
专栏主编
刘爱华
主任医师、教授
博士生导师
北京市神经介入工程技术中心副主任
中国卒中学会神经介入分会*党**建书记
中国卒中学会神经介入分会秘书长
中国医师协会科普分会神外专委会主任委员
中国青科协生物医药常务秘书长
北京医师协会神经介入分会秘书长
北京医师协会神经介入分会青委会主任委员
中国医师协会科普分会神外专委会主任委员
擅长脑动脉瘤、脑血管狭窄支架成形与脑血管畸形等微创介入治疗,脑血管病先后获省部级奖7项,先后承担国自然、科技部等课题12项,已发表学术论文107篇(Neurology、Stroke等SCI论文62篇),已获发明国家专利4项,培养硕士生14名,博士生4名。

第5期

作者:付洪伟* 金恒伟 霍晓川 刘爱华 缪中荣
单位:北京天坛医院(*湖北省枣阳市第一人民医院)
病例简介
患者,男性,51岁。
主诉:左侧肢体无力2个月。
现病史:患者2个月前无明显诱因出现左侧肢体无力,无头痛、头晕。病后到当地医院查头颅MRI提示:脑梗死,DSA提示:右侧颈内动脉闭塞,在当地医院治疗稍缓解,目前仍有左侧肢体无力发作。后到北京军颐中医医院查颈部动脉高分辨核磁提示:右侧颈内动脉夹层形成并血栓形成、管腔闭塞。为进一步行血管内治疗,今日门诊以“缺血性脑血管病”收住我科。
既往史:有高血压1年,最高达200/110 mmHg,平时血压130/80 mmHg。
过敏史:对青霉素过敏。
体魄检查:BP155/100 mmHg,心肺腹未见明显异常。
神经系统查体:神志清楚,语晰,左上下肢肌力4+级,左侧巴氏征(-)。
生化检查:血常规、凝血、血脂、肝肾功能未见异常。感染病四项筛查阴性。
心电图、胸片:大致正常。
术前影像
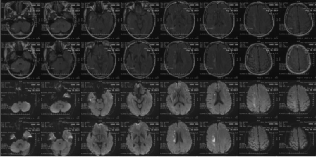
2019-05-24外院头颅MRI+MRA+DWI:右侧基底节区、放射冠、半卵圆中心脑梗死,右侧颈内动脉闭塞(图1)。

图1
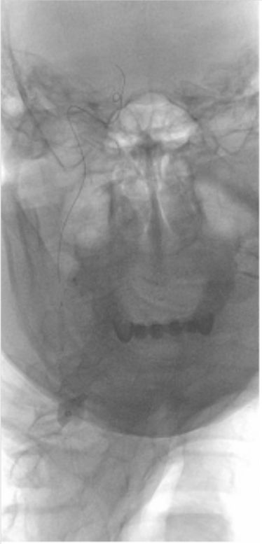
2019-06-07外院DSA:右侧颈内动脉闭塞(图2)。

图2
2019-07-05北京军颐中医医院高分辨核磁:
1.右侧颈内动脉夹层形成并血栓形成、管腔闭塞。
2.左侧颈内动脉眼段管腔中度狭窄,局部夹层不排除。
3.右侧大脑中动脉起始部管壁增厚,管腔重度狭窄(图3)。

图3
2019-07-20外院PWI:右侧额颞叶灌注信号减低(图4)。

图4
术前诊断
1.右侧颈内动脉闭塞(C1-C4)
2.左侧颈内动脉狭窄
3.脑梗死
4.高血压3级
术前用药
阿司匹林肠溶片 100 mg qd(2个月)
氯吡格雷片 75 mg qd(2个月)
阿托伐他汀钙片 20 mg qd(2个月)
手术方案
DSA+右侧颈内动脉闭塞球扩+支架置入术
手术过程简述
常规消毒铺巾,右侧股动脉穿刺成功,置入9F动脉鞘。150 cm超滑泥鳅导丝携5F单弯造影管分别行双侧颈总、左侧椎动脉正侧位造影,结果显示右侧颈内动脉C1-C4段闭塞,右侧颈外动脉侧枝向右侧眼动脉代偿供血,并反流至右侧颈内动脉颅内段,右侧大脑中、前动脉显影变淡(图5)。14∶50肝素4 000单位入壶,在长交换260 cm泥鳅导丝导引下将MOMA先端置于右侧颈外动脉,撤出泥鳅导丝。路径图下,PILOT50微导丝(0.014"x190 cm)携带Headway 21微导管沿MOMA送入右侧颈内动脉,微导丝通过闭塞段,微导管通过困难(图6)。

图5

图6
然后将微导管撤至MOMA管腔下段,沿MOMA送入Ultra-soft球囊(3.0 mmX20 mm)至MOMA管腔上段,充盈球囊锚定PILOT 50微导丝(图7),撤出Headway 21微导管,然后抽瘪Ultra-soft球囊并撤出。沿PILOT 50微导丝送入Ultra-soft球囊(2.0 mmX20 mm)至狭窄段,球囊通过困难,更换SPRINTERLEGEND球囊(1.5 mmX15 mm)至狭窄段,使用MOMA近端保护技术,充盈MOMA球囊,阻断血流,关闭加压滴注,准确定位后球囊逐渐加压至6 atm,持续3 s,依次由远到近进行扩张,然后用注射器抽吸血液,未见血栓,然后抽瘪MOMA球囊,造影显示狭窄段较前改善,但狭窄仍较重。更换Ultra-soft球囊(2.0 mmX20 mm),重复以上操作,依次由远到近进行扩张,造影显示狭窄段较前明显改善,狭窄仍较重。更换Ultra-soft球囊(2.5 mmX2 0mm),重复以上操作,依次由远到近进行扩张(图8),造影显示狭窄段较前明显改善。

图7

图8
撤出PILOT 50微导丝,沿MOMA送入Synchro微导丝(0.014"x190 cm)+Headway 21微导管至右侧颈内动脉C1段,撤出微导管,将Synchro微导丝送入右侧大脑中动脉M1段,沿Synchro微导丝送入WALLSTENT支架(9 mmx50 mm)至C1段末端,定位准确后充盈MOMA球囊释放支架成功,抽瘪MOMA球囊,撤出支架输送装置。造影显示支架完全覆盖C1狭窄段(图9)。

图9
与血管壁贴合良好,无急性血栓形成。远端未放支架血管残余狭窄仍较重,沿Synchro微导丝送入Ultra-soft球囊(2.5 mmX20 mm)球囊,使用MOMA近端保护技术,依次由远到近对残余狭窄段进行扩张(图10),造影显示残余狭窄段较前改善。视察10 min,行右侧颈总动脉正侧位造影,显示右侧大脑中、前动脉及分支动脉显影良好,可见支架内血流通畅,无急性血栓形成(图11)。

图10

图11
撤出Synchro微导丝及MOMA,手术结束。术后患者诉左侧肢体无力症状明显改善。
讨论思考
此患者特点是右侧颈内动脉C1-C4段闭塞,右侧颈外动脉侧枝向右侧眼动脉代偿供血,并返流至右侧颈内动脉颅内段,向右侧大脑中、前动脉供血。手术过程中微导丝通过闭塞段,微导管通过闭塞段困难,撤微导管的过程中使用了球囊锚定技术固定微导丝。球扩时首先选择小球囊扩张狭窄段,然后根据造影情况逐步选用直径较大的球囊预扩,循序渐进开通血管,最后C1段置放WALLSTENT支架,残余段狭窄再次使用球囊扩张,视察10 min,行右侧颈总动脉正侧位造影,显示右侧大脑中、前动脉及分支动脉显影良好,开通手术成功。手术过程曲折,但结局良好。术后患者诉左侧肢体无力症状明显改善,远期疗效尚待视察随访。
手术过程中使用了MOMA近端保护装置。
MOMA简介:

神经介入在线作为中国卒中学会神经介入分会的官方公众号,现已成立三年。作为最早创建的神经介入专业的学术交流平台,由缪中荣教授团队倾力打造,秉承合作、创新、交流的宗旨,为医务工作者提供国内外神经介入领域最新资讯、指南,聚焦难点深度评论,引领学术前沿。
2019年致力搭建神经介入领域国内外最新医学资讯、研究进展、病例讨论、趣味科普等各项学术交流互动共享平台,整合医疗资源,发挥联盟优势,风雨共济,守候健康,我们在这里等你!

取栓培训班 报名入口