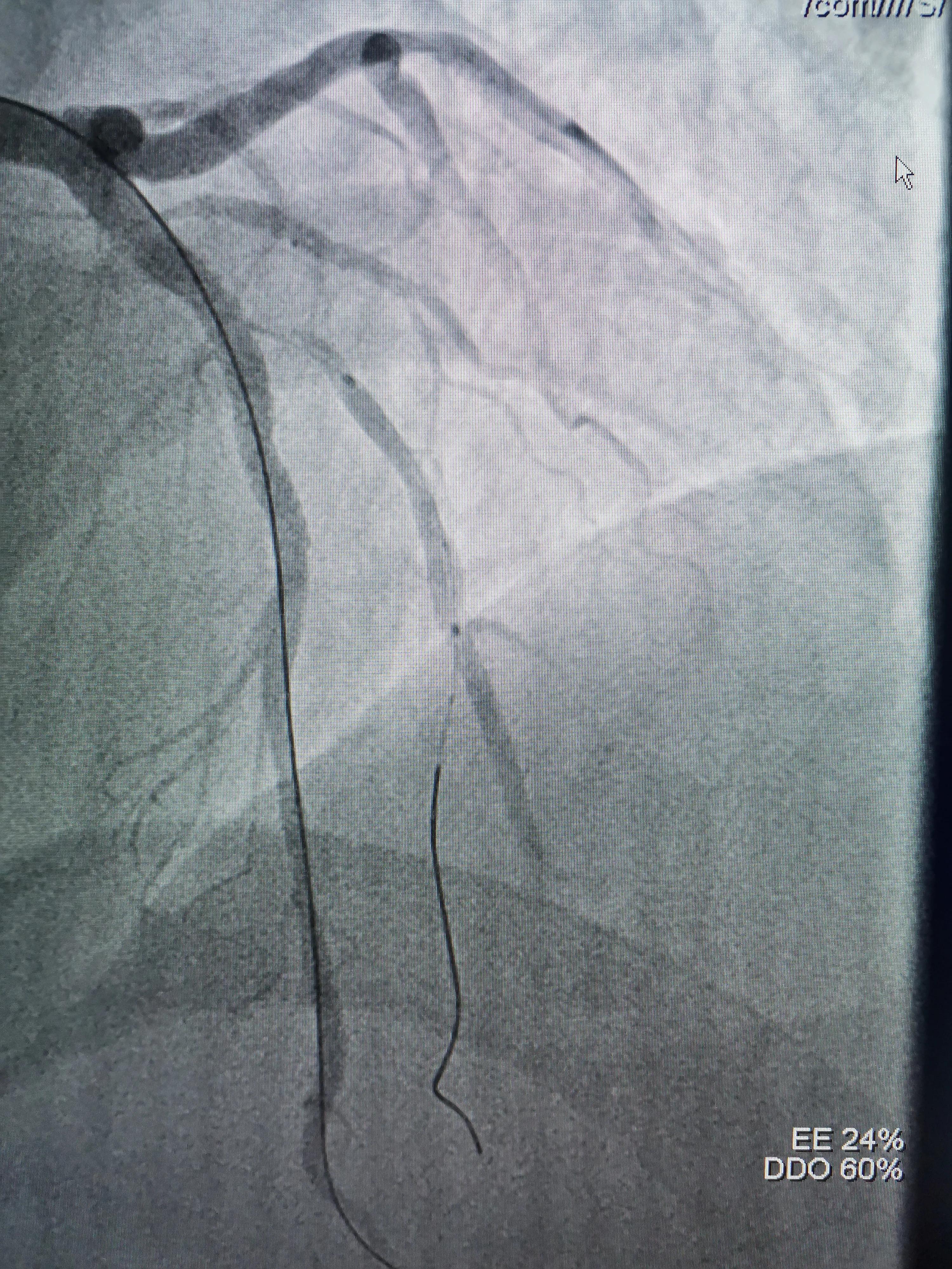
(SION导丝到D1远端保护)

(支架预置LAD近段,D1开口到近段预埋球囊)

(支架球囊扩张,支架释放紧贴血管壁)

(造影发现D1开口明显受累)

(预置在D1球囊在开口处扩张)

(因血管落差较大,支架近段用3.5mm球囊优化扩张)

复查造影,支架完全贴到血管壁,分支开口受累狭窄消失,影像效果满意决定分支不再植入支架,结束手术。