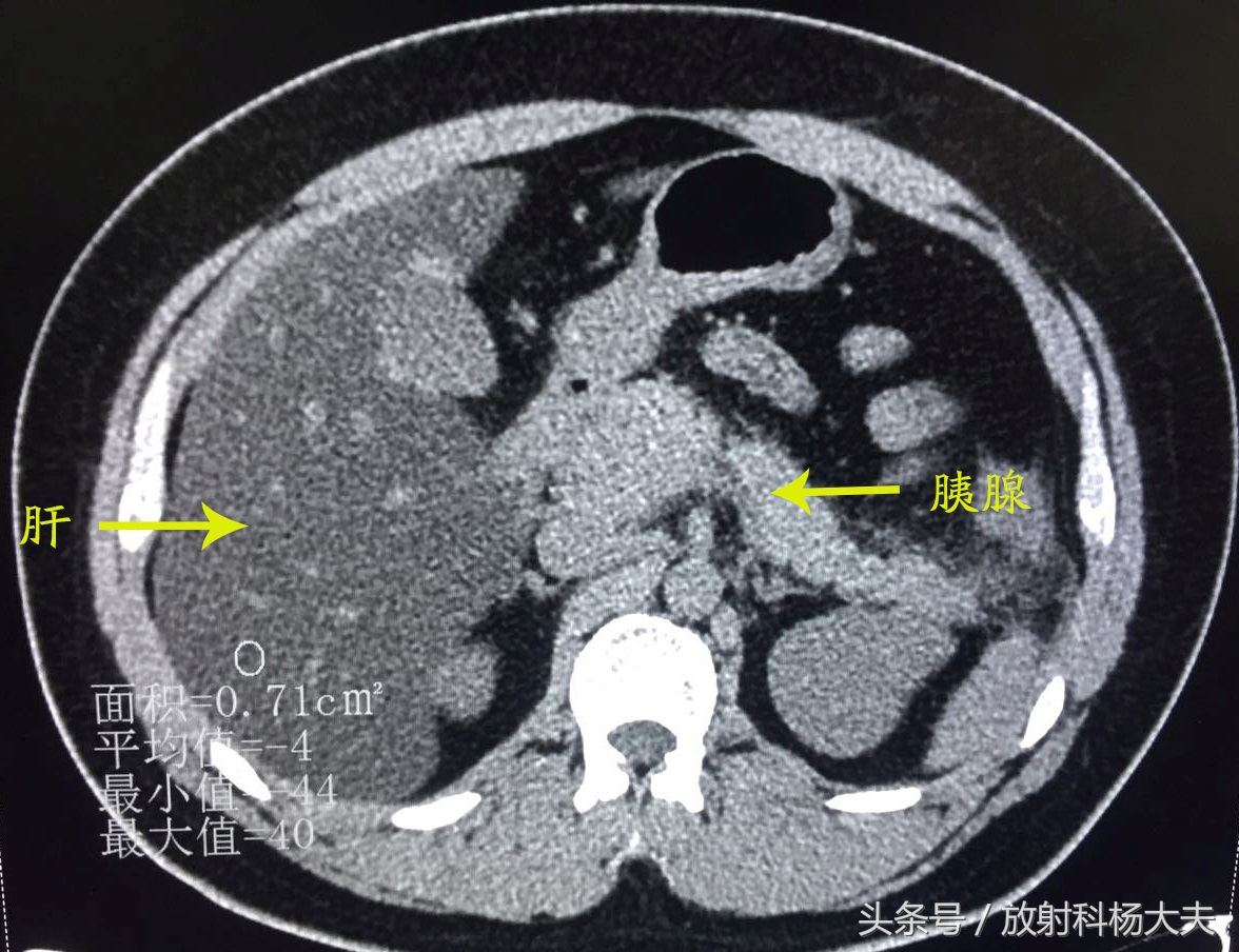
放射科的急诊总是会遇见各种急患,外伤的、头晕头痛的、恶心呕吐的、腹痛难耐的...前几天夜班来了一位身材略胖的小伙子,29岁,由于跟朋友进食火锅后突发上腹疼痛就诊,左上腹为著,为持续性胀痛,疼痛不可耐受,并向后背部放射,无肩部放射痛,疼痛不因体位变化而缓解,伴寒战、发热、大汗。做了CT,其图像如下所示:
可发现肝脏密度明显弥漫性减低,且明显低于同层面脾脏密度。胰腺周围可见渗出改变。腹痛原因找到了----急性胰腺炎伴重度脂肪肝,可这肝脏密度也太低了。

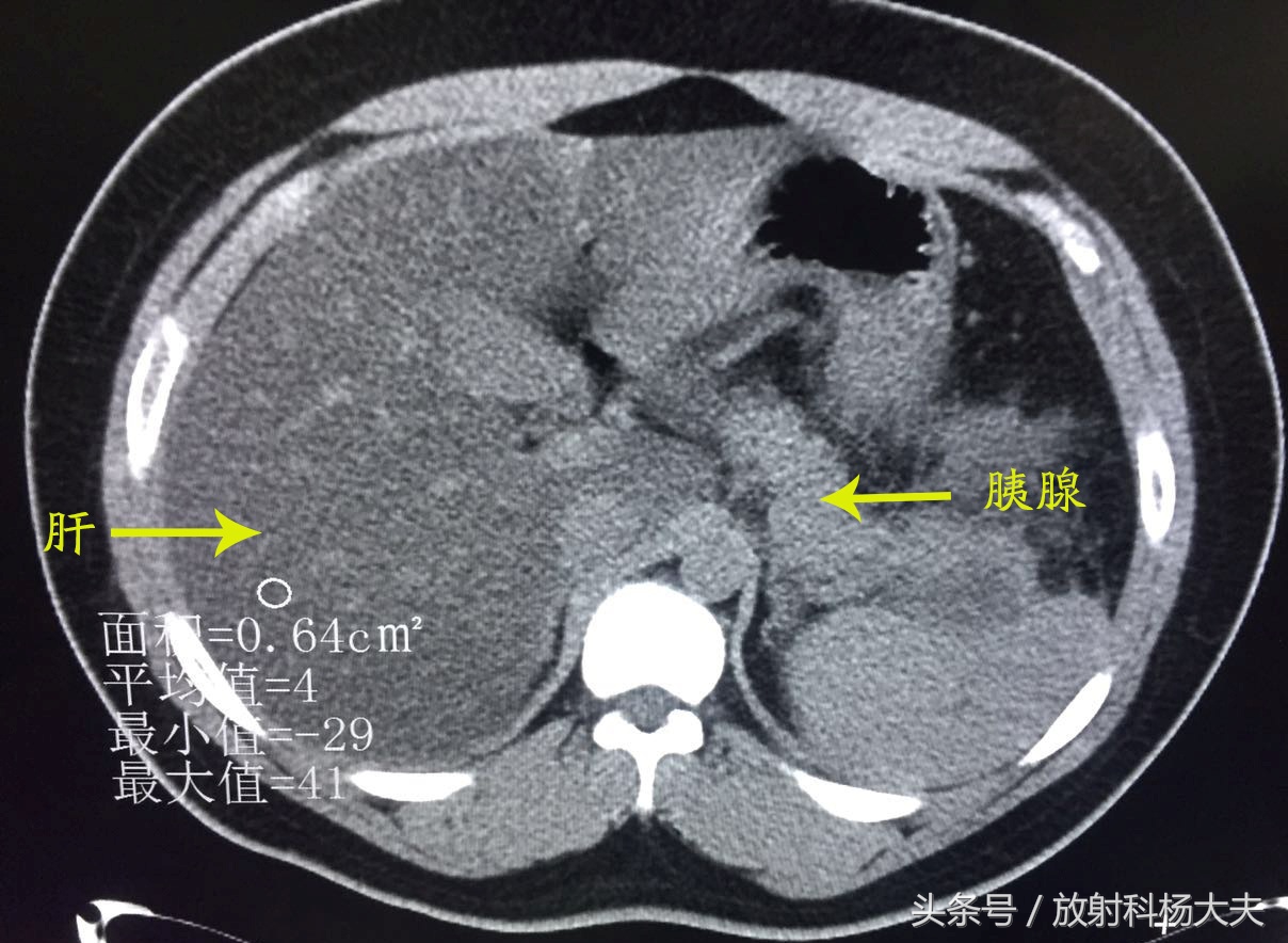
我们看一眼正常的肝脏的密度:

我即刻查阅了他既往的片子,果然,一年前因为腹痛就诊过,CT检查如下:

CT图像可见肝脏密度弥漫性减低,明显低于同层面脾脏密度,胰腺饱满,周围可见渗出样改变---急性胰腺炎伴重度脂肪肝。
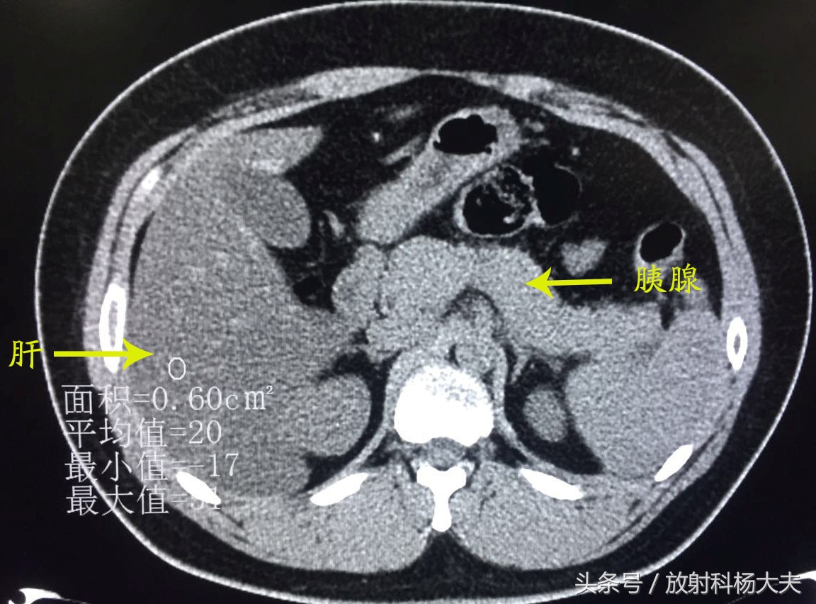
当时治疗后复查:

胰周渗出基本吸收了,脂肪肝较前也有所好转了。
详细问了一下病史,这个29岁的小伙子有高脂血症,5年了。那么,他的高脂血症和胰腺炎反复发作有关系吗?
近几年发现高脂血症是继胆源性、酒精性之后导致胰腺炎的常见危险因素,CT 表现以重症胰腺炎和重度脂肪肝为主,随着血脂水平降落,脂肪肝和胰腺炎影像表现同步好转,排除胆源性和酒精性原因,应首先考虑高脂血症性胰腺炎。

临床诊疗过程中可见到越来越多的疾病年轻化,我们可以因为年轻就透支身体的健康吗?控制体重,加强体育锻炼,戒烟戒酒,少熬夜,养成良好的健康饮食习惯吧!江湖上不是有句话这样说:“出来混,总是要还的。”针对高脂血症型胰腺炎患者,应尽可能明确TG 升高的原因,定期检测血脂以及积极采取降脂治疗,使TG 保持在2. 26mmol /L 以下,可减少急性胰腺炎的反复发生。